気になる飛び出た八重歯を歯科矯正で治したい
治療概要
- 患者様:20代女性
- 治療期間:2年
- 治療回数:10~30回
- 矯正装置:インビザライン
- 概算治療費:90万円
※費用は治療当時の料金となります - 担当医:河口智英
治療動機
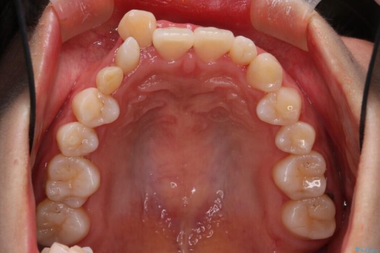
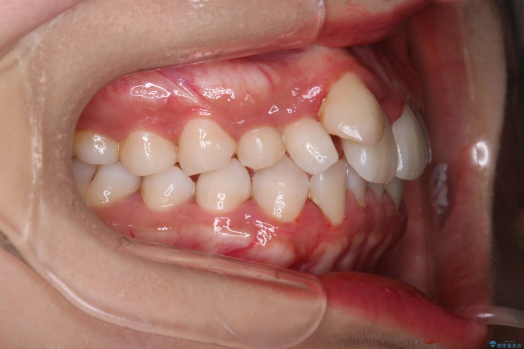
飛び出た上顎右側の八重歯が気になるとのことで来院されました。
治療計画
上顎右側に乳歯が残っていることによって不正歯列(八重歯)となっているため、乳歯を抜歯してスペースを確保した上で、インビザラインによる八重歯の改善を行いました。
治療後について
インビザラインをしっかり使用していただけたことにより、きれいな仕上がりとなりました。
マウスピース矯正の注意事項(リスク・副作用など)
- 口腔内・歯並びの状態によっては対応できない場合があります
- マウスピース型矯正装置の長時間装着(1日20時間以上)が必須です
- 治療計画通りに進めるためには、患者様の意志が重要になります
- 矯正治療後の保定が不十分だと後戻り(元の位置に戻ろうとする動き)をします
- 薬機法対象外の矯正歯科装置のため医薬品副作用被害救済制度の対象外となる場合があります
- 自費診療(保険適用外)となります


















