ブリッジの歯の一部が欠けてしまった
治療概要
- 患者様:50代男性
- 治療期間:2ヶ月
- 治療回数:2~5回
- 概算治療費:33万円(税抜)
※費用は治療当時の料金となります - 担当医:町田睦月
治療動機
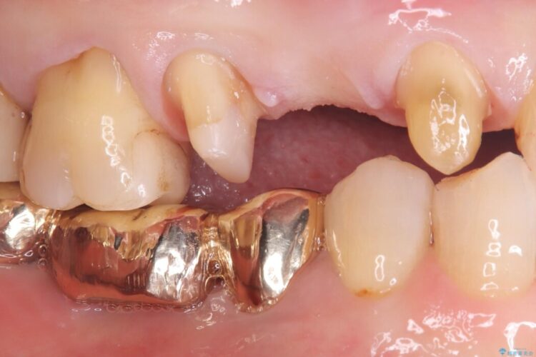
ブリッジの歯の一部が欠けてしまったとご来院されました。
治療計画
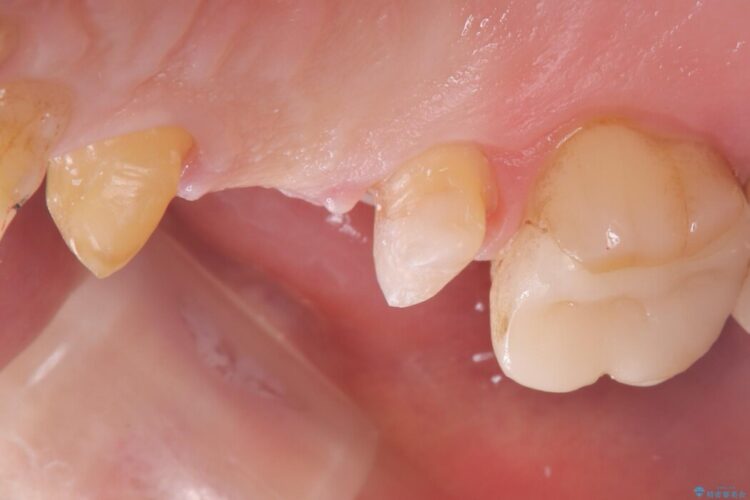
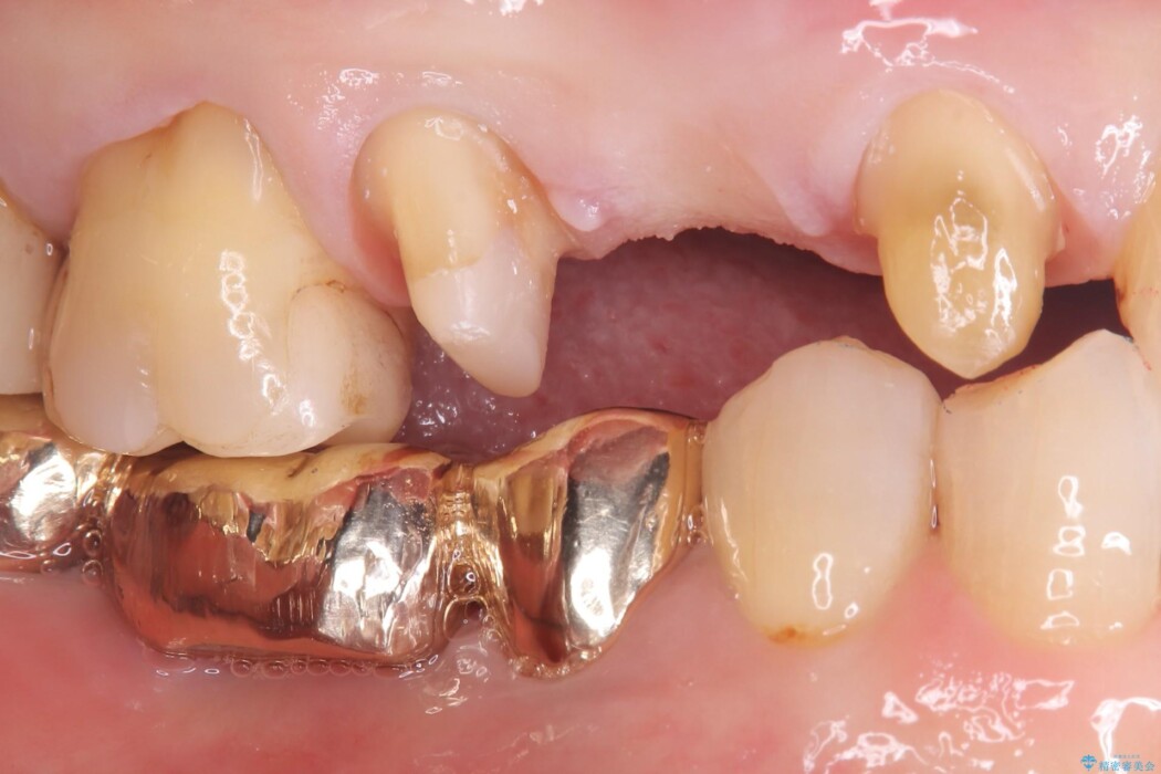
右上⑤4③にはメタルフレームを用いたブリッジが入っており、右上5番目の歯が虫歯により欠けている状態でした。
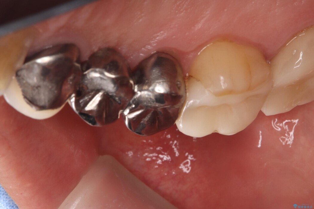
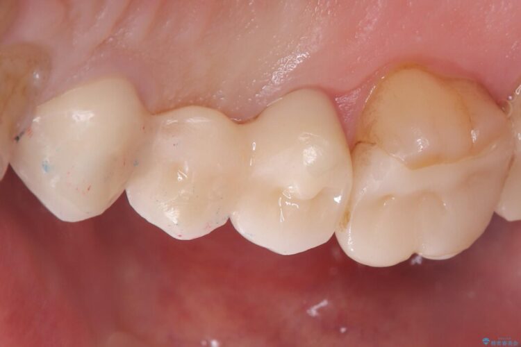
5番の被せ物を部分的なものから全体を覆うクラウンに変更し、修復しました。
治療後について
右上5番の神経保護処置と経過観察を経て、症状がないことを確認してから被せ物の製作に進みました。
セラミック治療の注意事項(リスク・副作用など)
- 天然歯を削ります
- 硬い素材は天然歯を傷つけてしまう場合があります
- かみ合わせや歯ぎしりが強すぎる方はセラミックが割れてしまう可能性があります
- 自費診療(保険適用外治療)となります






