奥歯の銀歯を白い歯に!歯の破折を防ぐセラミッククラウン
治療概要
- 患者様:50代男性
- 治療期間:1ヶ月
- 治療回数:2~5回
- 概算治療費:15万円
※費用は治療当時の料金となります - 担当医:河口智英
治療動機
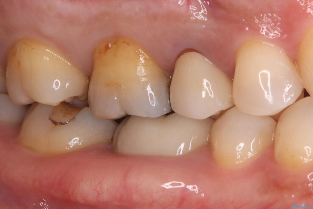
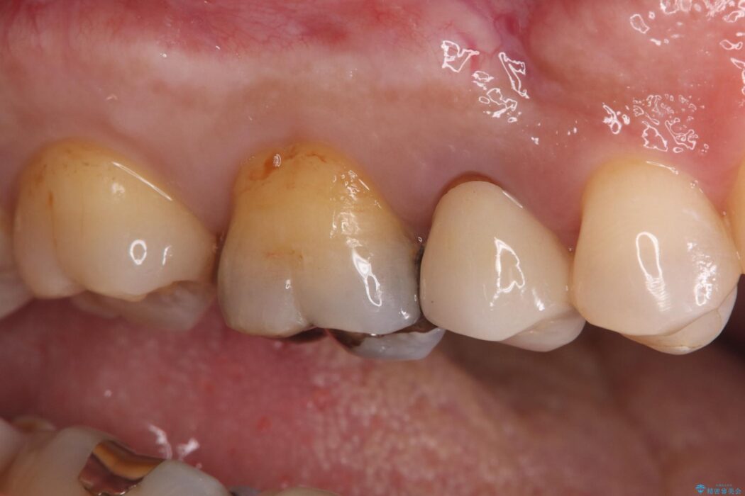
長く使用してきた奥歯の銀歯をやり替えたいとご来院されました。
治療計画
検査の結果、銀歯の下の歯質が薄くなっており、このままだと割れてしまう(破折)リスクが高い状態でした。
歯を長く守るため、セラミッククラウンでしっかりと補強し、強度と自然な見た目を両立させる治療をご提案しました。
治療後について
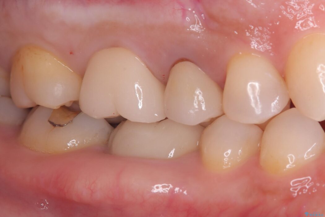
まず、古い銀歯を丁寧に外し、内部に虫歯がないか確認しました。
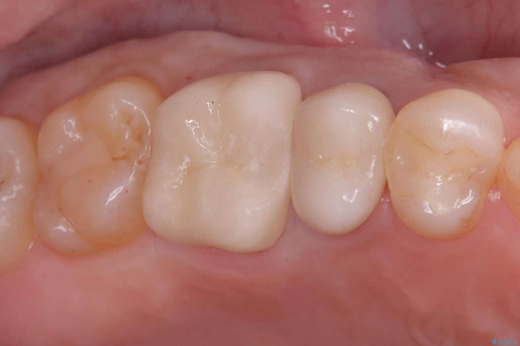
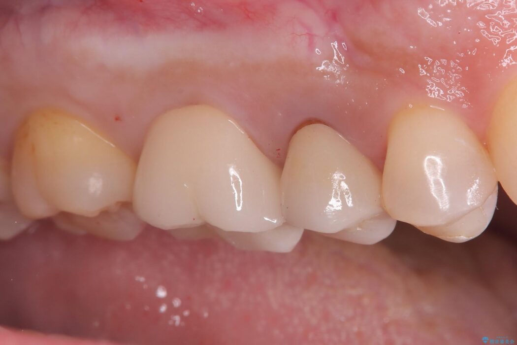
その後、残りの歯を保護して強度を上げるため、適合性が高いオールセラミッククラウンの作成・装着を行いました。
セラミッククラウンは、
強度: 歯全体を覆うため、咬合力による歯への負担を分散させ、破折リスクを大幅に軽減します。
審美性: 天然歯に近い透明感と色調を持つため、銀歯の時と比べて格段に自然で美しい見た目になります。
セラミック治療の注意事項(リスク・副作用など)
- 天然歯を削ります
- 硬い素材は天然歯を傷つけてしまう場合があります
- かみ合わせや歯ぎしりが強すぎる方はセラミックが割れてしまう可能性があります
- 自費診療(保険適用外治療)となります








