虫歯が多くある方のインビザライン矯正治療
治療概要
- 患者様:20代女性
- 治療期間:2年
- 治療回数:10~30回
- 矯正装置:インビザライン
- 概算治療費:80万円
※費用は治療当時の料金となります - 担当医:河口智英
治療動機
前歯のガタつきを治したいとのことで来院されました。
治療計画
口腔内を検査したところ、多くの虫歯を認めたためまずは虫歯の治療をし、その後インビザラインでの歯列矯正治療へと移ることとしました。
治療後について
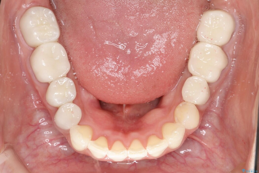
虫歯は治療を終え、主訴である歯列はきれいな仕上がりとなりました。
虫歯と矯正治療
矯正治療の前にまずは虫歯を治療します。
もし先に矯正治療をした場合、虫歯が悪化し最悪歯が損なってしまう可能性があるためです。
矯正治療を行う前に、虫歯やその他の口腔内の問題を解決しておくことが、成功する矯正治療への第一歩となります。
担当医と緊密に連携し、しっかりとした治療計画を立てることが大切です。
マウスピース矯正の注意事項(リスク・副作用など)
- 口腔内・歯並びの状態によっては対応できない場合があります
- マウスピース型矯正装置の長時間装着(1日20時間以上)が必須です
- 治療計画通りに進めるためには、患者様の意志が重要になります
- 矯正治療後の保定が不十分だと後戻り(元の位置に戻ろうとする動き)をします
- 薬機法対象外の矯正歯科装置のため医薬品副作用被害救済制度の対象外となる場合があります
- 自費診療(保険適用外)となります















