インビザライン矯正で短期間で開咬を改善
治療概要
- 患者様:20代女性
- 治療期間:8ヶ月
- 治療回数:10~30回
- 矯正装置:インビザライン
- 概算治療費:約80万円
※費用は治療当時の料金となります - 担当医:河口智英
治療動機
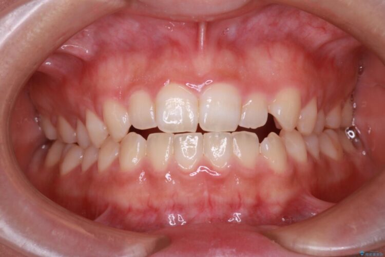
開咬を主訴に来院されました。
治療計画
インビザライン矯正は開咬でお悩みの方に適した治療装置であるため、インビザラインによる治療をご提案しました。
治療後について
1年もかからず短期間で開咬が改善され、歯並びも綺麗になったと満足していただきました。
開咬について
開咬は上下の前歯の間に隙間(空隙)が生じている状態で、前方開咬(上下の前歯が反対向きに向いている)と後方開咬(上下の前歯が同じ方向に向いている)の2種類があります。
開咬を放置しておくと、咀嚼機能の低下、発音障害、口呼吸になることが多く、生活に支障をきたすことがあります。
マウスピース矯正の注意事項(リスク・副作用など)
- 口腔内・歯並びの状態によっては対応できない場合があります
- マウスピース型矯正装置の長時間装着(1日20時間以上)が必須です
- 治療計画通りに進めるためには、患者様の意志が重要になります
- 矯正治療後の保定が不十分だと後戻り(元の位置に戻ろうとする動き)をします
- 薬機法対象外の矯正歯科装置のため医薬品副作用被害救済制度の対象外となる場合があります
- 自費診療(保険適用外)となります










