飛び出た犬歯と八重歯をなおしたい
治療概要
- 患者様:20代女性
- 治療期間:2年6ケ月
- 治療回数:10~30回
- 概算治療費:100万円
※費用は治療当時の料金となります - 担当医:河口智英
治療動機
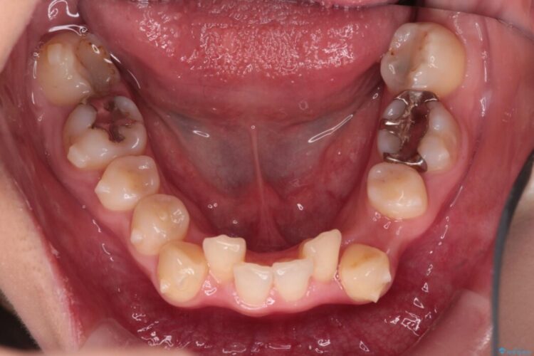
飛び出るように生えた八重歯をなおしたいとの主訴で来院されました。
治療計画
インビザラインによる矯正を希望され、今回は移動距離が少なくなるように犬歯を抜歯し、歯肉退縮や装置の特性を考慮した治療計画としました。
下顎に関しては、半年ほどワイヤー矯正にてリカバリーを行なっております。
マウスピース矯正の注意事項(リスク・副作用など)
- 口腔内・歯並びの状態によっては対応できない場合があります
- マウスピース型矯正装置の長時間装着(1日20時間以上)が必須です
- 治療計画通りに進めるためには、患者様の意志が重要になります
- 矯正治療後の保定が不十分だと後戻り(元の位置に戻ろうとする動き)をします
- 薬機法対象外の矯正歯科装置のため医薬品副作用被害救済制度の対象外となる場合があります
- 自費診療(保険適用外)となります
ワイヤー矯正の注意事項(リスク・副作用など)
- 治療中は違和感や痛みが起こることがあります
- 症状により、抜歯が必要な場合があります
- 治療中は歯磨きがしにくくなるため、虫歯や歯周病になりやすくなります
- 矯正治療後の保定が不十分だと後戻り(元の位置に戻ろうとする動き)をします
- 自費診療(保険適用外)となります

















