銀歯の下で進行した虫歯、セラミッククラウンでやり替え
治療概要
- 患者様:40代男性
- 治療期間:2ヶ月
- 治療回数:2~5回
- 概算治療費:14万円
※費用は治療当時の料金となります - 担当医:河口智英
治療動機
右下奥歯(7番)に違和感があるとご相談にいらっしゃった患者様です。
治療計画
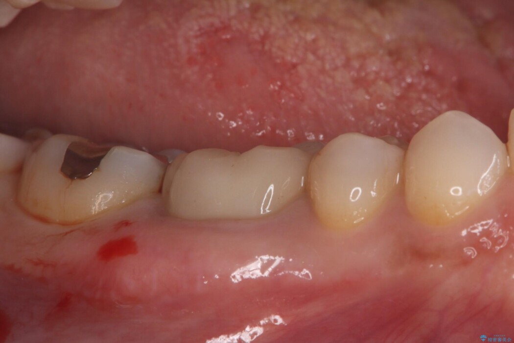
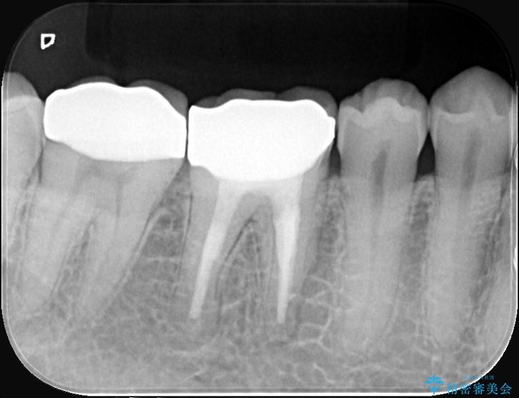
診査の結果、古い銀歯の隙間から新しい虫歯が広がっていました。ここは噛む力が強くかかる場所のため、このまま詰め物で治すと、部分的な詰め物では残存している自分の歯に負担が集中し、将来的に歯が割れてしまう「歯冠破折」のリスクが高い状態でした。
虫歯を丁寧に除去し、審美性・耐久性に優れたセラミッククラウンにやり替える治療計画を立案しました。
治療後について
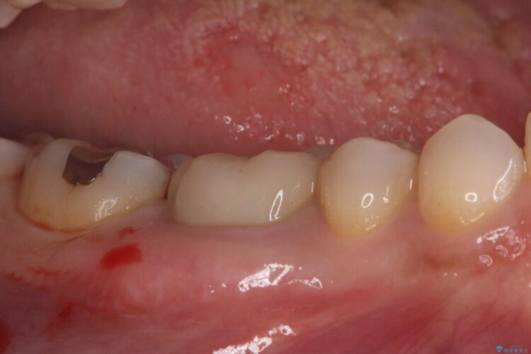
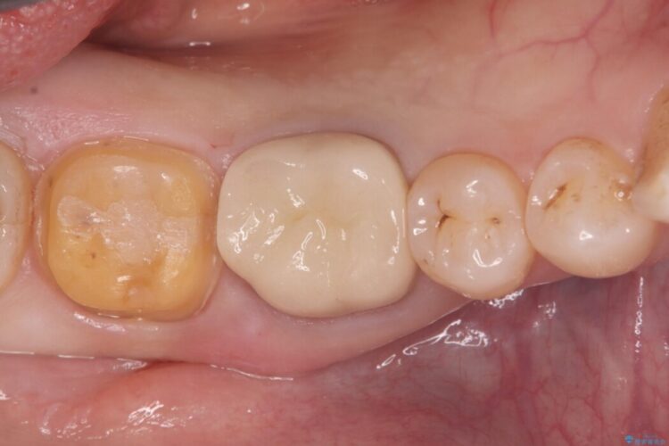
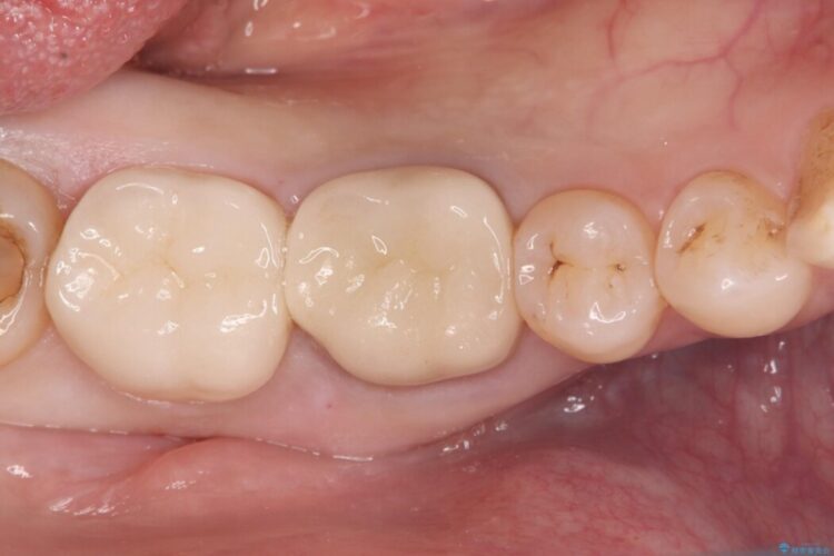
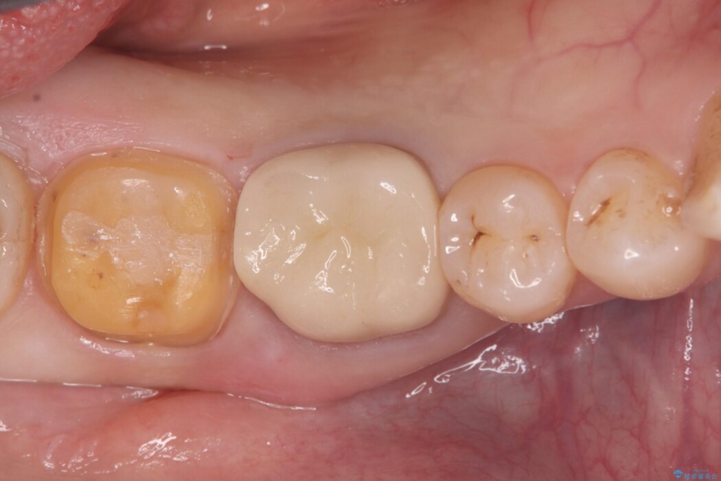
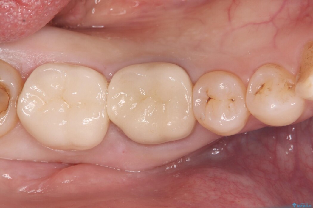
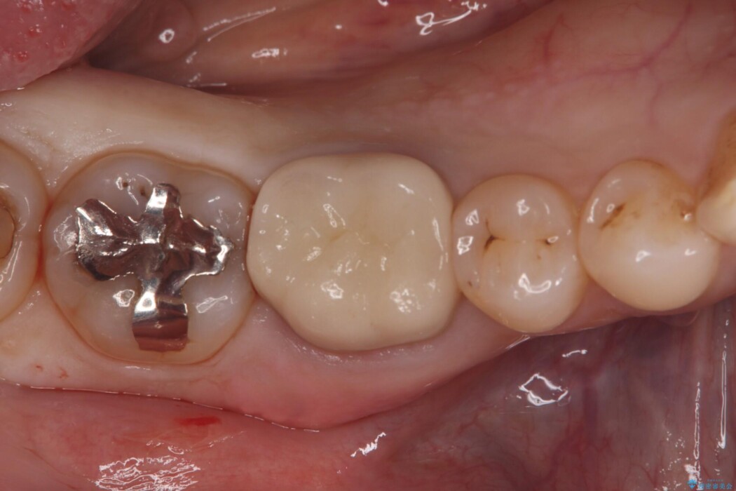
古い銀歯と中の虫歯をしっかりと取り除き、耐久性の高いセラミッククラウンで補強しました。
型取りには精密なシリコン材を使い、細菌の再侵入を防ぎます。
セラミックは見た目が美しいだけでなく、汚れがつきにくく、良好な口腔衛生状態を維持しやすくなり長期的に安心して使用できる状態へと整えることができました。
セラミック治療の注意事項(リスク・副作用など)
- 天然歯を削ります
- 硬い素材は天然歯を傷つけてしまう場合があります
- かみ合わせや歯ぎしりが強すぎる方はセラミックが割れてしまう可能性があります
- 自費診療(保険適用外治療)となります







