矯正治療はしたくない!抜歯即時インプラント+オールセラミッククラウンで審美修復
治療概要
- 患者様:50代女性
- 治療期間:3ヶ月
- 治療回数:2~5回
- 概算治療費:110万円(インプラントの手術代+オールセラミッククラウン5年保証×3本+静脈内鎮静代全て込み)
※費用は治療当時の料金となります - 担当医:河野豊嘉
治療動機
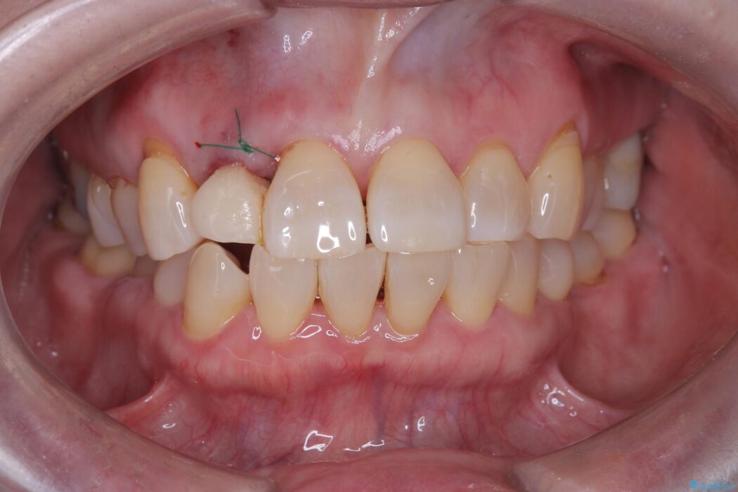
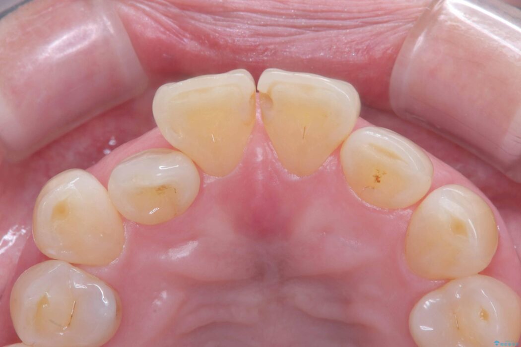
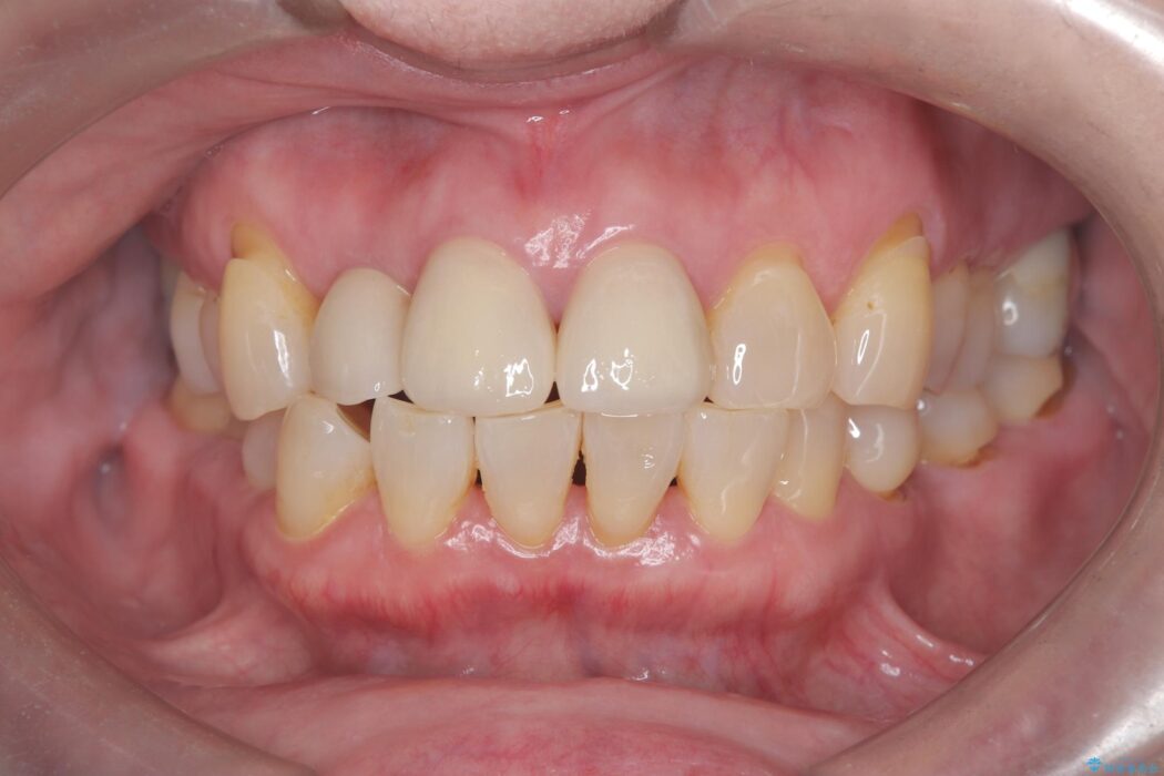
前歯の隙間や凹凸が舌で触れるたびに気になるという強いストレスを抱えてご来院されました。
治療計画
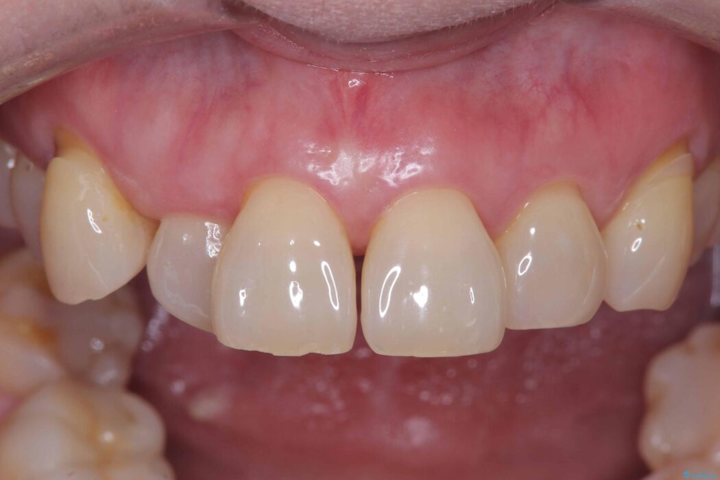
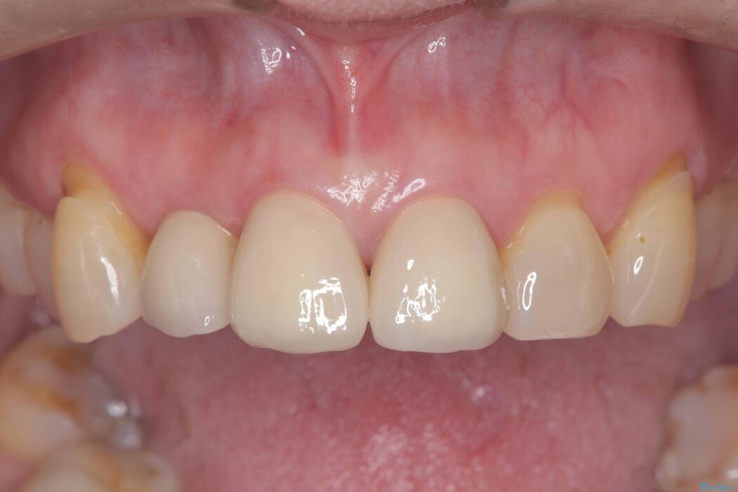
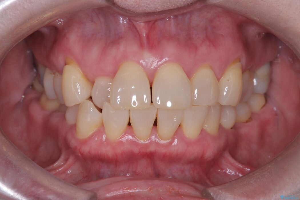
本来、噛み合わせの改善も含めて矯正が望ましいケースでしたが、『絶対に矯正をしたくない』というご希望を尊重し、今回はセラミッククラウンによる審美修復を選択しました。右上2番を抜歯してスペースを作り、その後の前歯2本をオールセラミックで美しく修復しました。
また、歯科治療への強い不安があったため、静脈内鎮静法を併用し、リラックスした状態で安全に治療を完了させました。
治療後について
本来であれば矯正治療が第一選択となりますが、患者様それぞれに治療への考え方や事情があり、その思いもさまざまです。当院では患者様の背景やご希望をしっかりと伺い、そのうえで最適な代替治療をご提案しています。
当院は総合歯科として、矯正・インプラント・審美・保存治療など幅広い治療選択肢を持ち、患者様一人ひとりに合った最善の治療を提供いたします。
インプラント治療の注意事項(リスク・副作用など)
- 外科手術のため、術後に痛みや腫れ、違和感を伴います
- メンテナンスを怠ったり喫煙により、お口の中に大きな悪影響を及ぼすインプラント周囲炎等にかかる可能性があります
- 糖尿病、肝硬変、心臓病等の場合、インプラント治療ができない可能性があります
- 高血圧、貧血・不整脈等の場合、インプラント治療後に治癒不全を招く可能性があります
- 自費診療(保険適用外治療)となります
セラミック治療の注意事項(リスク・副作用など)
- 天然歯を削ります
- 硬い素材は天然歯を傷つけてしまう場合があります
- かみ合わせや歯ぎしりが強すぎる方はセラミックが割れてしまう可能性があります
- 自費診療(保険適用外治療)となります









