「痛み」を「安心」に。銀歯を外して行う、最新の精密根管治療
治療概要
- 患者様:20代男性
- 治療期間:1ヶ月
- 治療回数:5~10回
- 概算治療費:35万円
※費用は治療当時の料金となります - 担当医:河口智英
治療動機
左上の奥歯(4番)が痛むとご来院されました。
治療計画
診査の結果、左上4番の歯は神経の炎症が強く、保存のために「精密根管治療」が必要な状態でした。さらに隣の5番も、銀歯の隙間から虫歯が進行していることが判明しました。
そこで、4番は根管治療後にセラミックの被せ物を、5番はセラミックの詰め物へやり替えることで審美的な状態へ整える計画を立案しました。
治療後について
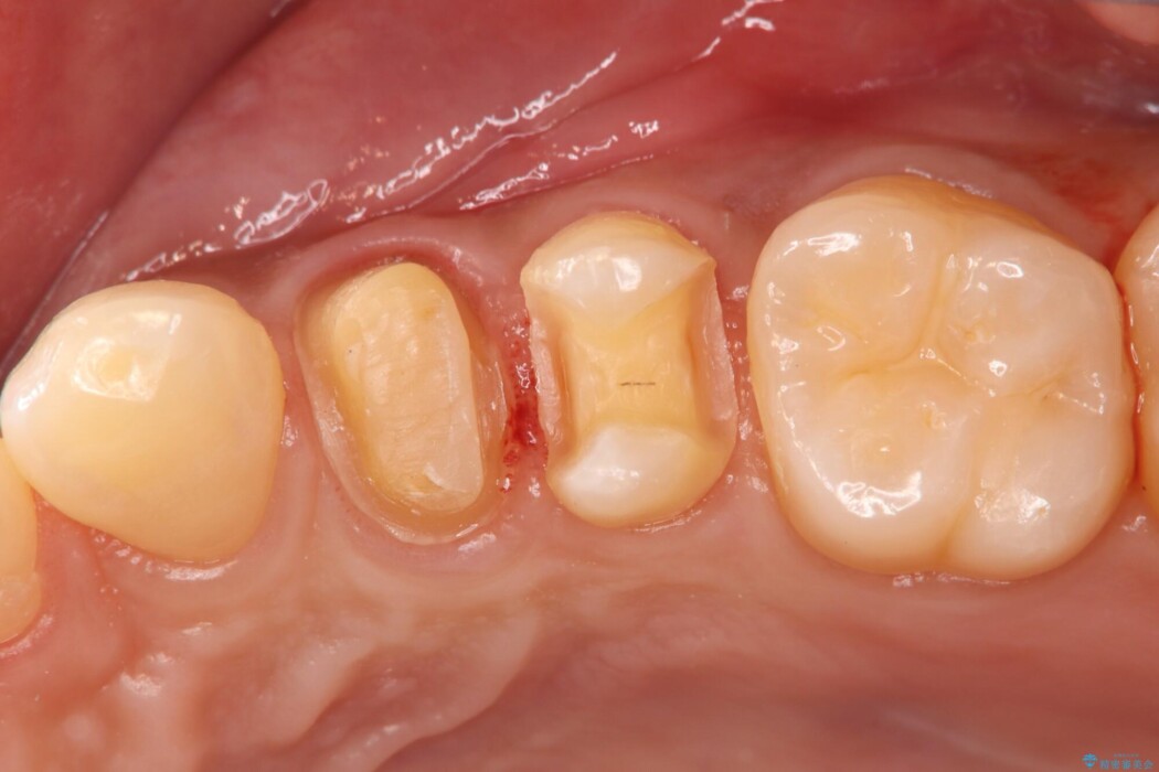
まずは、痛みの原因である4番の精密根管治療から行いました。
マイクロスコープにて根管内を清掃・消毒し無菌化を確認後、土台には歯根破折リスクを最小限に抑えるファイバーコア、その上に透明感と強度の高いオールセラミッククラウンを装着しました。
併せて5番の古い銀歯と虫歯を除去し、高精度なセラミックインレーで修復を行いました。
治療後は、噛んだ時の痛みも完全に消失し、見た目にも天然歯と変わらない自然な仕上がりとなりました。金属を一切使用しないメタルフリー治療により、二次カリエスの再発リスクを抑え、長期的に安心してお使いいただける口腔環境が整いました。
セラミック治療の注意事項(リスク・副作用など)
- 天然歯を削ります
- 硬い素材は天然歯を傷つけてしまう場合があります
- かみ合わせや歯ぎしりが強すぎる方はセラミックが割れてしまう可能性があります
- 自費診療(保険適用外治療)となります
根管治療の注意事項(リスク・副作用など)
- 根管治療により類似の全ての症例の問題が解決するわけではなく、症例はあくまでも一例です
- 根管治療により痛みや腫れがひかない事や、術後に痛みや腫れが生じる事、治療によるファイル破折やパーフォレーションなどの偶発症、術後の歯根破折を生じる可能性もあります
- 自費診療(保険適用外)となります





