メタルインレーの下で再発した虫歯をセラミックインレーで治療する
治療概要
- 患者様:20代女性
- 治療期間:1ヶ月
- 治療回数:2~5回
- 概算治療費:14万円
※費用は治療当時の料金となります - 担当医:河口智英
治療動機
定期検診にてご来院された患者様です。
治療計画
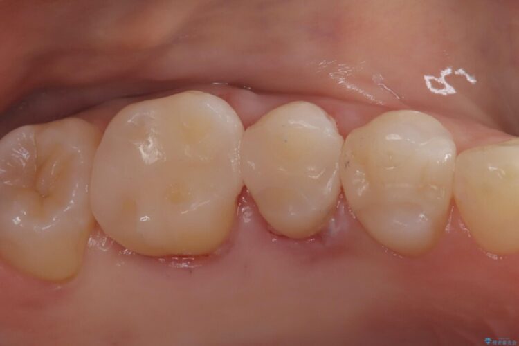
口腔内検査をしたところメタルインレーにて治療されていた歯の下に虫歯を認めましたので治療を行うこととしました
治療後について
メタルインレーは金属でできているため他の歯と比べて目立ってしまうこと、経年によって金属が溶け出し歯や歯茎が変色する可能性があること、などがデメリットとして挙げられます。
本症例ではメタルインレーの下に虫歯が再発していましたが、こういった例は少なくありません。
金属であるため適合が低く虫歯を除去した歯と詰め物の間に隙間が出来てしまい、歯垢などがたまることで二次虫歯になり易くなります。
セラミック治療の注意事項(リスク・副作用など)
- 天然歯を削ります
- 硬い素材は天然歯を傷つけてしまう場合があります
- かみ合わせや歯ぎしりが強すぎる方はセラミックが割れてしまう可能性があります
- 自費診療(保険適用外治療)となります





