正中離開・クロスバイト・すきっ歯・叢生|インビザラインで改善
治療概要
- 患者様:20代男性
- 治療期間:1年
- 治療回数:10~30回
- 矯正装置:インビザライン
- 概算治療費:63.8万円
※費用は治療当時の料金となります - 担当医:河口智英
治療動機
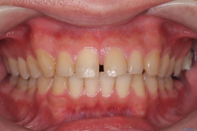
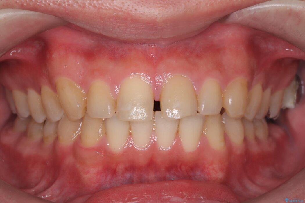
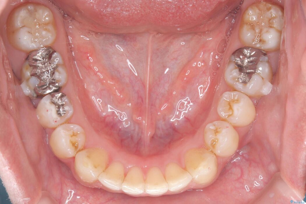
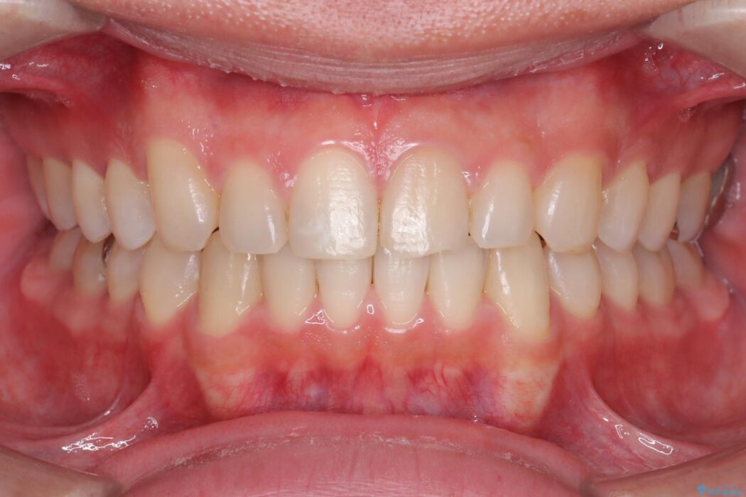
前歯の隙間とガタつきが気になるとご来院された患者様です。
治療計画
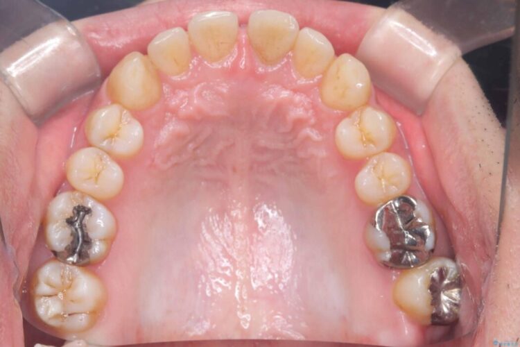
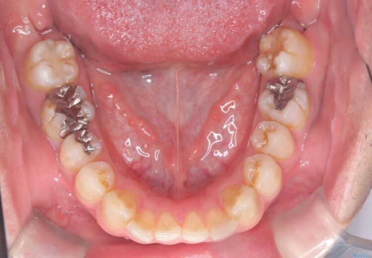
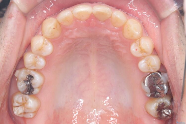
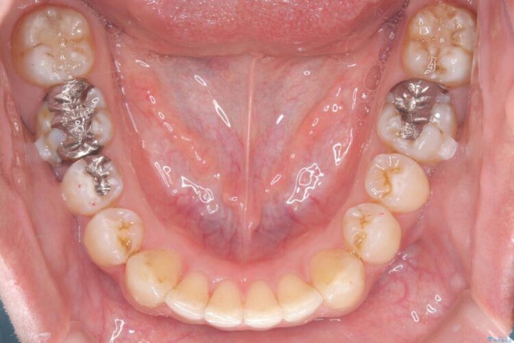
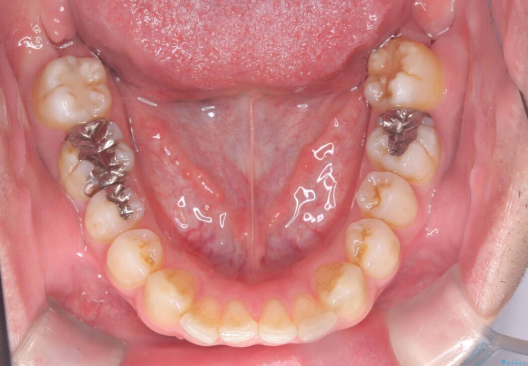
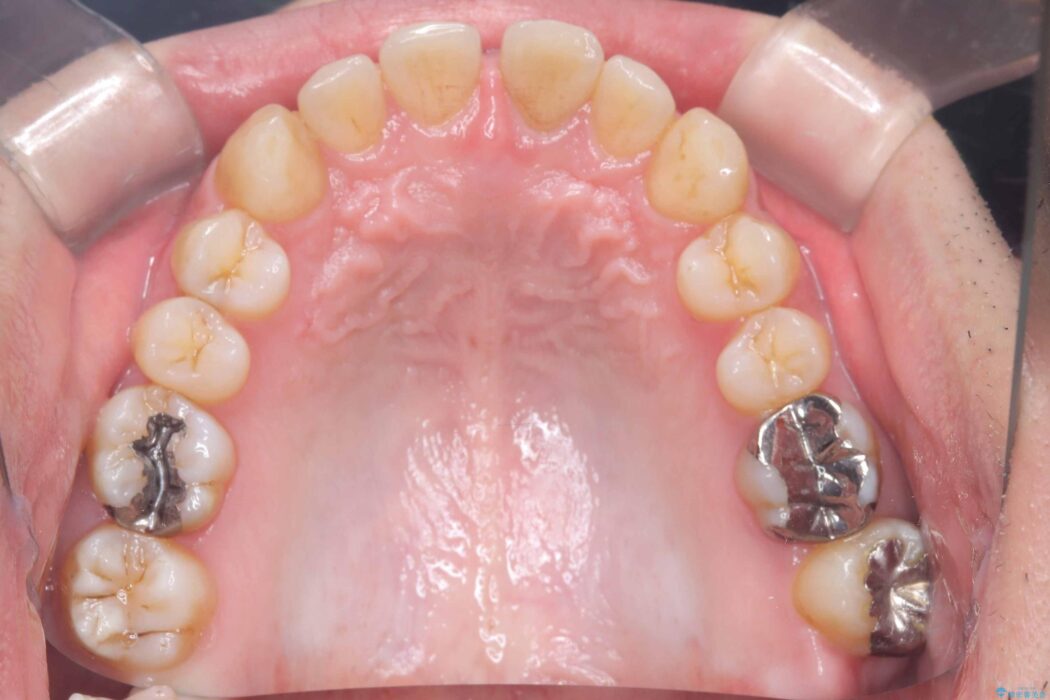
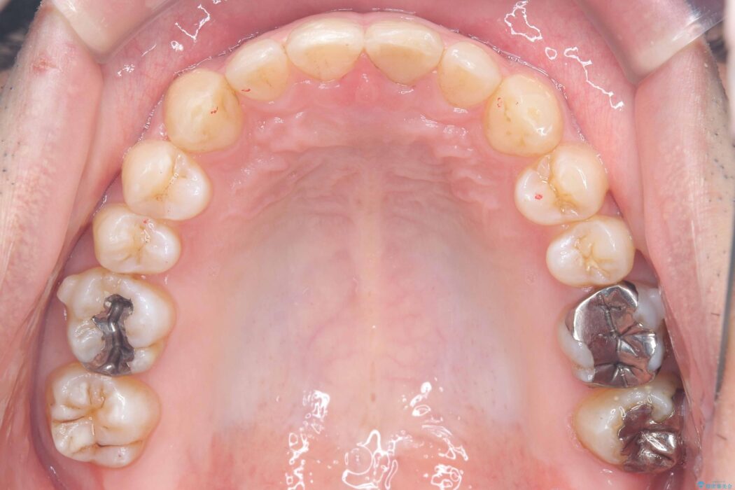
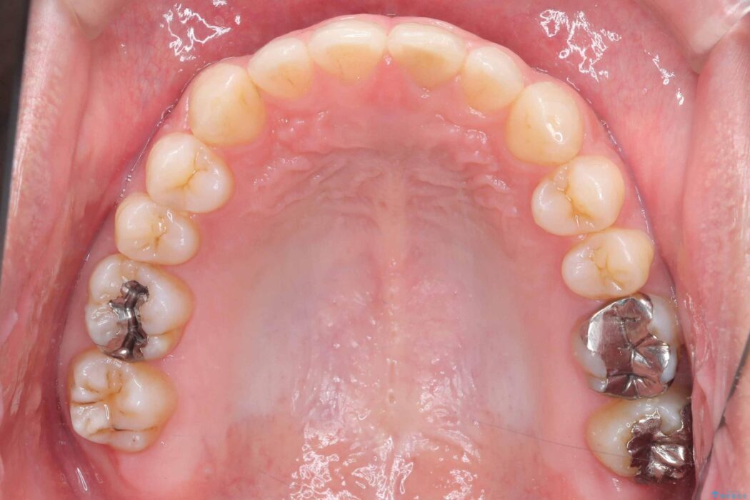
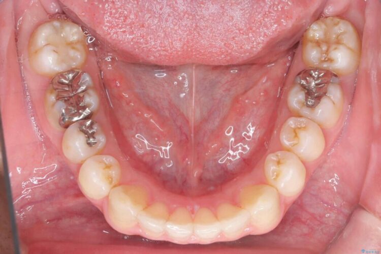
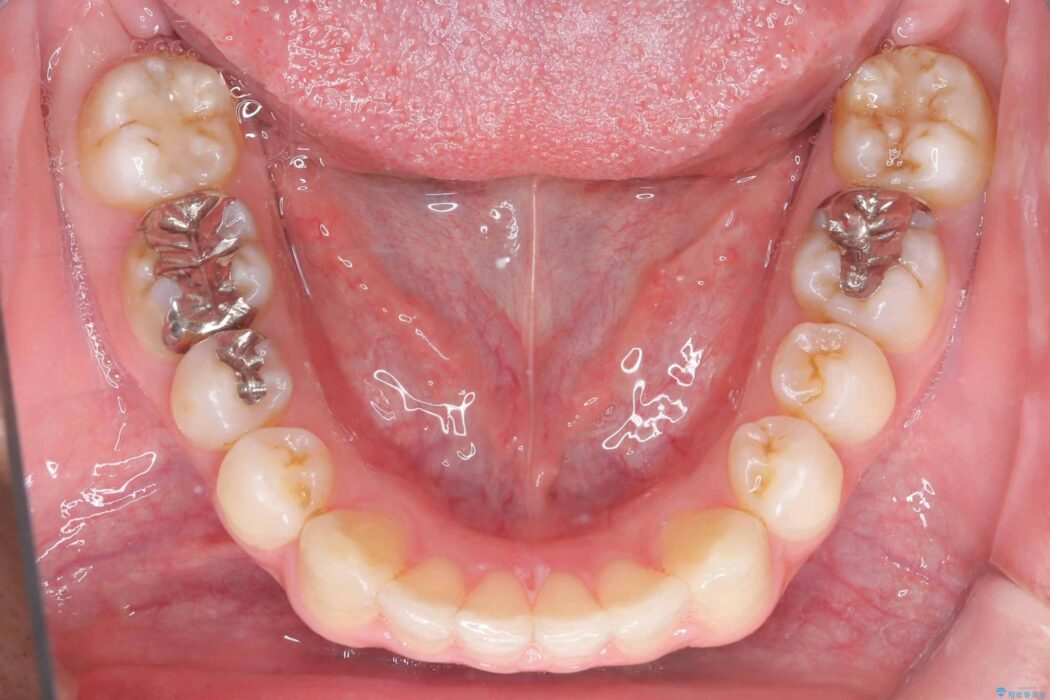
正中離開・叢生のほかに、上下の奥歯が全く咬み合わないシザーズバイトの状態も認められました。
精密検査の結果、非抜歯でインビザラインによる治療が可能と判断し、治療を行うこととしました。
治療後について
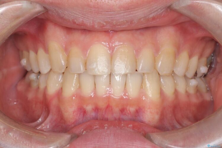
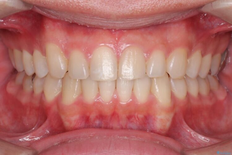
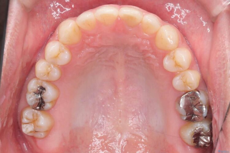
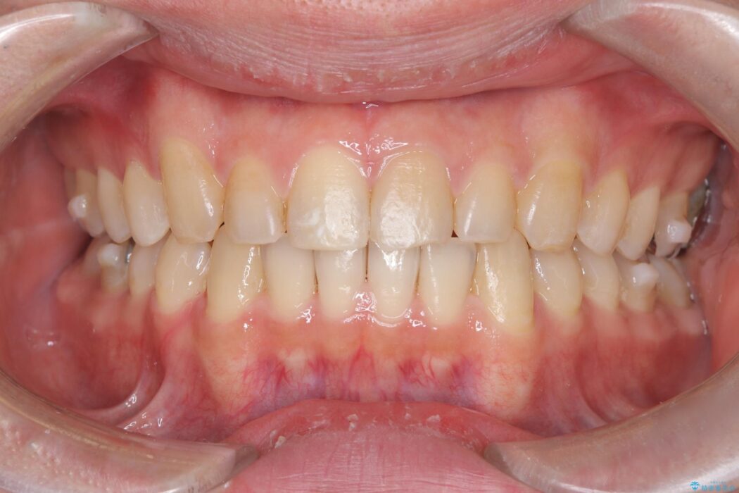
歯の隙間とデコボコ、シザーズバイトも改善され、咬み合わせや見た目が整い、患者様にも大変ご満足いただけました。
マウスピース矯正の注意事項(リスク・副作用など)
- 口腔内・歯並びの状態によっては対応できない場合があります
- マウスピース型矯正装置の長時間装着(1日20時間以上)が必須です
- 治療計画通りに進めるためには、患者様の意志が重要になります
- 矯正治療後の保定が不十分だと後戻り(元の位置に戻ろうとする動き)をします
- 薬機法対象外の矯正歯科装置のため医薬品副作用被害救済制度の対象外となる場合があります
- 自費診療(保険適用外)となります









