破折したセラミックインレーのやり替え
治療概要
- 患者様:50代女性
- 治療期間:1ヶ月
- 治療回数:2~5回
- 概算治療費:15.4万円(税込)(オールセラミッククラウン14.3万円+仮歯1.1万円)
※費用は治療当時の料金となります - 担当医:河野豊嘉
治療動機
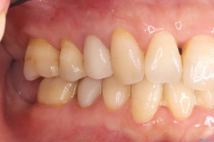
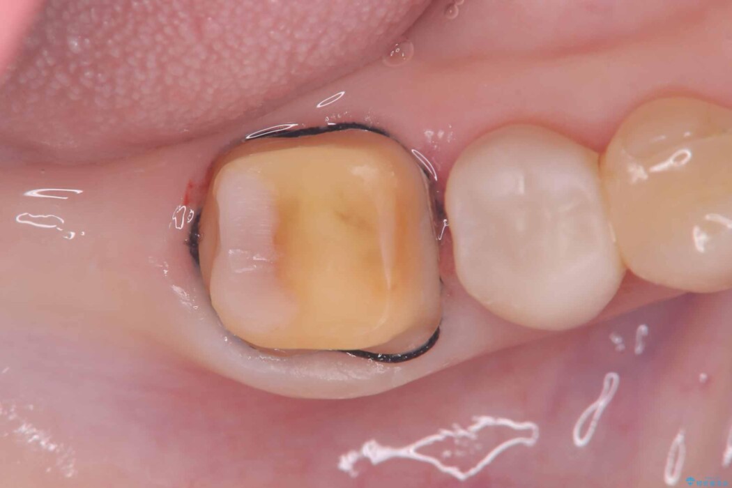
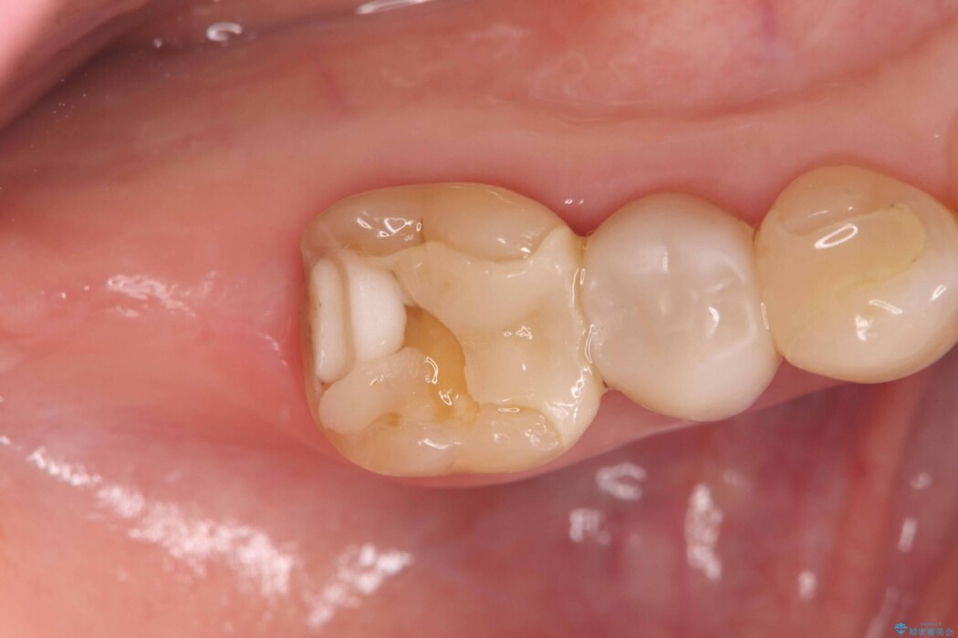
他院で装着されたセラミックインレー(MOD窩洞)が破折したとご来院されました。
治療計画
MOD窩洞のように欠損範囲が大きい場合、インレーでは咬合力に対する耐久性が不足し、破折リスクが高くなるケースがあります。
再治療にあたり、再度インレーで修復する方法と、歯全体を覆うクラウンによる修復の選択肢をご説明しました。
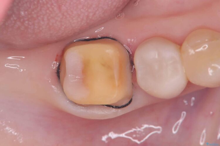
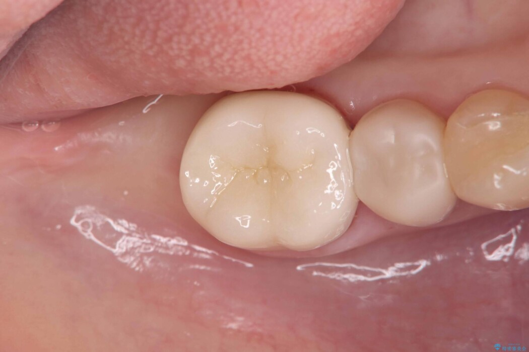
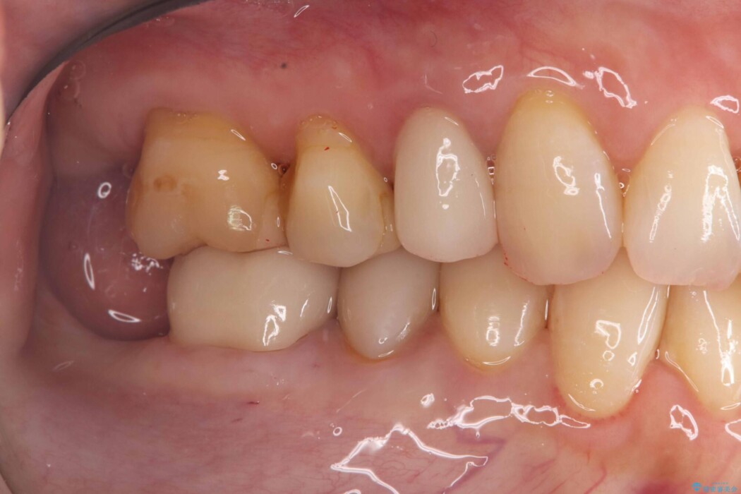
破折の再発防止および歯質保護を最優先に考え、オールセラミッククラウンによる治療を計画しました。
治療後について
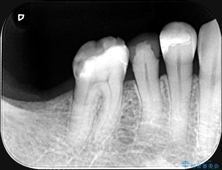
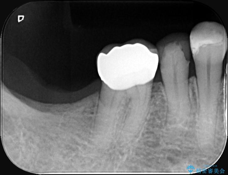
歯の中央から両側にかけて大きく削られている(MOD窩洞)状態でした。
噛む力がかかることで、インレーでは負担に耐えきれず破折してしまったと考えられます。
このようなケースでは、部分的に詰める治療よりも歯全体を覆うクラウンの方が強度的に有利です。
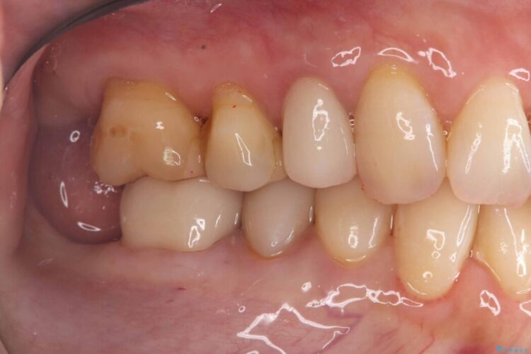
そのため今回は、歯をしっかり保護し、長期的な安定を図るために、オールセラミッククラウンによる修復を行いました。
クラウンにすることで、噛む力を分散しながら歯を保護できるため、再び割れてしまうリスクを大きく下げることが可能です。
セラミック治療の注意事項(リスク・副作用など)
- 天然歯を削ります
- 硬い素材は天然歯を傷つけてしまう場合があります
- かみ合わせや歯ぎしりが強すぎる方はセラミックが割れてしまう可能性があります
- 自費診療(保険適用外治療)となります







