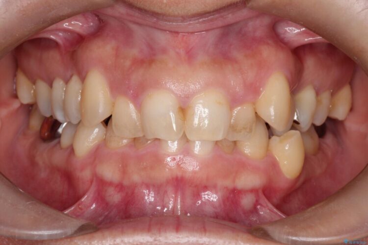
重度の叢生(ガタガタ)を改善したい
治療概要
- 患者様:20代女性
- 治療期間:2年
- 治療回数:10~30回
- 矯正装置:インビザライン
- 概算治療費:90万円
※費用は治療当時の料金となります - 担当医:河口智英
治療動機
全体的にガタガタとしている歯並びを改善したいことを主訴に来院されました。
治療計画
上顎の前歯が舌側へ傾斜していたため、少し拡大を行いながら、非抜歯での矯正治療を行いました。
治療後について
マウスピースをしっかりと使用していただけたため、きれいな歯列弓となりました。
マウスピース矯正の注意事項(リスク・副作用など)
- 口腔内・歯並びの状態によっては対応できない場合があります
- マウスピース型矯正装置の長時間装着(1日20時間以上)が必須です
- 治療計画通りに進めるためには、患者様の意志が重要になります
- 矯正治療後の保定が不十分だと後戻り(元の位置に戻ろうとする動き)をします
- 薬機法対象外の矯正歯科装置のため医薬品副作用被害救済制度の対象外となる場合があります
- 自費診療(保険適用外)となります















