欠けて変色した前歯をオールセラミックで美しく
治療概要
- 患者様:30代女性
- 治療期間:2ヶ月
- 治療回数:2~5回
- 概算治療費:84万円
※費用は治療当時の料金となります - 担当医:河口智英
治療動機
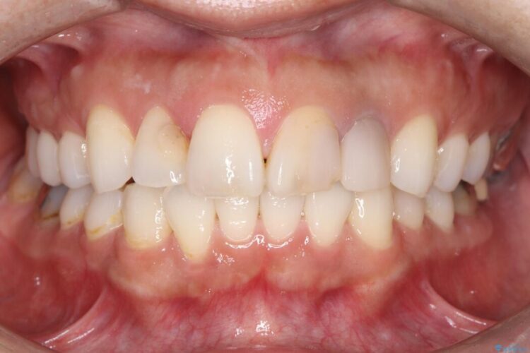
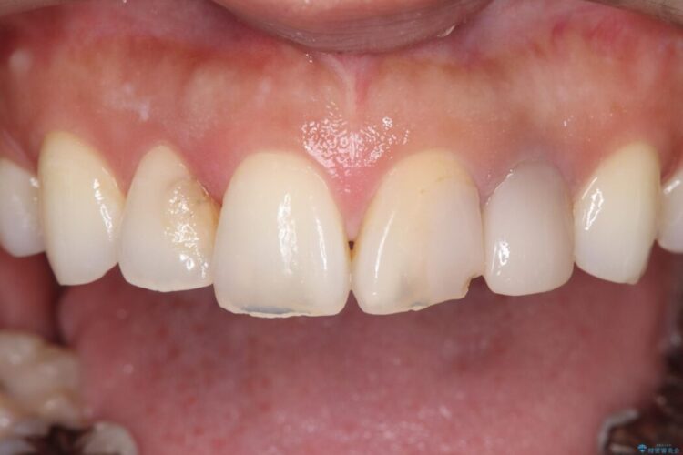
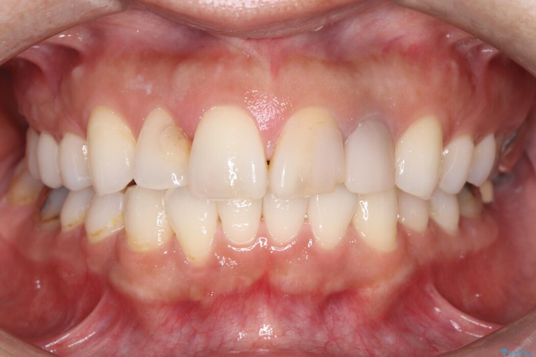
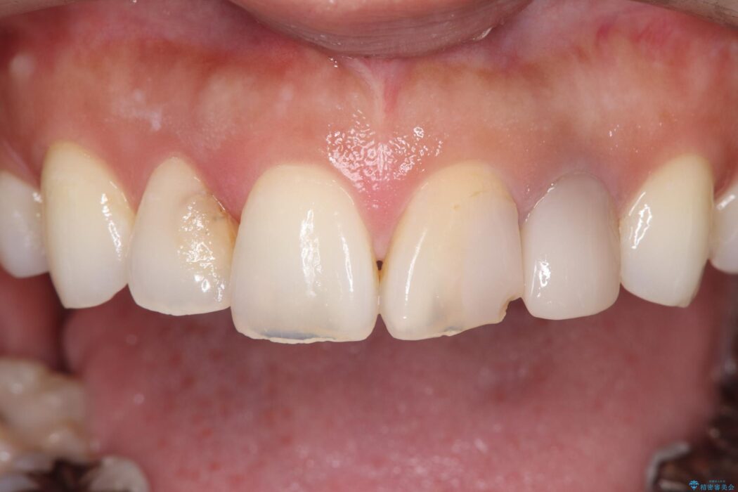
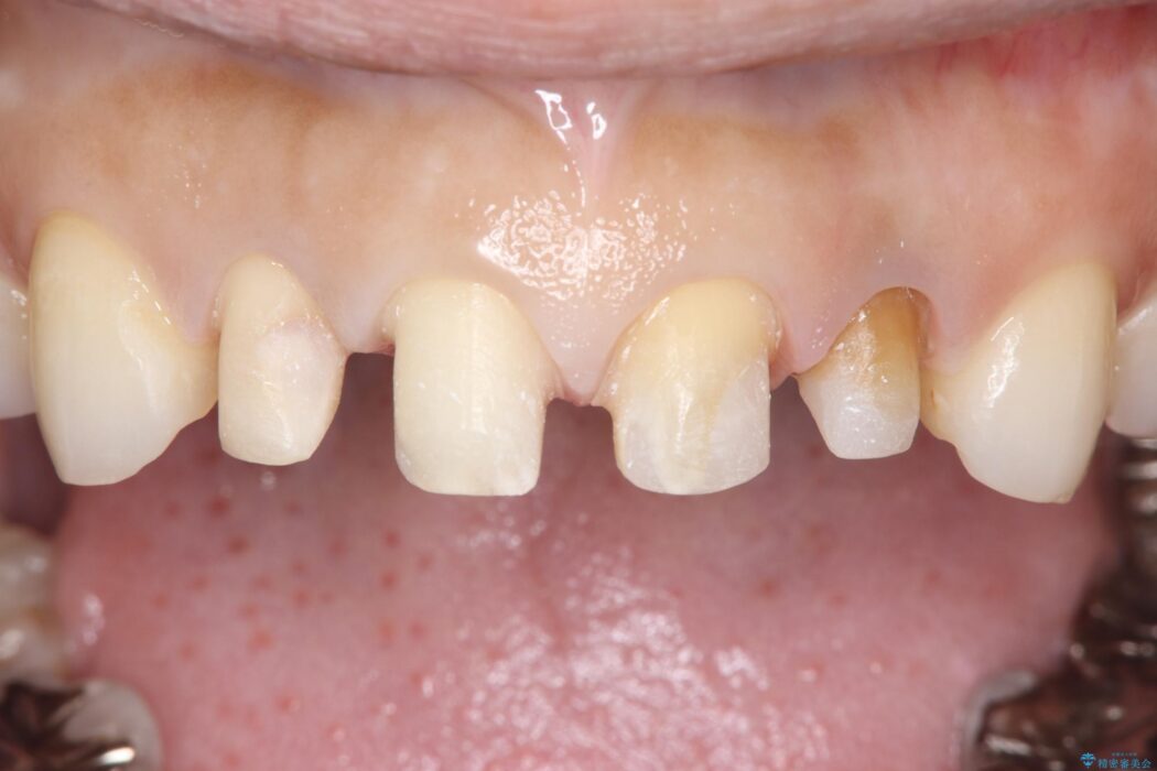
上の前歯4本が、過去の治療による変色や欠けで見た目が気になるとご来院されました。
治療計画
思い切り笑えるよう自然で美しい前歯を希望されていました。
そこで、最も天然歯に近い審美性を再現できるオールセラミッククラウンを用いた治療計画を立案しました。歯並びや色のバランスを整え、長期的に安定する美しい口元を獲得することを目指します。
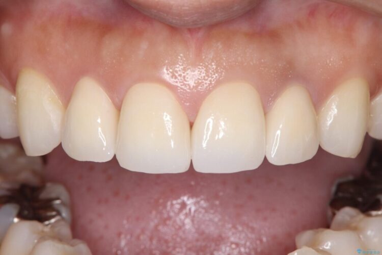
治療後について
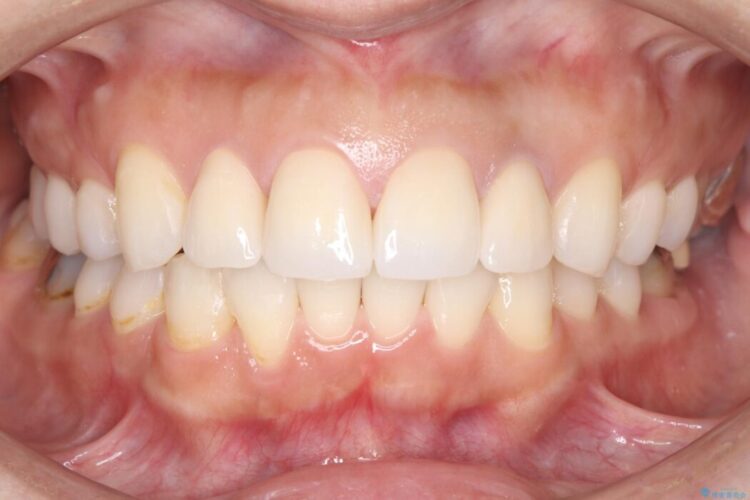
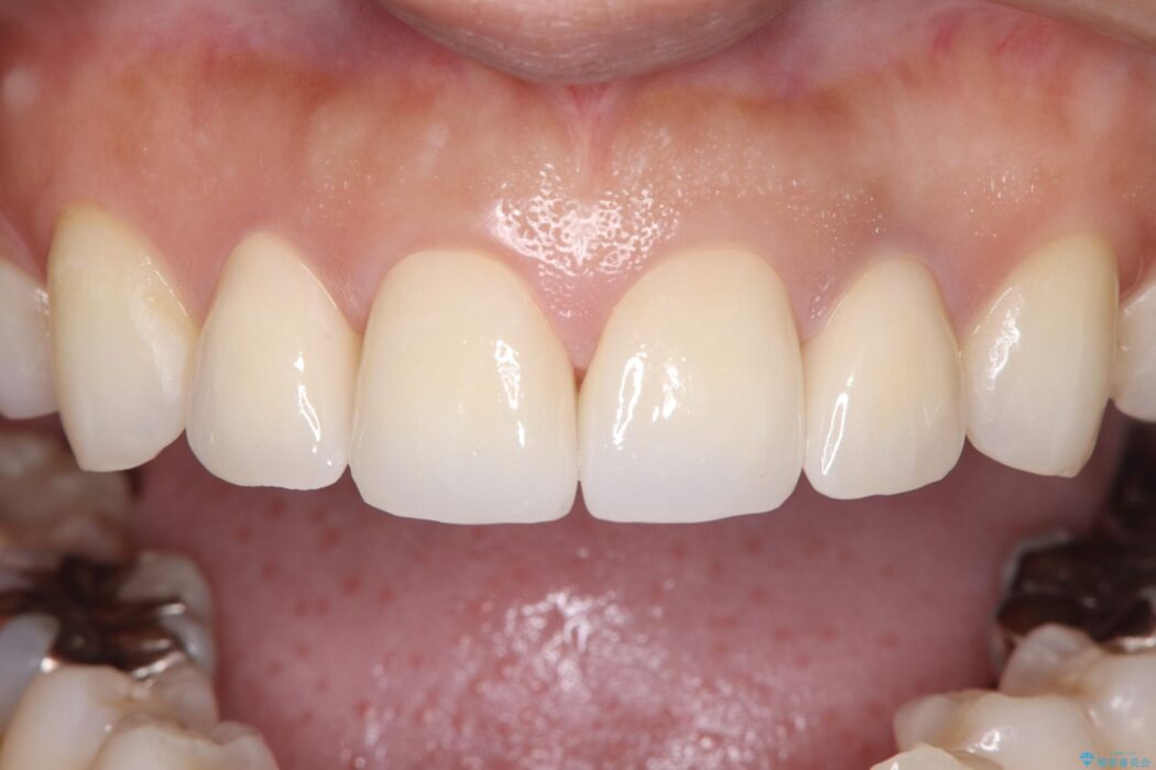
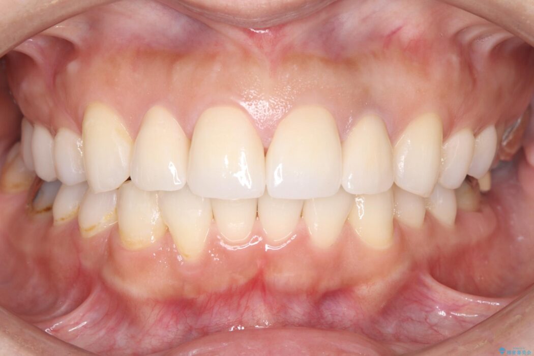
治療はまず、審美性を最大限に高めるために、歯肉のラインや前歯の形を整えることから始めました。その後、4本の歯を丁寧に形成し、金属を一切使用しないオールセラミッククラウンを作製しました。
緻密な色合わせと形態調整を重ねた結果、長年のコンプレックスであった前歯の欠けや変色が解消。機能性と審美性が完璧に調和した、自信を持って笑える美しい口元を実現することができました。
セラミック治療の注意事項(リスク・副作用など)
- 天然歯を削ります
- 硬い素材は天然歯を傷つけてしまう場合があります
- かみ合わせや歯ぎしりが強すぎる方はセラミックが割れてしまう可能性があります
- 自費診療(保険適用外治療)となります





