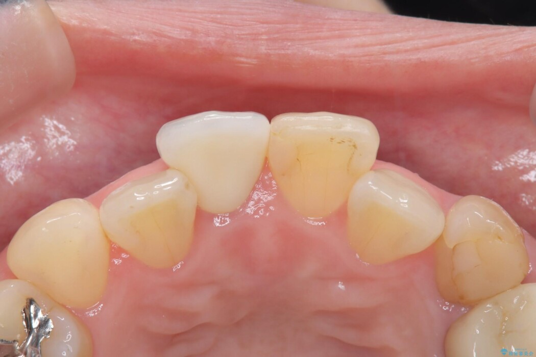
変色した前歯をオールセラミックで自然な白さに
治療概要
- 患者様:40代女性
- 治療期間:1ヶ月
- 治療回数:2~5回
- 概算治療費:23万円
※費用は治療当時の料金となります - 担当医:河口智英
治療動機
前歯が変色してきたため改善したいとのことで来院されました。
治療計画
根管治療をし、被せものまでの治療を行っています。
今回のケースではオールセラミッククラウンを装着しました。
治療後について
治療後の周りの歯との馴染みにとてもご満足いただけました。
オールセラミックは100%セラミックで出来たものです。天然の歯のような色調と透明感を持ち見分けがつかないほど審美性が高く、加えて汚れが付きにくい特徴があります。
本症例では該当の箇所が上顎前歯の最もよく露出する部分であったため、審美性を求めてセラミックの選択をされました。
セラミック治療の注意事項(リスク・副作用など)
- 天然歯を削ります
- 硬い素材は天然歯を傷つけてしまう場合があります
- かみ合わせや歯ぎしりが強すぎる方はセラミックが割れてしまう可能性があります
- 自費診療(保険適用外治療)となります
根管治療の注意事項(リスク・副作用など)
- 根管治療により類似の全ての症例の問題が解決するわけではなく、症例はあくまでも一例です
- 根管治療により痛みや腫れがひかない事や、術後に痛みや腫れが生じる事、治療によるファイル破折やパーフォレーションなどの偶発症、術後の歯根破折を生じる可能性もあります
- 自費診療(保険適用外)となります










