他院で治療困難と言われた|欠けた歯の神経を残しセラミック修復
治療概要
- 患者様:20代男性
- 治療期間: 1ヶ月
- 治療回数:2~5回
- 概算治療費:20.9万円(VPT歯髄保存療法44,000円+仮歯11,000円+オールセラミッククランスペシャル154,000円)
※費用は治療当時の料金となります - 担当医:河野豊嘉
治療動機
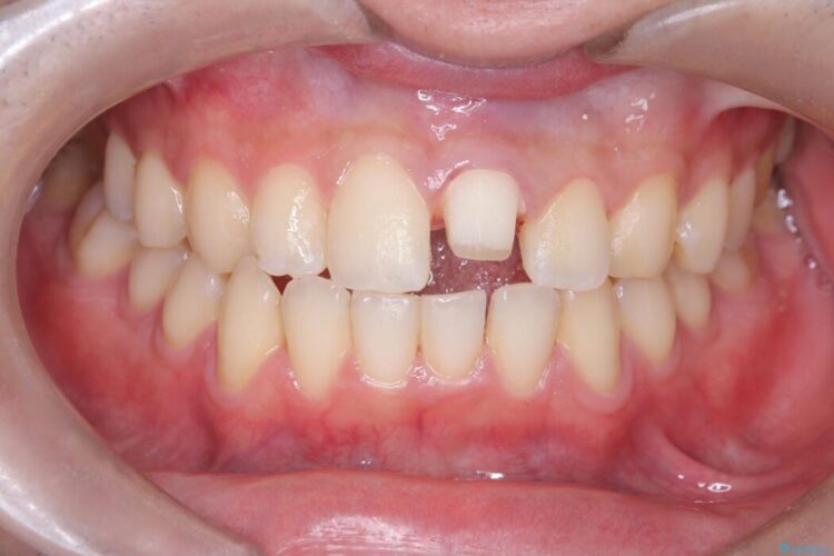
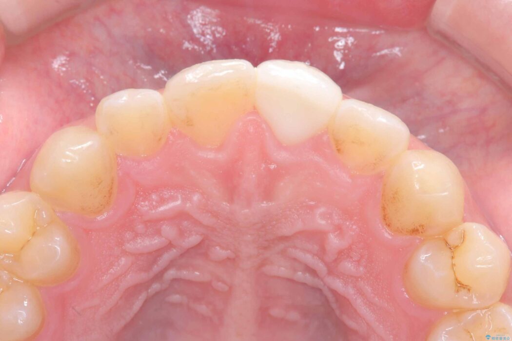
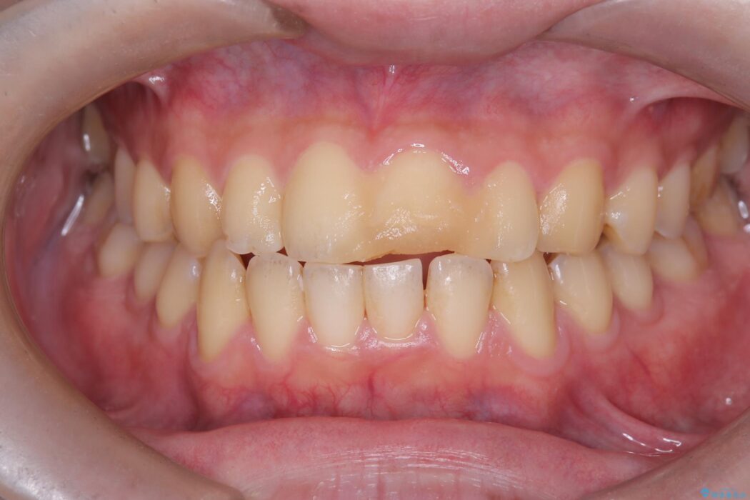
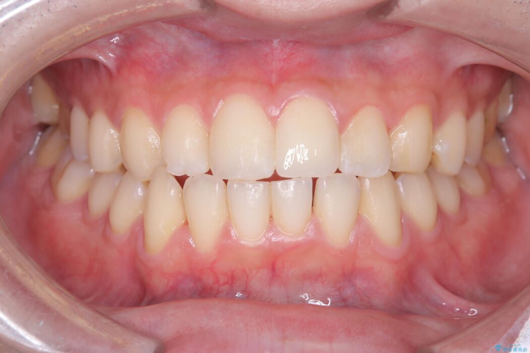
サーフィンで前歯をぶつけて歯が欠けてしまった患者様です。 かかりつけ医で治療困難と診断され、当院へご来院されました。
治療計画
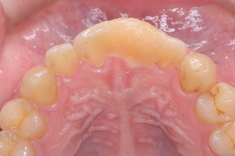
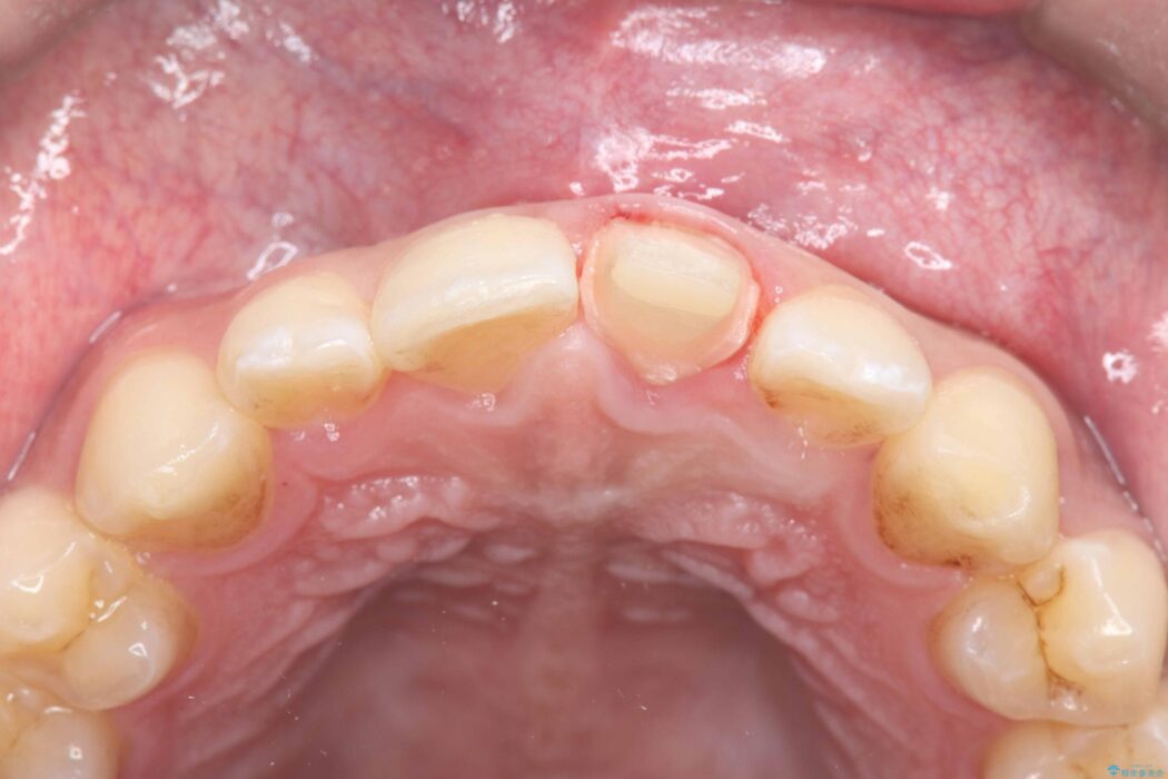
歯冠破折により点状露髄を認めました。破折から1週間以内であったこと、また歯髄診断により生活反応が良好で保存可能と判断したため、VPT(生活歯髄療法)を行い神経の保存を試みました。
治療後について
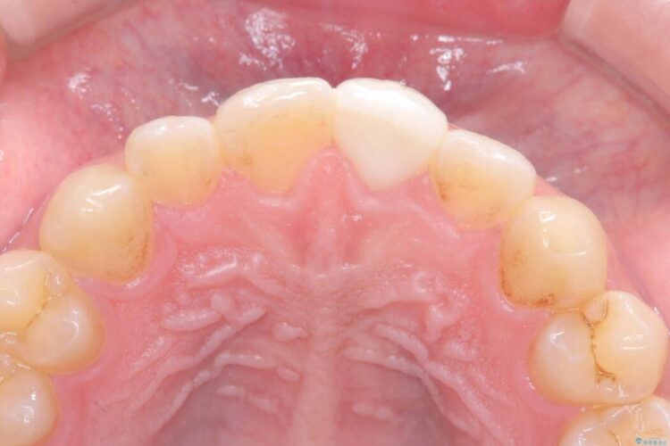
まず、歯の神経(歯髄)が健康な状態であることを慎重に確認した上で、オールセラミッククラウンによる審美修復に進みました。さらに、事前にオフィスホワイトニングを実施したことで、クラウンが周囲の歯と完璧に調和し、より明るく自然な口元を実現しました。特に他院で治療が難しいと診断された患者様でしたが、大切な神経を残したまま理想的な仕上がりが得られ、大変お喜びいただけました。
セラミック治療の注意事項(リスク・副作用など)
- 天然歯を削ります
- 硬い素材は天然歯を傷つけてしまう場合があります
- かみ合わせや歯ぎしりが強すぎる方はセラミックが割れてしまう可能性があります
- 自費診療(保険適用外治療)となります
根管治療の注意事項(リスク・副作用など)
- 根管治療により類似の全ての症例の問題が解決するわけではなく、症例はあくまでも一例です
- 根管治療により痛みや腫れがひかない事や、術後に痛みや腫れが生じる事、治療によるファイル破折やパーフォレーションなどの偶発症、術後の歯根破折を生じる可能性もあります
- 自費診療(保険適用外)となります






