メタルフリーのセラミックインレーで修復する
治療概要
- 患者様:30代女性
- 治療期間:1ヶ月
- 治療回数:2~5回
- 概算治療費:14万円
※費用は治療当時の料金となります - 担当医:河口智英
治療動機
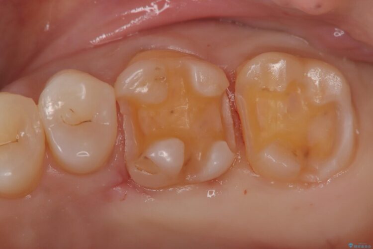
今ある金属の詰め物をメタルフリーのものにやりかえたいとの主訴で来院されました。
治療計画
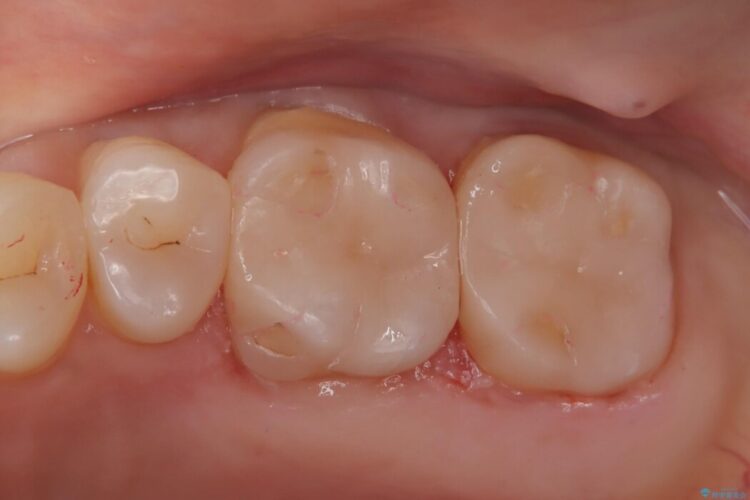
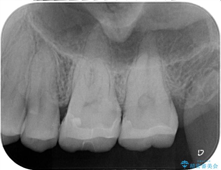
金属の詰め物を除去して虫歯の処置をした後にセラミックインレーにて修復しました。
治療後について
セラミックは天然歯に近い見た目であるため目立たず、劣化しにくいことが特徴です。
見た目、噛み合わせなどご満足いただけました。
セラミック治療の注意事項(リスク・副作用など)
- 天然歯を削ります
- 硬い素材は天然歯を傷つけてしまう場合があります
- かみ合わせや歯ぎしりが強すぎる方はセラミックが割れてしまう可能性があります
- 自費診療(保険適用外治療)となります









