歯根破折した歯のインプラント治療
治療概要
- 患者様:40代女性
- 治療期間:3ヶ月
- 治療回数:5~10回
- 概算治療費:55万円
※費用は治療当時の料金となります - 担当医:河口智英
治療動機
左上の小臼歯が噛むと痛いと、ご来院されました。
治療計画
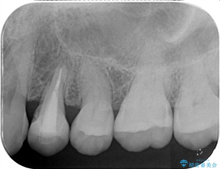
検査の結果、左下4番の歯周ポケットが非常に深くなっていました。これは、歯の根が割れている「歯根破折」の典型的なサインです。
患者様には、根の部分が割れている可能性を説明し、被せ物を外して内部を直接確認することとしました。
根が真っ二つに割れている「垂直性歯根破折」の場合、残念ながら歯を残すことが難しく、放置すると周囲の骨まで溶かしてしまいます。そのため、抜歯後の噛み合わせを回復する方法として、隣の歯を削らずに独立して噛めるインプラント治療をご提案しました。
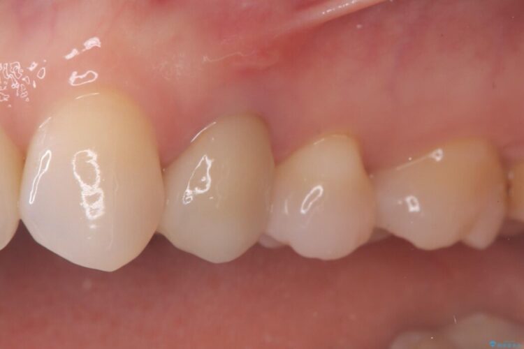
治療後について
被せ物を除去し、マイクロスコープにて内部を強拡大で確認したところ、歯の根の深い位置まで真っ直ぐにひびが入っていることを確認し、保存が不可能な状態であったため抜歯をすることとなりました。
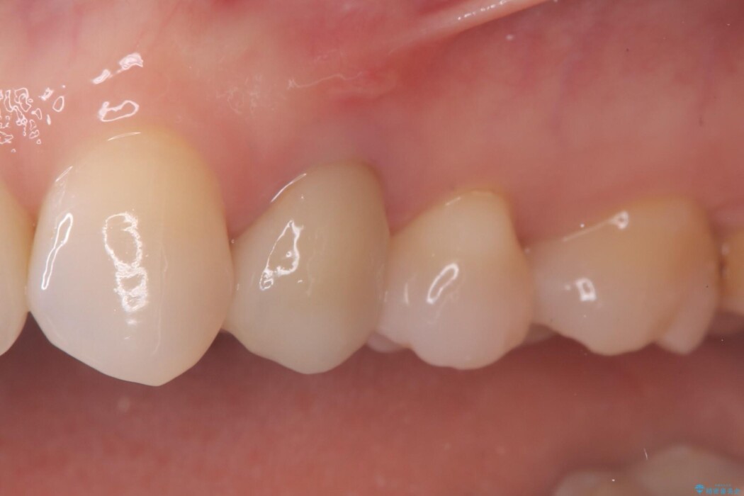
インプラント治療後は「長年悩まされた痛みから解放され、自分の歯と同じように食事ができるようになった」と喜んでいただけました。
セラミック治療の注意事項(リスク・副作用など)
- 天然歯を削ります
- 硬い素材は天然歯を傷つけてしまう場合があります
- かみ合わせや歯ぎしりが強すぎる方はセラミックが割れてしまう可能性があります
- 自費診療(保険適用外治療)となります
インプラント治療の注意事項(リスク・副作用など)
- 外科手術のため、術後に痛みや腫れ、違和感を伴います
- メンテナンスを怠ったり喫煙により、お口の中に大きな悪影響を及ぼすインプラント周囲炎等にかかる可能性があります
- 糖尿病、肝硬変、心臓病等の場合、インプラント治療ができない可能性があります
- 高血圧、貧血・不整脈等の場合、インプラント治療後に治癒不全を招く可能性があります
- 自費診療(保険適用外治療)となります







