重度の叢生をインビザラインで改善
治療概要
- 患者様:20代女性
- 治療期間:2年2ヶ月
- 治療回数:10~30回
- 矯正装置:インビザライン
- 概算治療費:100万円
※費用は治療当時の料金となります - 担当医:河口智英
治療動機
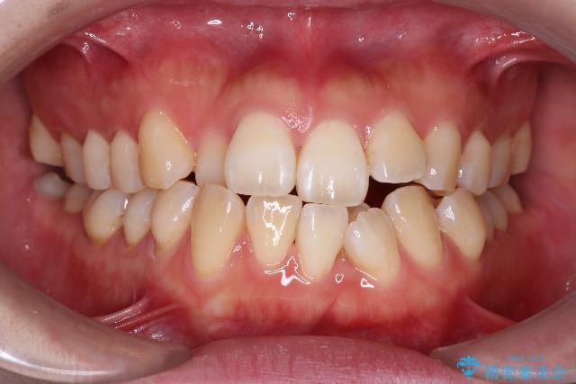
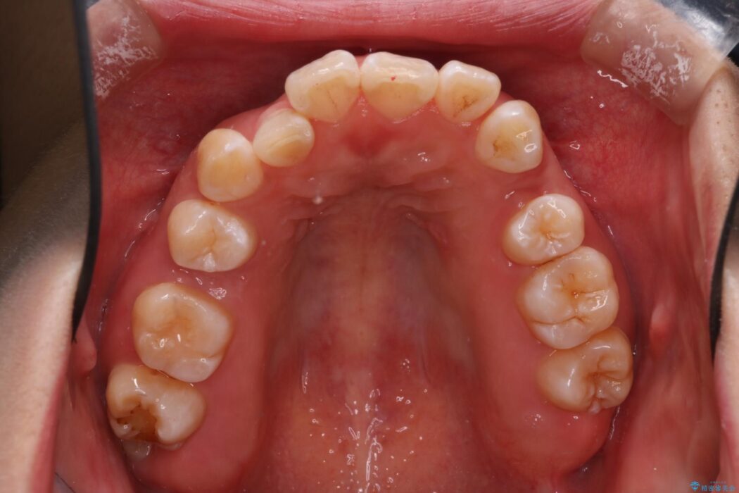
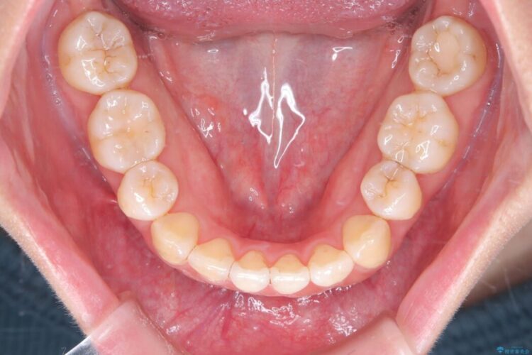
前歯から奥歯にかけて歯の重なりが激しい重度の叢生(デコボコ)を主訴にご来院されか患者様です。
治療計画
精密検査の結果、歯を並べるためのスペースがかなり不足していることが分かりました。
そのため、上下左右の小臼歯を抜歯し、その確保したスペースを使って歯並び全体を整える抜歯矯正を計画しました。
装置には、ご要望の通り目立たないインビザラインを採用し、審美性と治療効果を両立させます。
治療後について
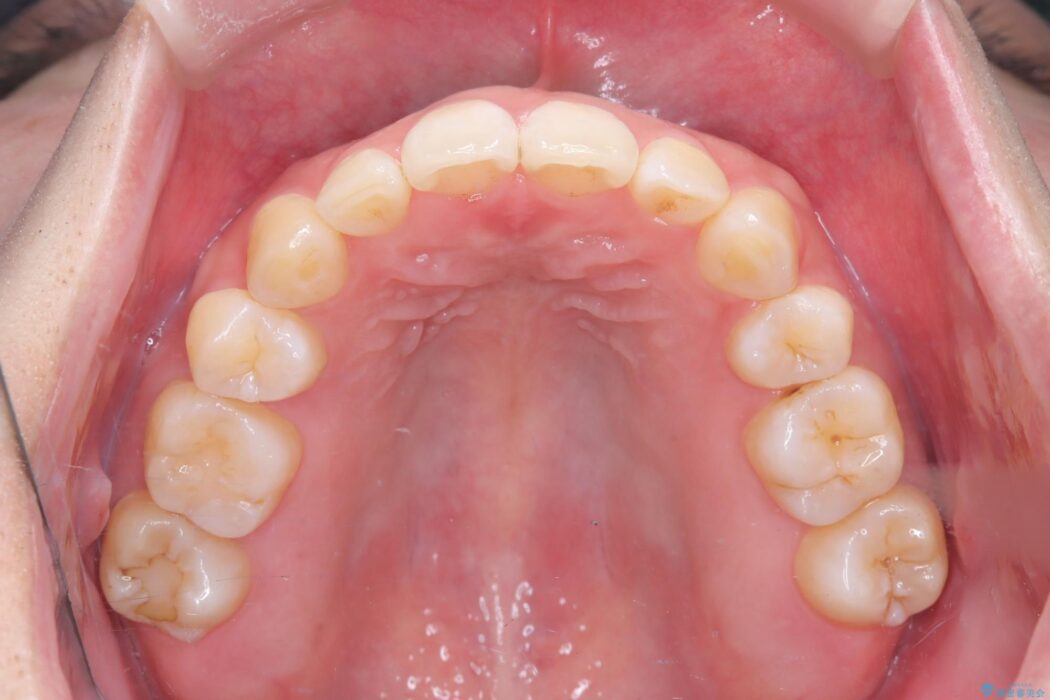
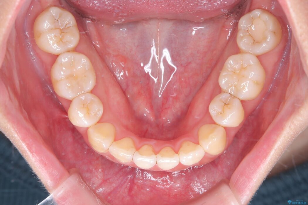
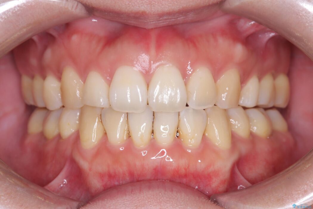
治療の結果、長年お悩みだった重度のデコボコ(叢生)が解消され、理想的な美しい歯並びが実現しました。見た目が改善されただけでなく、清掃しやすい環境が整ったことで、機能的にも安定した、健康で美しい口元を獲得していただけました。
マウスピース矯正の注意事項(リスク・副作用など)
- 口腔内・歯並びの状態によっては対応できない場合があります
- マウスピース型矯正装置の長時間装着(1日20時間以上)が必須です
- 治療計画通りに進めるためには、患者様の意志が重要になります
- 矯正治療後の保定が不十分だと後戻り(元の位置に戻ろうとする動き)をします
- 薬機法対象外の矯正歯科装置のため医薬品副作用被害救済制度の対象外となる場合があります
- 自費診療(保険適用外)となります









