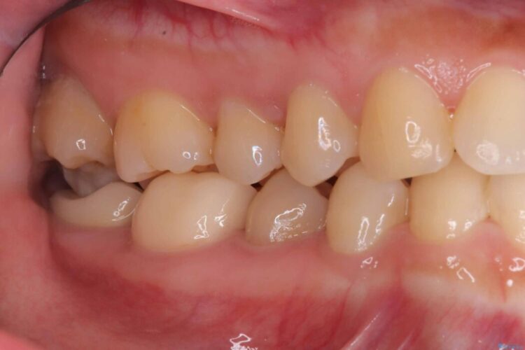
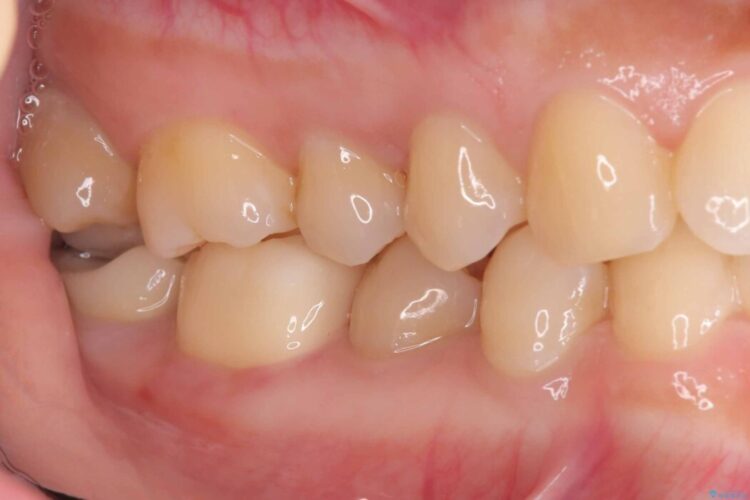
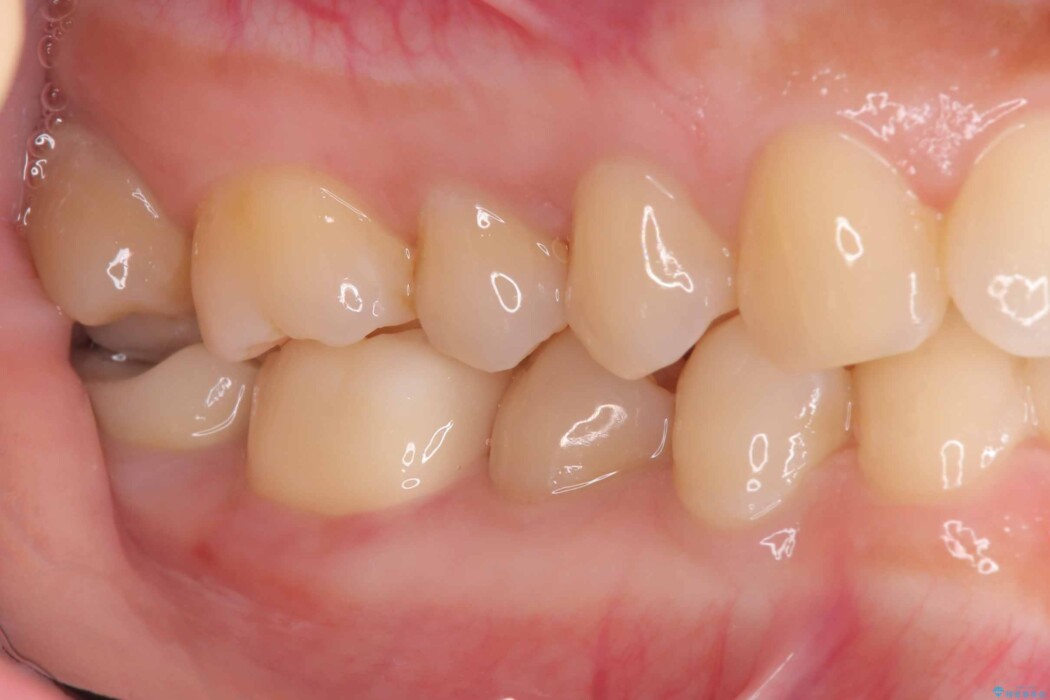
詰め物の下の見えない虫歯
治療概要
- 患者様:30代女性
- 治療期間:1ヶ月
- 治療回数:2~5回
- 概算治療費:15.4万円(税込)
※費用は治療当時の料金となります - 担当医:河野豊嘉
治療動機
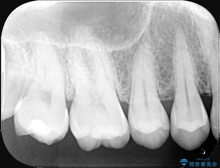
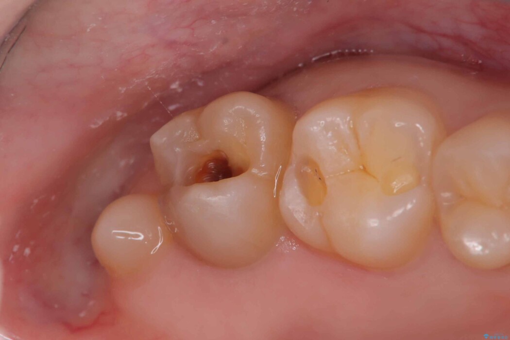
以前に詰めた白い詰め物の内部で、虫歯の再発が確認されました。
治療計画
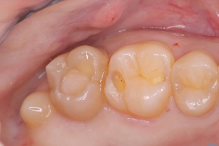
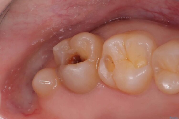
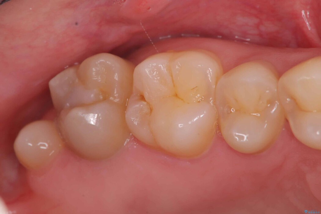
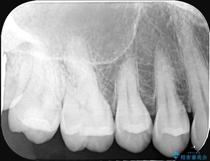
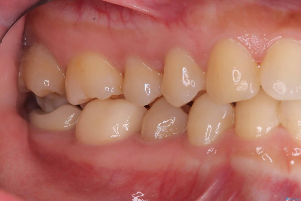
まずは古い詰め物と虫歯を丁寧に除去します。
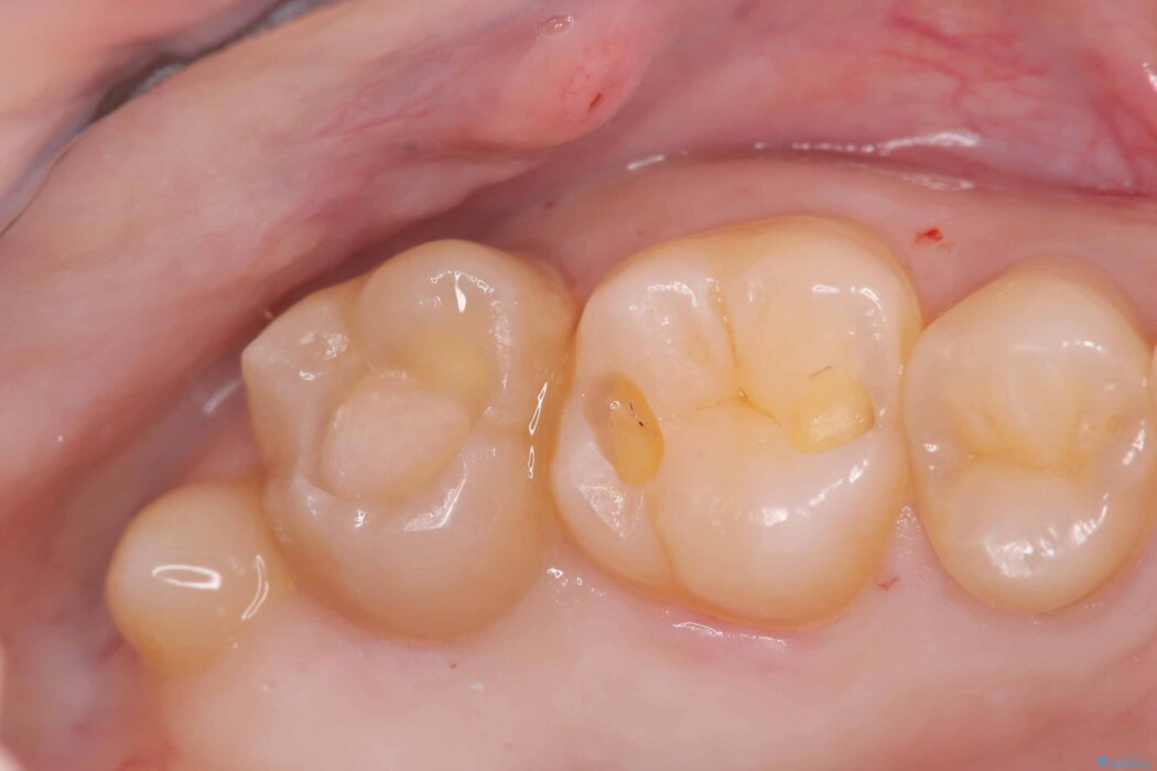
除去後は、再発リスクを抑え長期的な安定を図るために、適合精度が高く劣化しにくいセラミックインレーによる修復を計画しました。
セラミック治療の注意事項(リスク・副作用など)
- 天然歯を削ります
- 硬い素材は天然歯を傷つけてしまう場合があります
- かみ合わせや歯ぎしりが強すぎる方はセラミックが割れてしまう可能性があります
- 自費診療(保険適用外治療)となります









