銀歯の段差の改善、ラバーダム防湿下で行うセラミックインレー治療
治療概要
- 患者様:40代女性
- 治療期間:1ヶ月
- 治療回数:2~5回
- 概算治療費:7.7万円
※費用は治療当時の料金となります - 担当医:河野豊嘉
治療動機
当院でメンテナンスに通われている患者様の症例です。
治療計画
歯が欠けたことによるものか、もしくは以前装着された修復物の不適合が原因と考えられますが、銀歯と歯との間に大きな段差が認められ、汚れが溜まりやすい状態となっていました。
このような状態では、修復物の内部で虫歯が進行している可能性が高いため、治療が必要と判断しました。
今回は、経年的な劣化が少なく、汚れが付着しにくいセラミックインレーを用いて治療を行いました。
治療後について
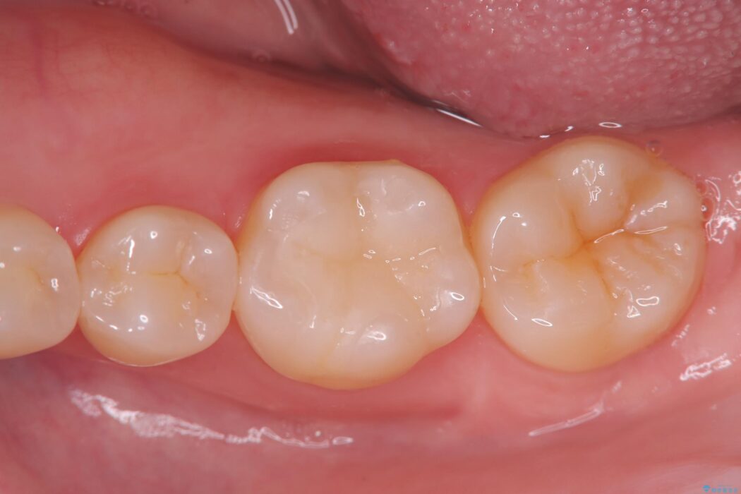
セラミックインレー装着時には、唾液が入らないようラバーダムシートを使用しております。
ラバーダム防湿下で行うことで接着精度を高め、長く安心して使っていただける治療を心がけています。
セラミック治療の注意事項(リスク・副作用など)
- 天然歯を削ります
- 硬い素材は天然歯を傷つけてしまう場合があります
- かみ合わせや歯ぎしりが強すぎる方はセラミックが割れてしまう可能性があります
- 自費診療(保険適用外治療)となります



