前歯のガタガタをなおしたい インビザラインでのマウスピース矯正治療
治療概要
- 患者様:20代女性
- 治療期間:3年1ヶ月
- 治療回数:10~30回
- 矯正装置:インビザライン
- 概算治療費:90万円
※費用は治療当時の料金となります - 担当医:河口智英
治療動機
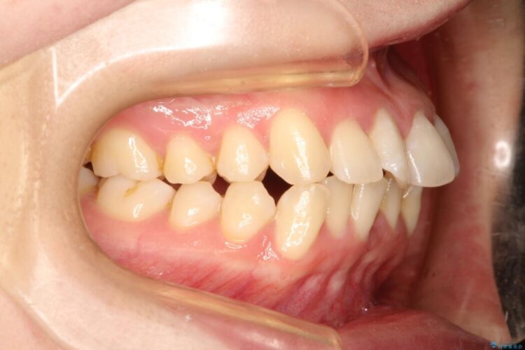
歯列のガタつき、特に下顎前歯のねじれと傾きをなおしたいとの主訴で来院されました。
治療計画
上下左右の小臼歯を抜歯することできれいに並べるためのスペースを確保し、インビザラインのマウスピース矯正を行いました。
診査をしたところ下顎の側方偏位(上下の真ん中にある歯がずれている状態)が確認されましたが、外科矯正は希望されませんでしたのでそのまま矯正をしています。
また、途中に臼歯の近心傾斜(正中に向けて傾いていること)を認めましたので、ワイヤー矯正を行っています。
治療後について
患者様の理想とする形へとなったため、少し時間はかかってしまいましたが仕上がりにとてもご満足いただけました。
マウスピース矯正の注意事項(リスク・副作用など)
- 口腔内・歯並びの状態によっては対応できない場合があります
- マウスピース型矯正装置の長時間装着(1日20時間以上)が必須です
- 治療計画通りに進めるためには、患者様の意志が重要になります
- 矯正治療後の保定が不十分だと後戻り(元の位置に戻ろうとする動き)をします
- 薬機法対象外の矯正歯科装置のため医薬品副作用被害救済制度の対象外となる場合があります
- 自費診療(保険適用外)となります















