歯茎との境目が黒くなってきた差し歯のオールセラミック治療
治療概要
- 患者様:50代女性
- 治療期間:3ヶ月
- 治療回数:2~5回
- 概算治療費:約100万円
※費用は治療当時の料金となります - 担当医:河口智英
治療動機
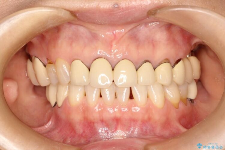
10年以上前に被せた差し歯(前歯)の根元が黒くなってきたことが気になり、やり直しの希望でご来院されました。
治療計画
レントゲンからも分かるように、適合の良くない差し歯が装着されていました。
また、根の治療も不十分な歯もあった為、根管治療後、ファイバーコアを立て、オールセラミッククラウンを装着する計画にしました。
治療後について
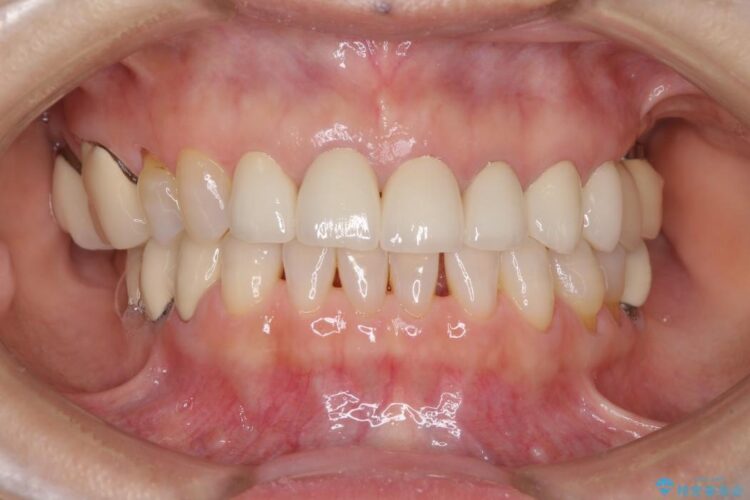
金属を使用しないオールセラミッククラウンを装着したことで、他の歯とも馴染み、自然な見た目になりました。
歯周病等の歯茎の問題がなかったことで比較的早く治療が終わり、患者様には大変ご満足していただくことができました。
オールセラミック治療について
審美歯科治療とは、美容歯科とは違い、歯や歯茎の機能や噛み合わせを改善させ、その機能性を保ちつつ外見の美しさも向上させます。
セラミック治療の注意事項(リスク・副作用など)
- 天然歯を削ります
- 硬い素材は天然歯を傷つけてしまう場合があります
- かみ合わせや歯ぎしりが強すぎる方はセラミックが割れてしまう可能性があります
- 自費診療(保険適用外治療)となります















