飛び出た前歯の形を変えたい
治療概要
- 患者様:20代女性
- 治療期間:1年5ヶ月
- 治療回数:10~30回
- 矯正装置:インビザライン
- 概算治療費:85万円
※費用は治療当時の料金となります - 担当医:河口智英
治療動機
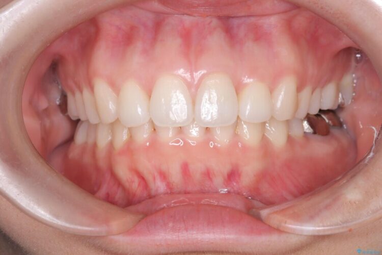
前歯が前方へ出ていることを気にされて来院されました。 横からの画像を見ると分かりやすく前へ出ている(上顎前突)のが確認できます。
治療計画
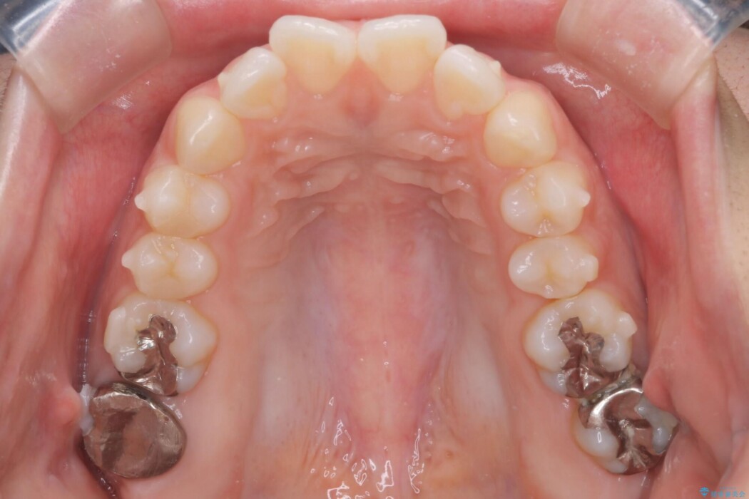
患者様のご希望として抜歯をせずに歯列矯正をしたいとのことでしたので、臼歯部の遠心移動やIPRを行いつつインビザラインを使用した治療を行うこととしました。
治療後について
噛み合わせが良くなり、きれいな歯列となったことで患者様に喜んでいただけました。
今回は非抜歯の矯正治療となりましたので口を閉じた時の口元に大きな変化はありません。
マウスピース矯正の注意事項(リスク・副作用など)
- 口腔内・歯並びの状態によっては対応できない場合があります
- マウスピース型矯正装置の長時間装着(1日20時間以上)が必須です
- 治療計画通りに進めるためには、患者様の意志が重要になります
- 矯正治療後の保定が不十分だと後戻り(元の位置に戻ろうとする動き)をします
- 薬機法対象外の矯正歯科装置のため医薬品副作用被害救済制度の対象外となる場合があります
- 自費診療(保険適用外)となります

















