定期検診にて虫歯を発見しセラミックで治療
治療概要
- 患者様:20代女性
- 治療期間:1ヶ月
- 治療回数:2~5回
- 概算治療費:21万円
※費用は治療当時の料金となります - 担当医:河口智英
治療動機
定期健診にて来院された方です。
治療計画
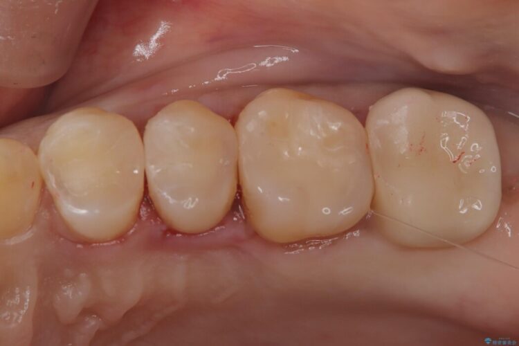
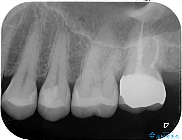
メタルインレーの下と他2歯に虫歯を認めたため治療をすることとしました。
また今後の手入れなどを考慮し、虫歯が再発しにくい素材であるセラミックを選択しました。
治療後について
セラミックは劣化しにくくつるつるとした表面に歯垢が付着しづらいため虫歯の再発を減らすことができます。
虫歯は早期発見、早期治療が重要です。
初期虫歯であれば時間もかからず修復が出来ますので、定期的な検診を受けられることをおすすめいたします。
セラミック治療の注意事項(リスク・副作用など)
- 天然歯を削ります
- 硬い素材は天然歯を傷つけてしまう場合があります
- かみ合わせや歯ぎしりが強すぎる方はセラミックが割れてしまう可能性があります
- 自費診療(保険適用外治療)となります










