気になる隙間を矯正治療とインプラント治療で改善
治療概要
- 患者様:30代女性
- 治療期間:1年
- 治療回数:5~10回
- 概算治療費:40万円(矯正費用は別途)
※費用は治療当時の料金となります - 担当医:河口智英
治療動機
欠損歯があり、隙間があることを主訴に来院されました。
治療計画
インプラント治療前に矯正治療(インビザライン)を行い、噛み合わせやスペースを整えた上でインプラントによる欠損補綴を行なうこととしました。
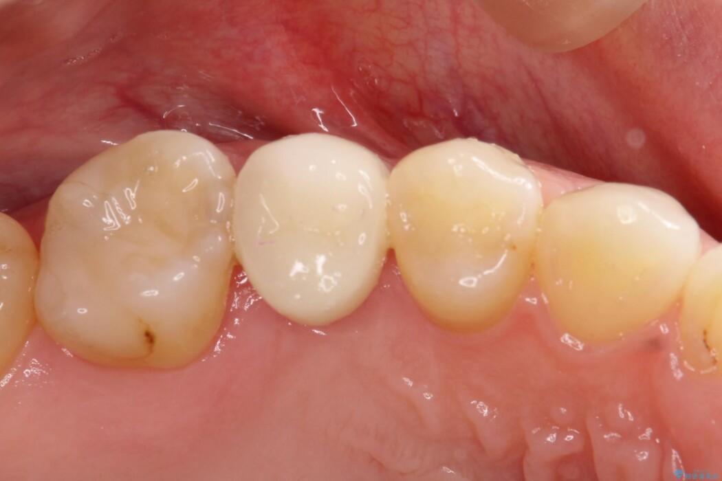
治療後について
術前に矯正治療を行うことで適正な位置でのインプラント治療が行えました。
インプラント治療の注意事項(リスク・副作用など)
- 外科手術のため、術後に痛みや腫れ、違和感を伴います
- メンテナンスを怠ったり喫煙により、お口の中に大きな悪影響を及ぼすインプラント周囲炎等にかかる可能性があります
- 糖尿病、肝硬変、心臓病等の場合、インプラント治療ができない可能性があります
- 高血圧、貧血・不整脈等の場合、インプラント治療後に治癒不全を招く可能性があります
- 自費診療(保険適用外治療)となります












