他院で治療した前歯の見た目と根の問題を解決
治療概要
- 患者様:20代女性
- 治療期間:2ヶ月
- 治療回数:2~5回
- 概算治療費:45万円
※費用は治療当時の料金となります - 担当医:河口智英
治療動機
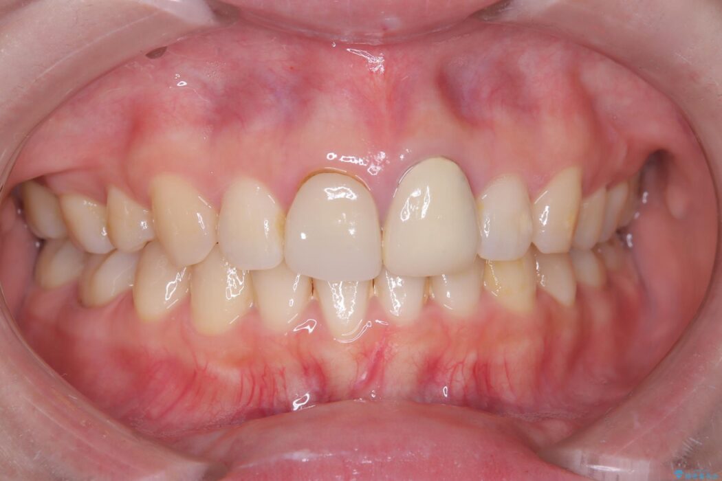
以前に他院で治療した前歯の見た目に不満があるとご来院された患者様です。
治療計画
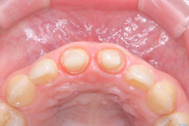
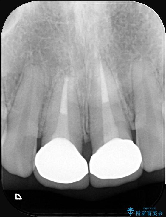
精密検査の結果、単に被せ物が合っていないだけでなく、その下の歯の根の治療(根管充填)が不十分で、再感染のリスクが高いことが分かりました。そのため、被せ物を新しくする前に、まず顕微鏡などを用いた精密根管治療を行いました。その上で、最も見た目が自然なオールセラミッククラウンで修復する計画です。これにより見た目の改善と歯の寿命の長期化を目指しました。
治療後について
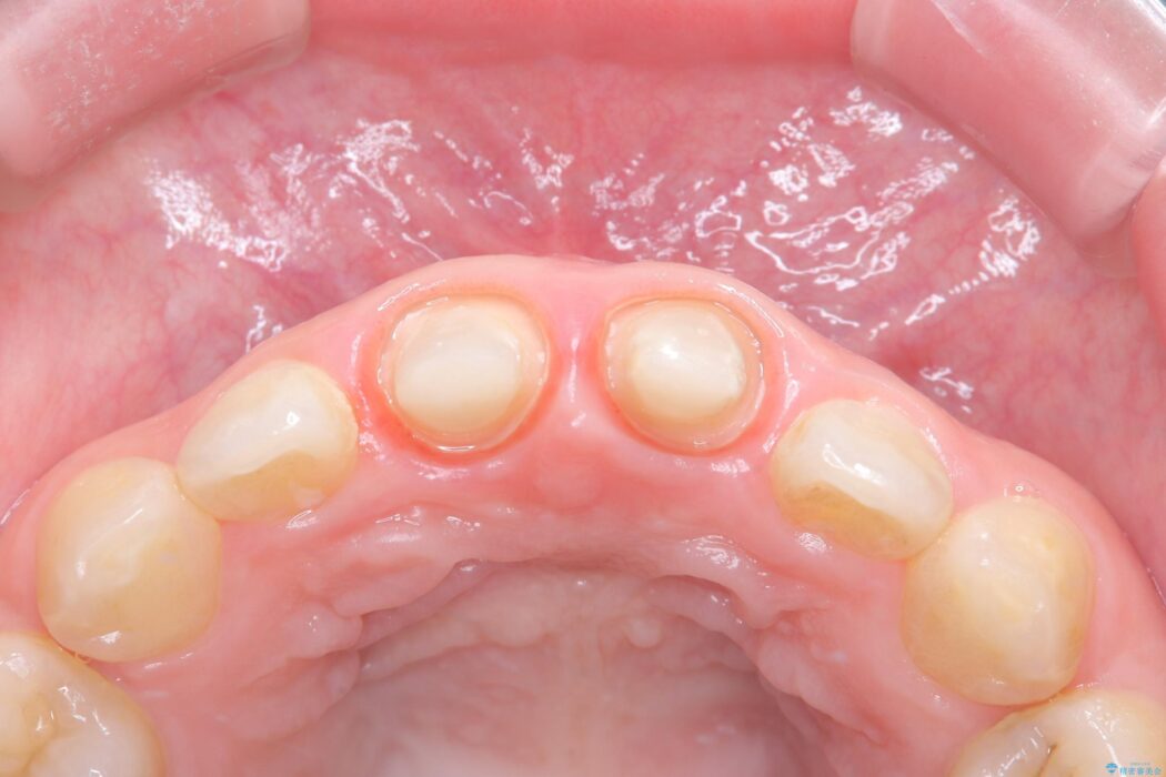
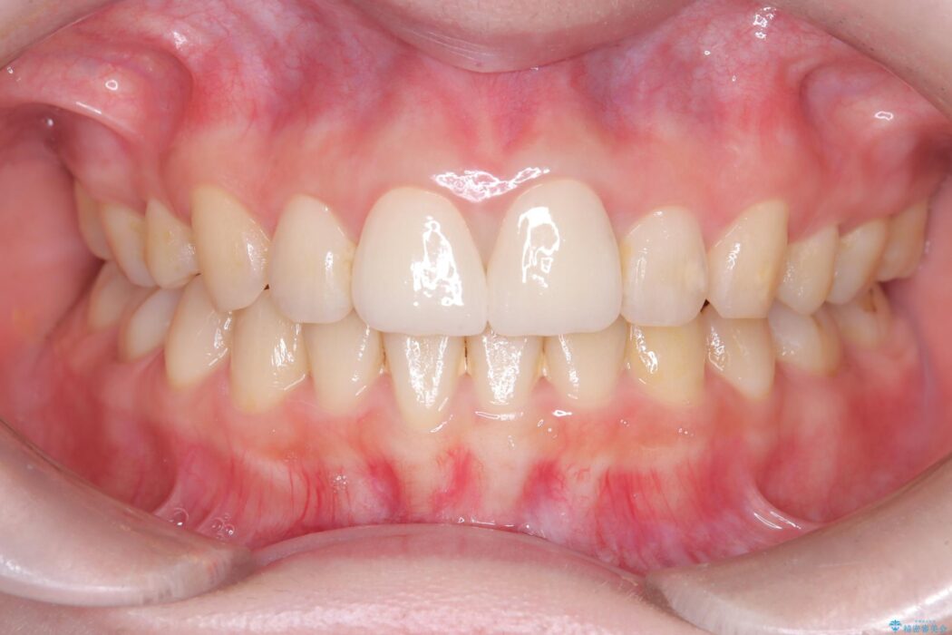
治療は、再感染の原因となっていた粗な根管充填材を丁寧に取り除く精密根管治療から開始しました。治療中はラバーダムと歯科用顕微鏡を使用し、根管内を徹底的に清掃・消毒。根の先まで緊密に薬を詰めることで、再発リスクを最小限に抑えました。根管治療の完了後、歯ぐきの状態を整え、周囲の歯と調和するオールセラミッククラウンを作製。金属を一切使わないため、透明感のある自然な仕上がりとなり、長年の見た目のコンプレックスも解消。歯の内部から表面までを根本的に改善することができました。
セラミック治療の注意事項(リスク・副作用など)
- 天然歯を削ります
- 硬い素材は天然歯を傷つけてしまう場合があります
- かみ合わせや歯ぎしりが強すぎる方はセラミックが割れてしまう可能性があります
- 自費診療(保険適用外治療)となります





