欠けた歯の修復
治療概要
- 患者様:20代女性
- 治療期間:1ヶ月
- 治療回数:2~5回
- 概算治療費:9万9千円(税込)
※費用は治療当時の料金となります - 担当医:町田睦月
治療動機
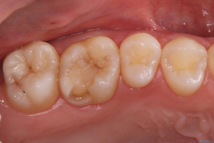
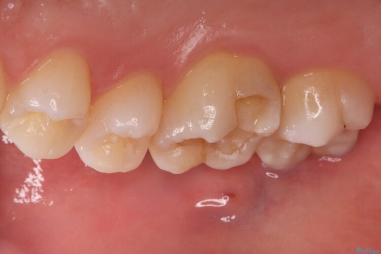
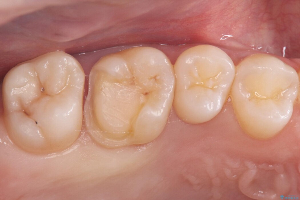
右上奥歯が欠けてしまい来院されました。
治療計画
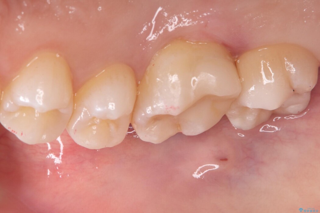
右上6番の舌側が欠けてしまっている状態でした。
破折リスクを考慮し、セラミックアンレーで治療を行うこととしました。
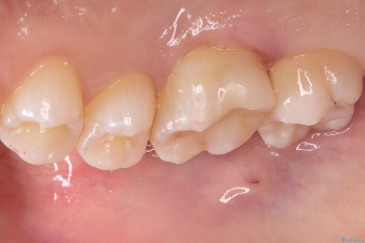
治療後について
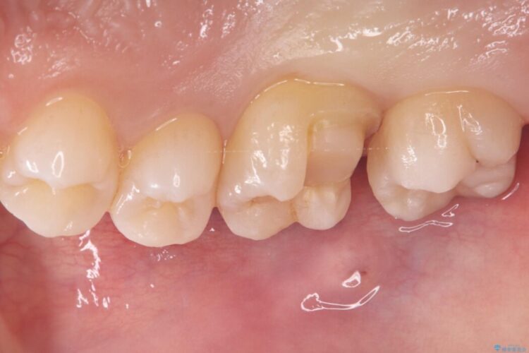
セラミックアンレーセット時は、ラバーダム防湿を行っています。
セラミック治療の注意事項(リスク・副作用など)
- 天然歯を削ります
- 硬い素材は天然歯を傷つけてしまう場合があります
- かみ合わせや歯ぎしりが強すぎる方はセラミックが割れてしまう可能性があります
- 自費診療(保険適用外治療)となります






