2回の来院で完了!奥歯のセラミック修復
治療概要
- 患者様:20代女性
- 治療期間:1ヶ月
- 治療回数:2~5回
- 概算治療費:30万円
※費用は治療当時の料金となります - 担当医:河口智英
治療動機
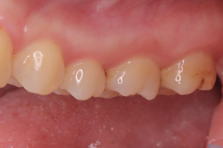
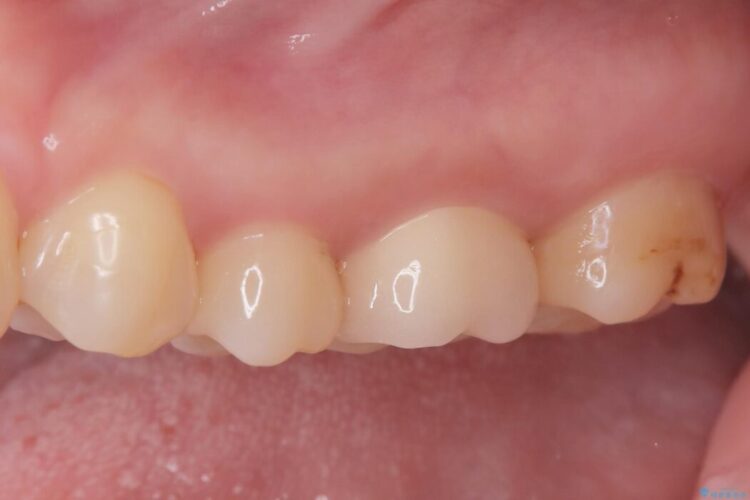
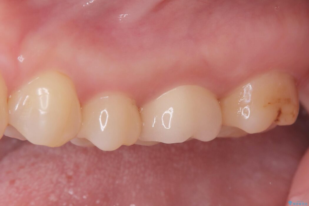
奥歯の虫歯治療を希望された患者様です。
治療計画
「できるだけ通院回数を少なく、早く治療を終わらせたい」というご要望がありました。
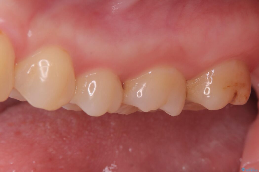
短期間での完了を目指し、セラミックインレーとセラミッククラウンを併用する治療計画を立案しました。
治療は精密機器を活用し、2回の来院で最終的なセラミック修復物を装着することを目指します。
治療後について
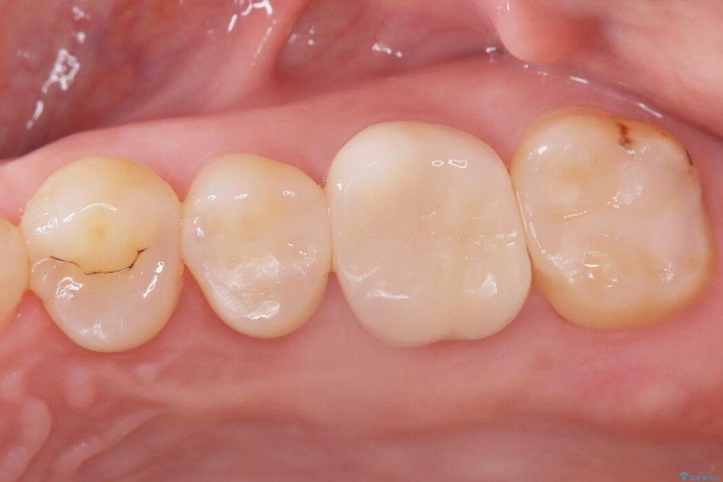
虫歯の進行度に応じて、インレーとクラウンを使い分けました。
歯を極力残しつつ、短期間で、天然歯と見分けがつかない審美性と長期的に安定する機能性を兼ね備えたセラミック修復を実現しました。
セラミック治療の注意事項(リスク・副作用など)
- 天然歯を削ります
- 硬い素材は天然歯を傷つけてしまう場合があります
- かみ合わせや歯ぎしりが強すぎる方はセラミックが割れてしまう可能性があります
- 自費診療(保険適用外治療)となります





