大人になってからのオープンバイト(開咬)の矯正治療
治療概要
- 患者様:20代女性
- 治療期間:1年6ヶ月
- 治療回数:10~30回
- 矯正装置:インビザライン
- 概算治療費:85万円
※費用は治療当時の料金となります - 担当医:河口智英
治療動機
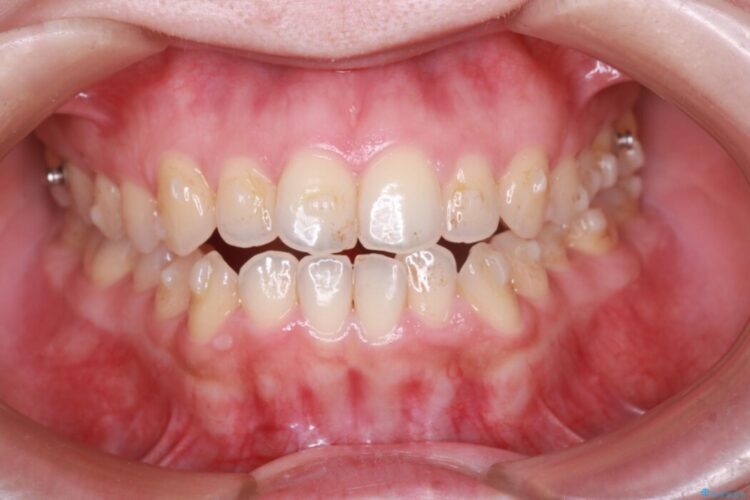
スマイルラインが気になっているとの主訴で来院されました。
治療計画
オープンバイト(開咬)とは奥歯をかみしめた際に前歯が噛み合っておらず隙間が空いている不正歯列のことをいいます。
本来であれば、下前歯が内側に来ている状態で奥歯が噛み合っている状態が正常なかみ合わせとなります。
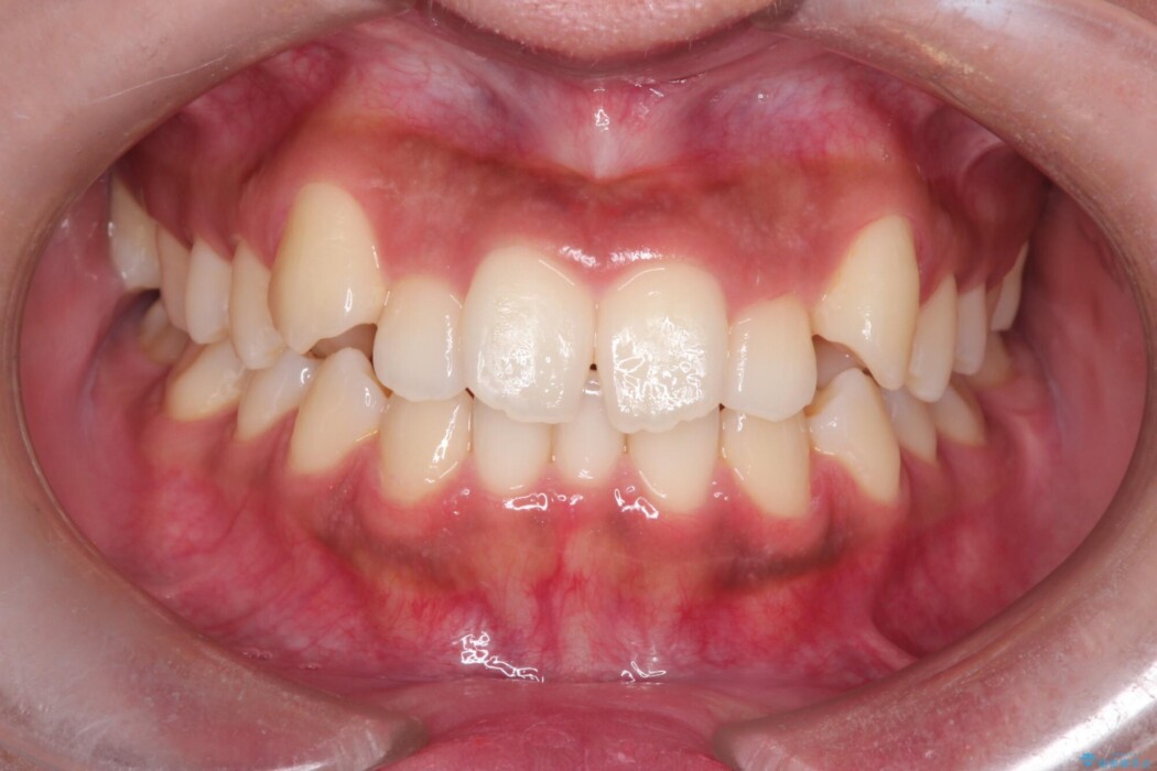
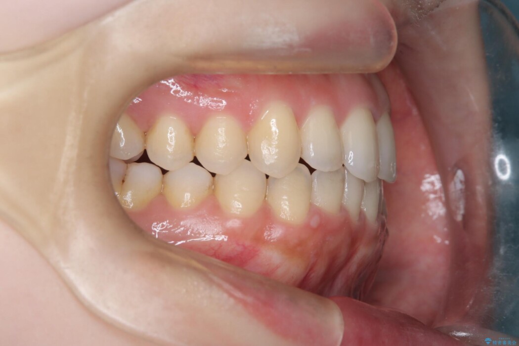
今回のケースでの目標は上の前歯が下の前歯を少しだけ隠すように重なるようにすることを目指しました。
治療後について
オープンバイトは後戻りしてしまう可能性が高いといわれています。
舌のトレーニングで口周りの筋肉を鍛えることにより舌の位置や動きによる後戻りを防ぎ、矯正した歯列を維持することができます。
マウスピース矯正の注意事項(リスク・副作用など)
- 口腔内・歯並びの状態によっては対応できない場合があります
- マウスピース型矯正装置の長時間装着(1日20時間以上)が必須です
- 治療計画通りに進めるためには、患者様の意志が重要になります
- 矯正治療後の保定が不十分だと後戻り(元の位置に戻ろうとする動き)をします
- 薬機法対象外の矯正歯科装置のため医薬品副作用被害救済制度の対象外となる場合があります
- 自費診療(保険適用外)となります















