矮小歯と変色した詰め物をオールセラミッククラウンで修復
治療概要
- 患者様:20代女性
- 治療期間:1ヶ月
- 治療回数:2~5回
- 概算治療費:38万円
※費用は治療当時の料金となります - 担当医:河口智英
治療動機
長年気になっていた歯の形と色を治したいとご来院されました。
治療計画
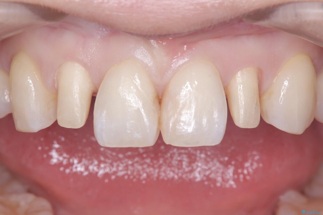
上顎の側切歯(2番)が生まれつき通常より小さい矮小歯でした。これまではプラスチックの詰め物で形を補っていましたが、材料の劣化による変色や、境目の不適合が目立つようになっていました。
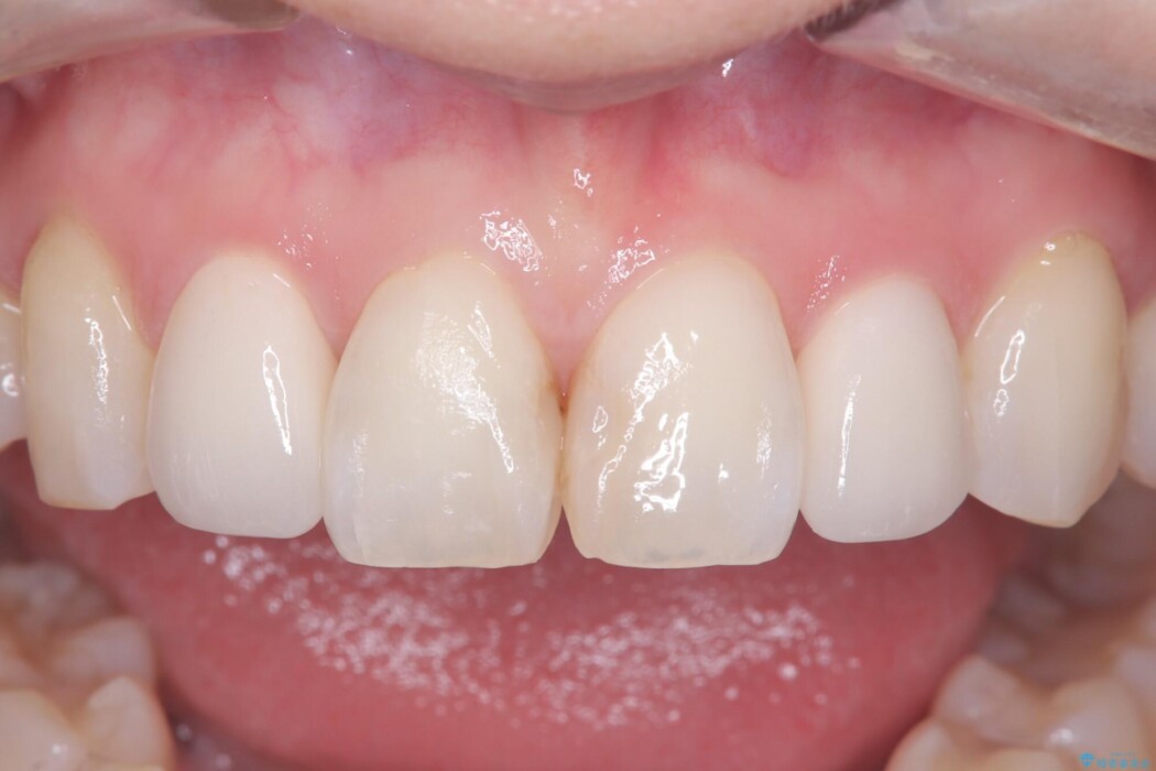
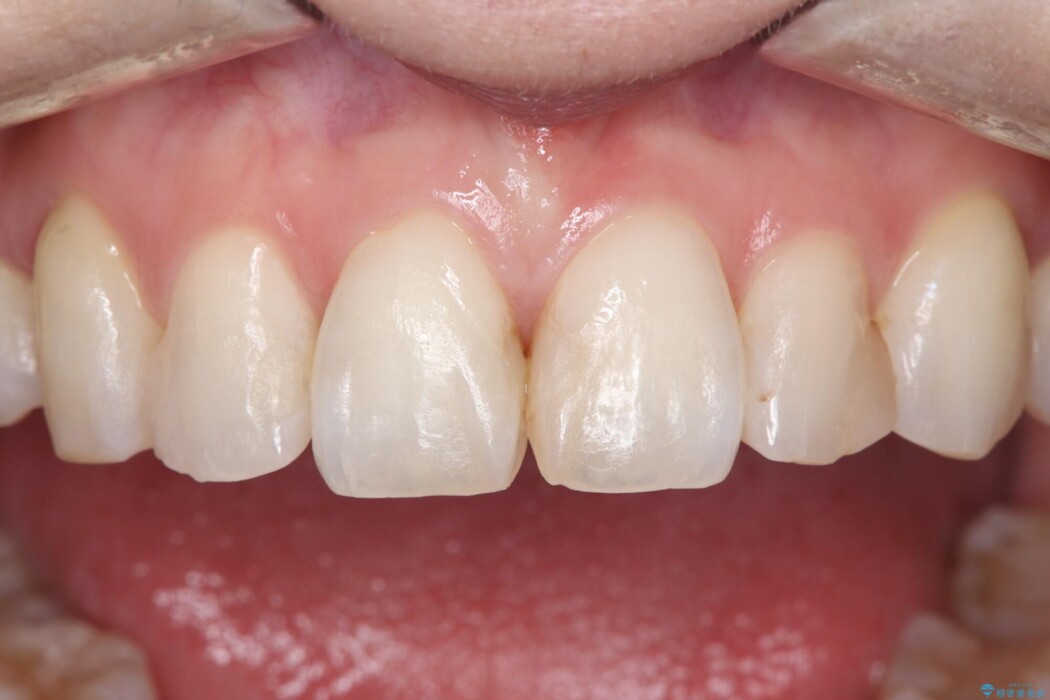
歯の形を理想的なバランスに整えつつ、透明感のある自然な白さを長期的に維持できるオールセラミッククラウンにやり替えることとしました。左右のバランスを対称に整えることで、お口元全体の印象を明るく改善していきます。
治療後について
矮小歯はもともと歯が小さいため、削る量を最小限に抑えながら、十分な維持力を確保できるよう慎重に形を整えています。
オールセラミッククラウンは、天然の歯のような光の透過性があり、周りの歯と見分けがつかないほど自然に馴染みます。また、表面が非常に硬く滑らかなため、コーヒーやお茶による着色汚れが付きにくいのも大きなメリットです。
患者様には大変ご満足いただける結果となりました。
セラミック治療の注意事項(リスク・副作用など)
- 天然歯を削ります
- 硬い素材は天然歯を傷つけてしまう場合があります
- かみ合わせや歯ぎしりが強すぎる方はセラミックが割れてしまう可能性があります
- 自費診療(保険適用外治療)となります



