重度歯周病で失った2本の奥歯を1DAYインプラント治療
治療概要
- 患者様:70代女性
- 治療期間:6ヶ月
- 治療回数:5~10回
- 概算治療費:100万円
※費用は治療当時の料金となります - 担当医:河口智英
治療動機
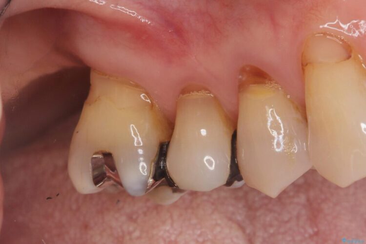
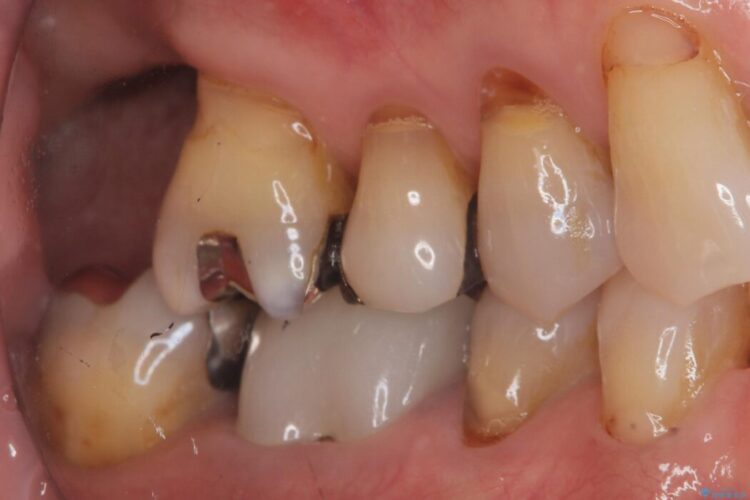
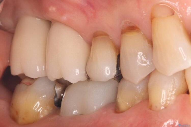
右上の奥歯(6番)が重度の歯周病により保存困難な状態であること、およびその後ろの7番もすでに失われていることを主訴にご来院されました。
治療計画
このままでは咬み合わせの機能が大きく低下してしまうため、抜歯後の早期回復と長期安定性を考慮し、インプラント治療を提案しました。
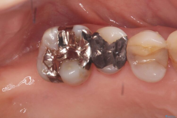
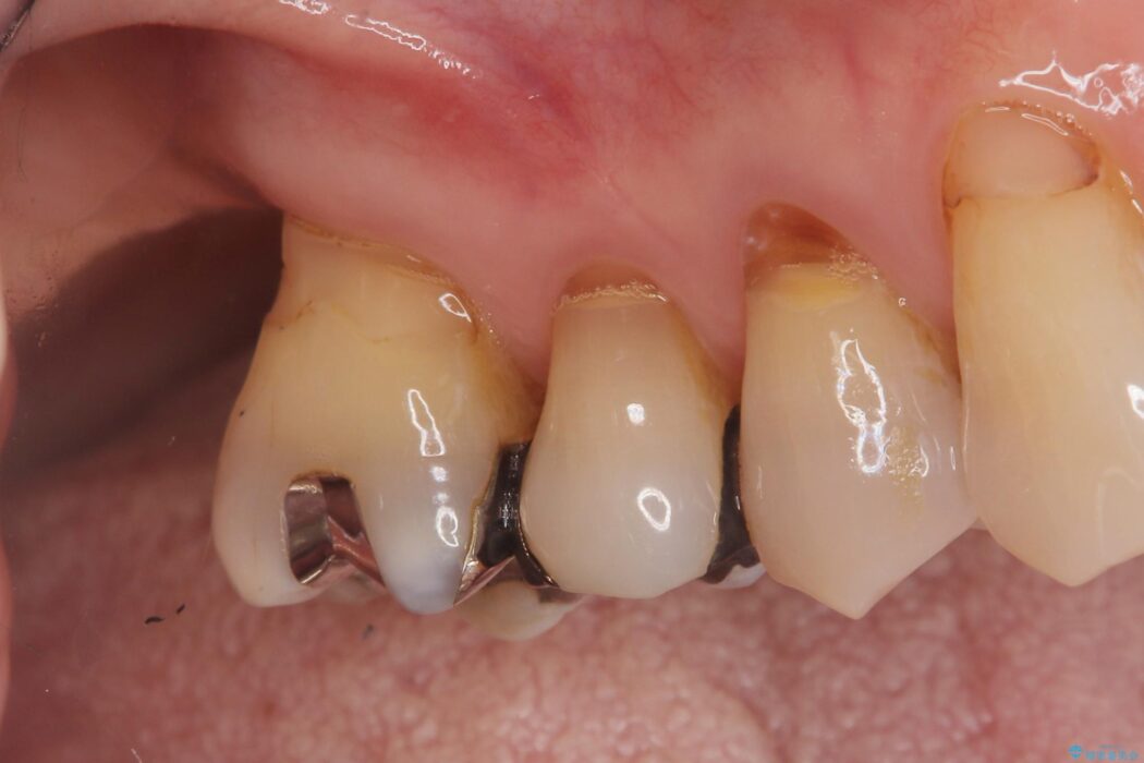
・6番を抜歯すると同時にインプラントを埋入する抜歯即時埋入
・失われた7番の部分にも同時にインプラントを埋入
2本同時のインプラント埋入により、治療期間を短縮し、奥歯全体の機能再建を目指しました。
治療後について
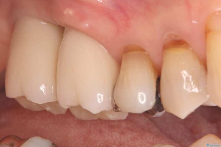
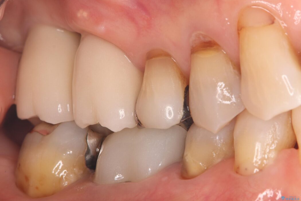
インプラントと骨がしっかりと結合するのを待ってから、最終的な被せ物(クラウン)を装着。これにより、重度歯周病で失われた2本の奥歯を、強固で安定したインプラントで再建。以前のような不安なく、しっかりと噛める快適な食生活を取り戻していただけました。
インプラント治療の注意事項(リスク・副作用など)
- 外科手術のため、術後に痛みや腫れ、違和感を伴います
- メンテナンスを怠ったり喫煙により、お口の中に大きな悪影響を及ぼすインプラント周囲炎等にかかる可能性があります
- 糖尿病、肝硬変、心臓病等の場合、インプラント治療ができない可能性があります
- 高血圧、貧血・不整脈等の場合、インプラント治療後に治癒不全を招く可能性があります
- 自費診療(保険適用外治療)となります






