【セラミック治療】他院で治療している歯の痛みが治らない
治療概要
- 患者様:60代男性
- 治療期間:2ヶ月
- 治療回数:2~5回
- 概算治療費:11万円 ※根管治療の費用は別
※費用は治療当時の料金となります - 担当医:河野豊嘉
治療動機
他院で治療した虫歯に痛みがあり、また別の医院で治療してもらったが痛みが取れず当院へ来院された患者様です。
治療計画
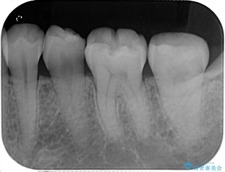
1つ目の医院にて詰め物による虫歯治療をしたところ、その後治療したはずの歯より痛みが発生。
2つ目の医院へ受診し検査してもらったところ、歯の根に膿があると診断され根管治療を2度ほど受けたが毎回の施術が15分程度であり、痛みが改善されず不安に感じ当院へ、ということでした。
検査をしたところ治療が必要と判断しましたので、症状改善のため根管治療をしてセラミッククラウンで修復治療を行うこととしました。
治療後について
根管治療を行った後はクラウンを被せます。審美性に加えて、根管治療を行うことにより自然な歯と比べて耐久性が落ちるためクラウンを被せることにより補強をします。
治療後、痛みが消失したとのことでとてもご満足いただけました。
セラミック治療の注意事項(リスク・副作用など)
- 天然歯を削ります
- 硬い素材は天然歯を傷つけてしまう場合があります
- かみ合わせや歯ぎしりが強すぎる方はセラミックが割れてしまう可能性があります
- 自費診療(保険適用外治療)となります
根管治療の注意事項(リスク・副作用など)
- 根管治療により類似の全ての症例の問題が解決するわけではなく、症例はあくまでも一例です
- 根管治療により痛みや腫れがひかない事や、術後に痛みや腫れが生じる事、治療によるファイル破折やパーフォレーションなどの偶発症、術後の歯根破折を生じる可能性もあります
- 自費診療(保険適用外)となります












