オープンバイトを伴う叢生の矯正治療
治療概要
- 患者様:20代女性
- 治療期間:1年
- 治療回数:5~10回
- 矯正装置:インビザライン
- 概算治療費:80万円
※費用は治療当時の料金となります - 担当医:河口智英
治療動機
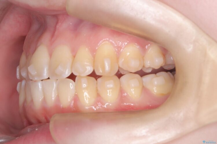
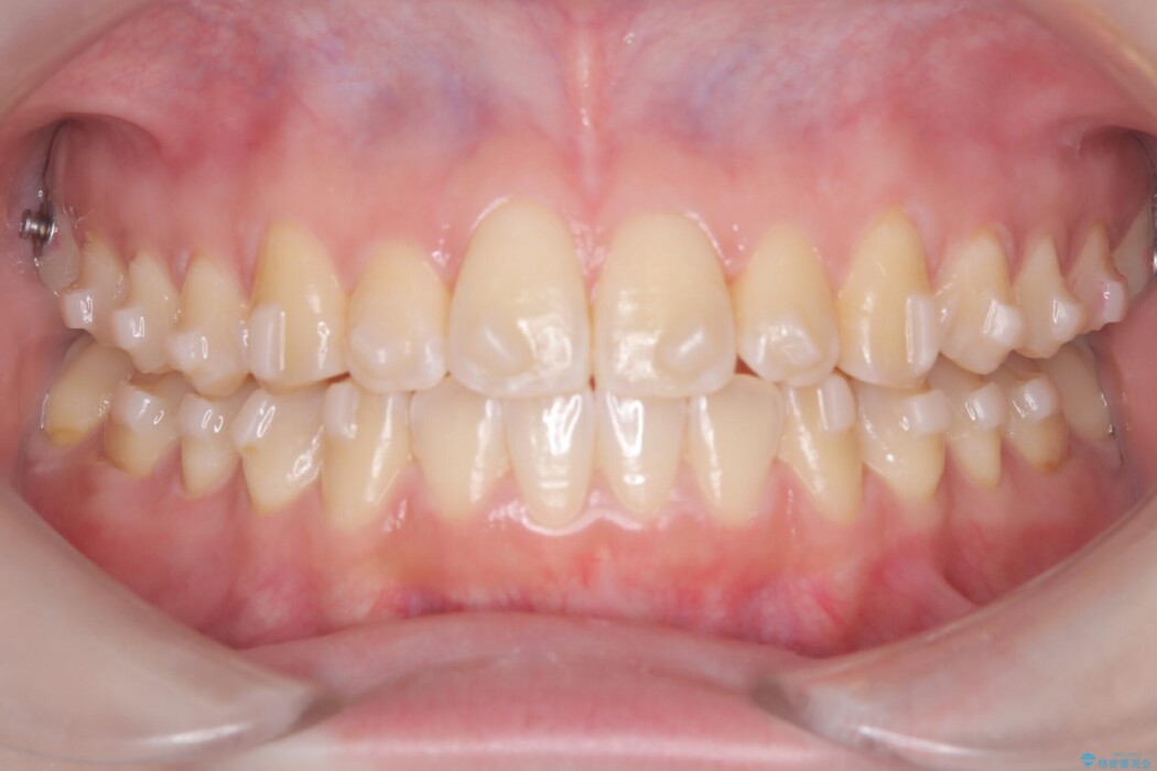
オープンバイト、所謂上下の歯が噛み合わず隙間が空いている状態を治したいと来院されました。
治療計画
オープンバイトに加えて叢生も確認できたため、歯の側面を削り(IPR)遠心移動を行うことによって隙間を確保しインビザラインでの矯正治療を行いました。
治療後について
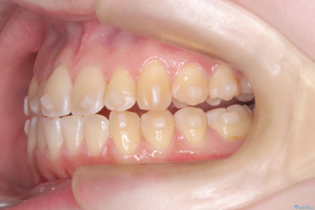
治療前と比べて前歯で食べ物が噛めるようになり喜んでいただけました。
前歯にまだわずかな叢生が見られますが、患者様より追加アライナーの希望をされなかったため動的治療は終了となりました。
マウスピース矯正の注意事項(リスク・副作用など)
- 口腔内・歯並びの状態によっては対応できない場合があります
- マウスピース型矯正装置の長時間装着(1日20時間以上)が必須です
- 治療計画通りに進めるためには、患者様の意志が重要になります
- 矯正治療後の保定が不十分だと後戻り(元の位置に戻ろうとする動き)をします
- 薬機法対象外の矯正歯科装置のため医薬品副作用被害救済制度の対象外となる場合があります
- 自費診療(保険適用外)となります















