矯正治療中のエアフロークリーニング
治療概要
- 患者様:30代女性
- 治療期間:1日
- 治療回数:1回
- 概算治療費:7700円と保険治療費
※費用は治療当時の料金となります - 担当医:歯科衛生士
治療動機
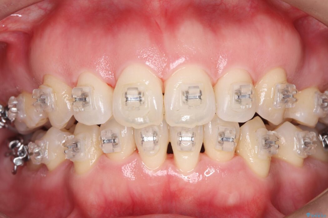
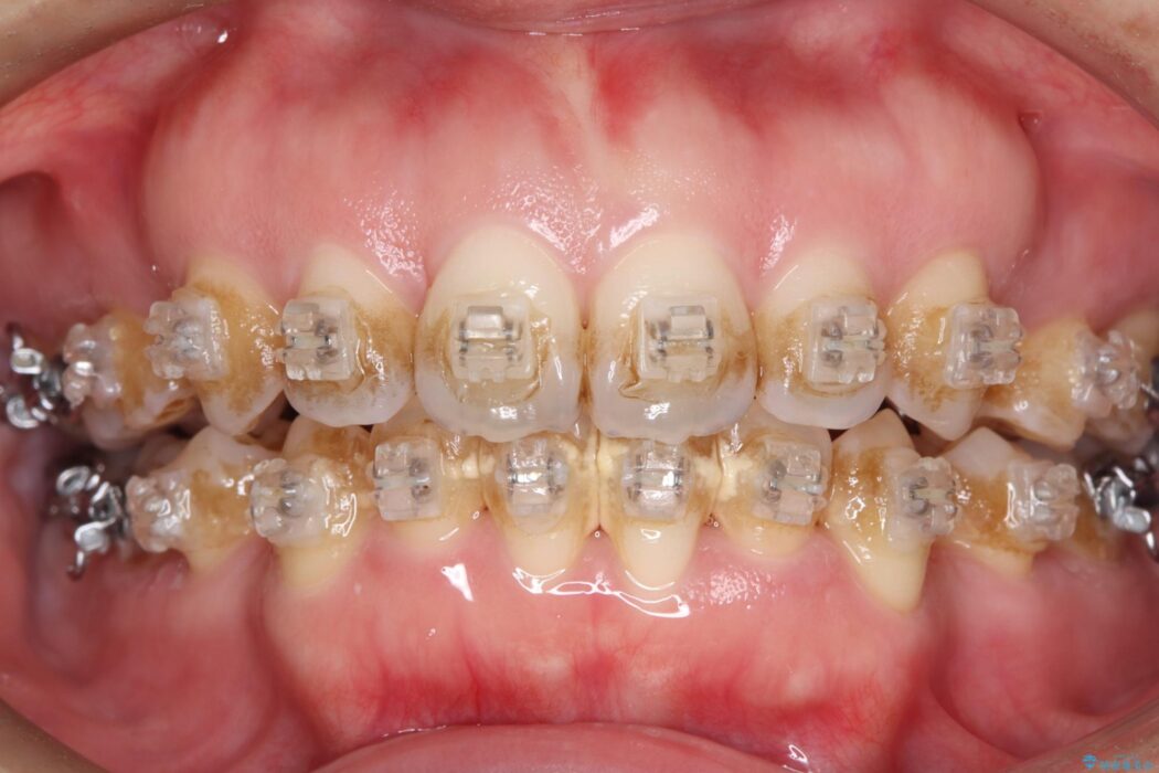
ワイヤー矯正中の患者様で、矯正装置周りの着色が気になるとのことです。
治療計画
矯正装置周りの着色を落とすため、エアフロークリーニングを行いました。
治療後について
着色も落ち、歯面が滑らかになり清潔感がアップしました。
患者様には「着色が取れて、笑うのが楽しみになりました!」と言っていただけました。
エアフロークリーニングは、定期的に行うことで、より健康的な口腔内を保つことができます。
PMTCの注意事項(リスク・副作用など)
- 歯を白くする目的の施術ではありません
- 保険適用外となります


