銀歯の下の虫歯をオールセラミッククラウンで修復
治療概要
- 患者様:50代男性
- 治療期間:1ヶ月
- 治療回数:2~5回
- 概算治療費:13.2万円(仮歯:10,000円+オールセラミッククラウン 3年保証110,000円)
※費用は治療当時の料金となります - 担当医:河野豊嘉
治療動機
メンテナンスでご通院されている患者様です。
治療計画
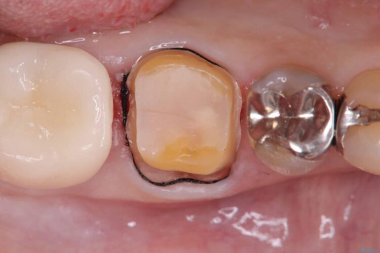
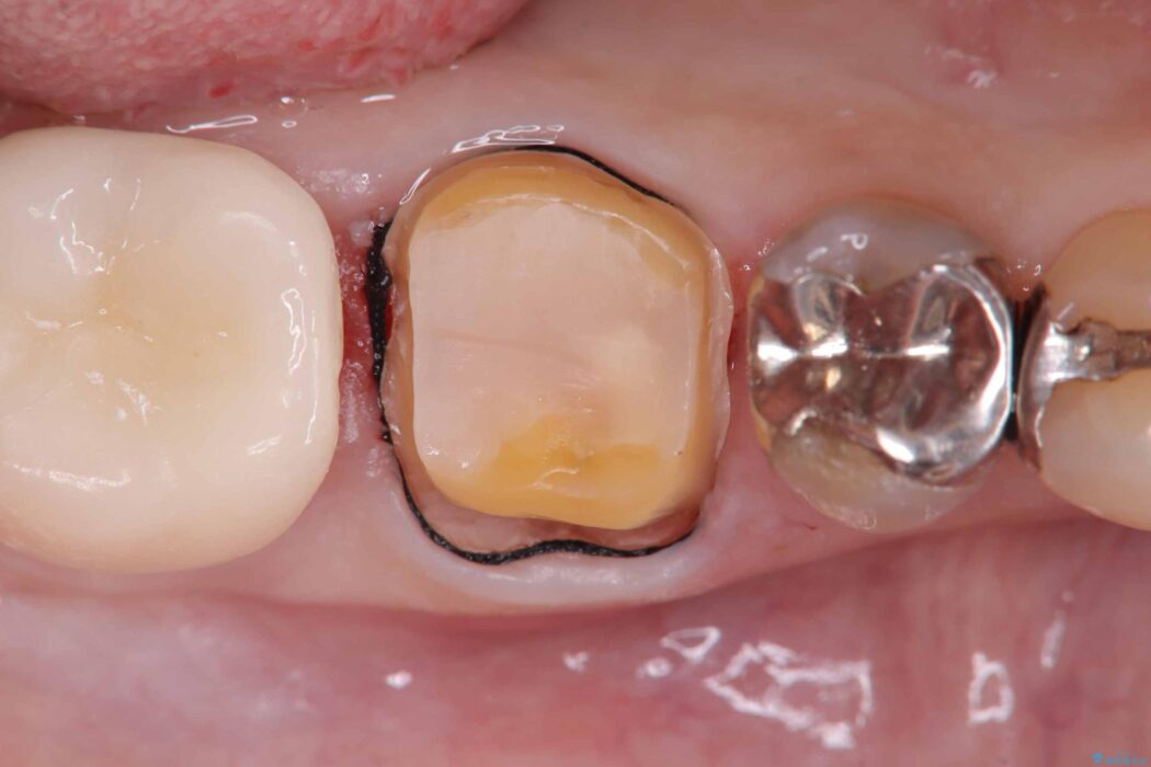
メンテナンスで虫歯が見つかりました。
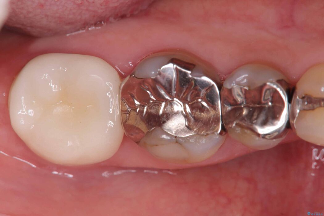
まず銀歯を除去し、丁寧に虫歯を取り除きました。その後、オールセラミッククラウンで修復しました。
治療後について
古い銀歯の下では、ご自身では気づかないうちに虫歯が深く進行しているケースが非常に多く見られます。特に、長年の使用や噛む力によって銀歯と歯の間にわずかな隙間が生じると、そこから細菌が入り込み、見えないところで虫歯が再発するリスクが高まります。
見た目ではほとんど判別できないため、定期的に歯科医院にてメンテナンスを行うことが大切です。
セラミック治療の注意事項(リスク・副作用など)
- 天然歯を削ります
- 硬い素材は天然歯を傷つけてしまう場合があります
- かみ合わせや歯ぎしりが強すぎる方はセラミックが割れてしまう可能性があります
- 自費診療(保険適用外治療)となります



