欠けた奥歯をPGAで補強。違和感のない咬み心地へ
治療概要
- 患者様:50代男性
- 治療期間: 2ヶ月
- 治療回数:2~5回
- 概算治療費:20万円
※費用は治療当時の料金となります - 担当医:河口智英
治療動機
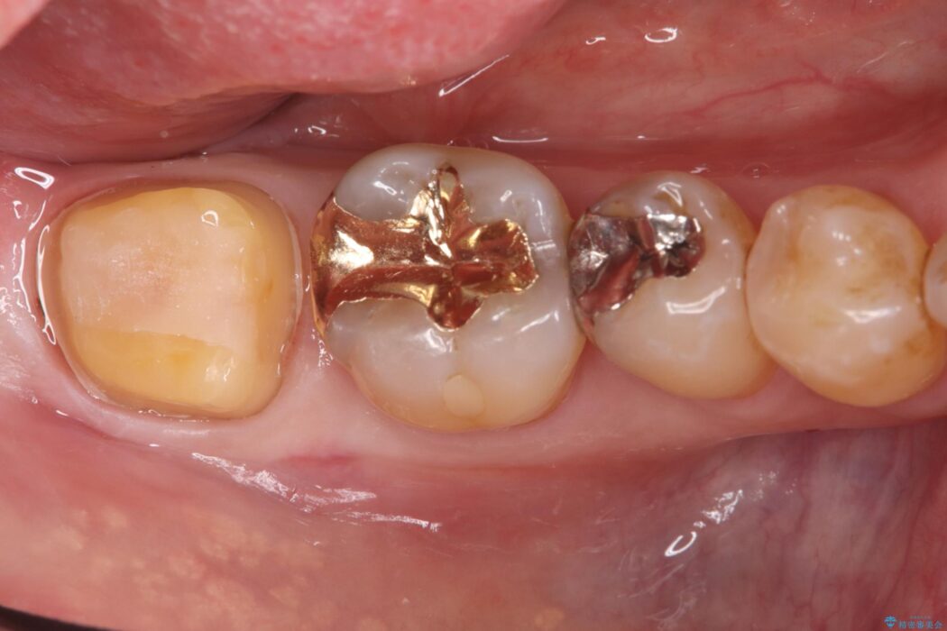
以前治療した奥歯(右下7番)の詰め物が欠けてしまったとご来院された患者様です。
治療計画
検査の結果、残存歯質が少なく破折リスクが高いため、歯全体の補強が必要と診断しました。強い咬合力に耐えられるよう、適合性と強度に優れたPGAクラウンによる修復を計画しました。これにより、二次カリエス(虫歯の再発)や破折を防ぎ、奥歯の機能を長期的に安定させます。
治療後について
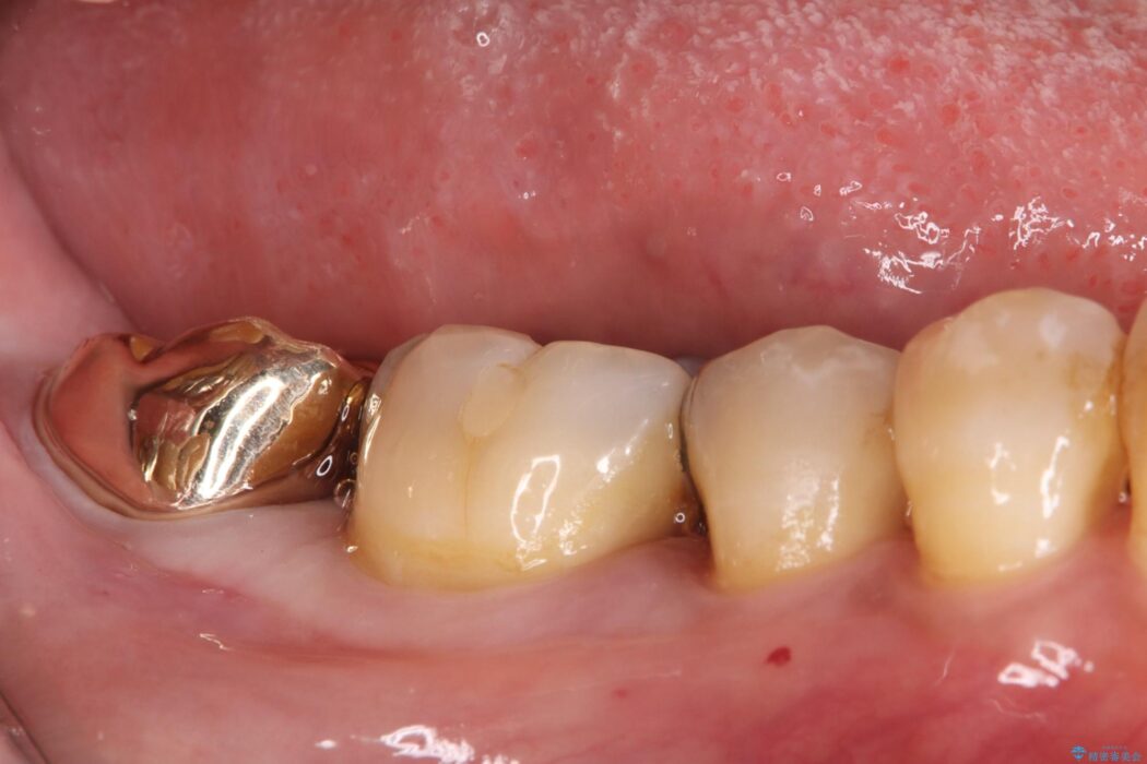
欠けた奥歯を土台から整え、金主成分の「PGAクラウン」で修復しました。PGAクラウンは、金を主成分とする合金でできており、非常に優れた特性を持っています。
欠けてしまった歯の構造的な弱点が解消され、患者様は硬いものでもしっかりと噛める、安心で機能的な奥歯を取り戻すことができました。
PGA(ゴールド)クラウン、インレーの注意事項(リスク・副作用など)
- インレーおよびクラウンは脱離するリスクがあります
- 形成量はセラミックより少ないですが、歯の形成、修復後に歯に症状が出ることがあります
- 自費診療(保険適用外治療)となります





