上顎前突(出っ歯)をインビザラインで矯正治療
治療概要
- 患者様:30代男性
- 治療期間:2年
- 治療回数:10~30回
- 概算治療費:80万円
※費用は治療当時の料金となります - 担当医:河口智英
治療動機
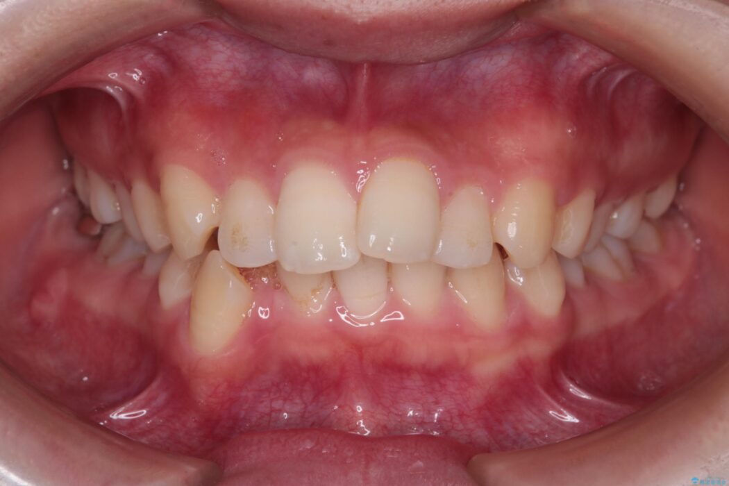
前歯が出ていることを気にされ治療したいとのことで来院されました。
治療計画
歯列弓が狭い状態であったため幅を広げながら歯を動かすスペースを確保し、歯列を整えることとしました。
今回は臼歯部の遠心移動を手助けするため2級ゴムを使用しました。
治療後について
上顎前突(出っ歯)と叢生は治療によりきれいな歯列へ収まりました。
特に左方の犬歯関係は治療前と比べて改善しているのが確認できます。
マウスピース矯正の注意事項(リスク・副作用など)
- 口腔内・歯並びの状態によっては対応できない場合があります
- マウスピース型矯正装置の長時間装着(1日20時間以上)が必須です
- 治療計画通りに進めるためには、患者様の意志が重要になります
- 矯正治療後の保定が不十分だと後戻り(元の位置に戻ろうとする動き)をします
- 薬機法対象外の矯正歯科装置のため医薬品副作用被害救済制度の対象外となる場合があります
- 自費診療(保険適用外)となります















