矯正治療中のクリーニング
治療概要
- 患者様:30代女性
- 治療期間:1日
- 治療回数:1回
- 概算治療費:エアフロー 8800円と保険治療費
※費用は治療当時の料金となります - 担当医:歯科衛生士
治療動機
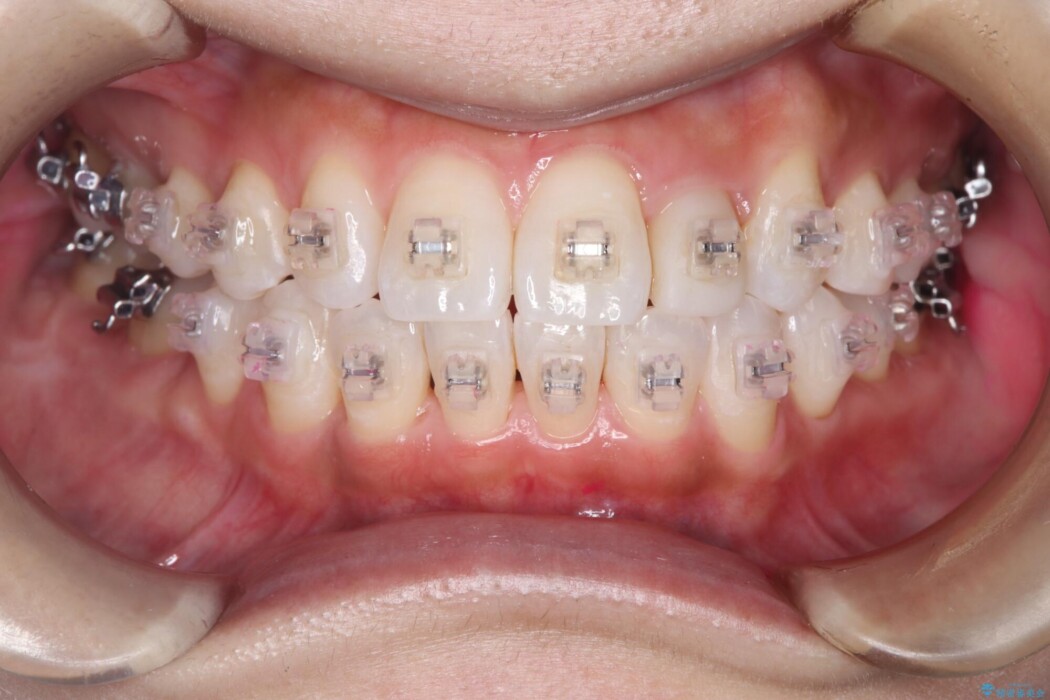
ワイヤー矯正のため、当院に通院中の患者様です。
治療計画
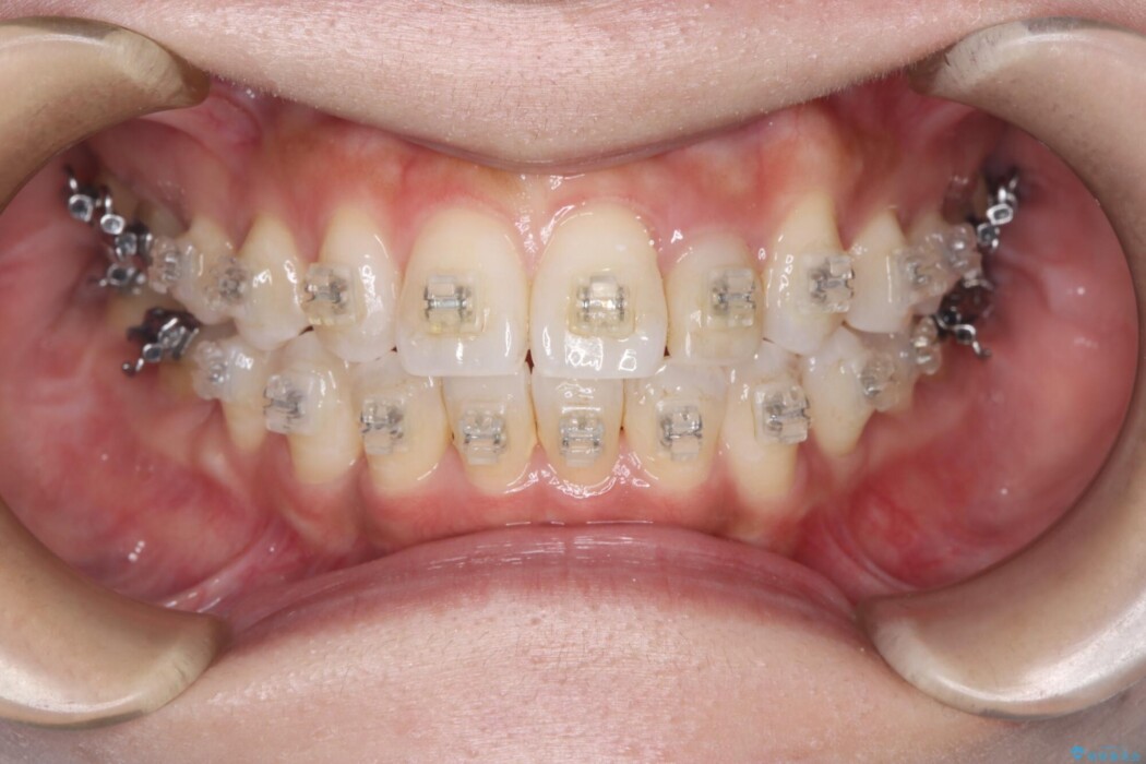
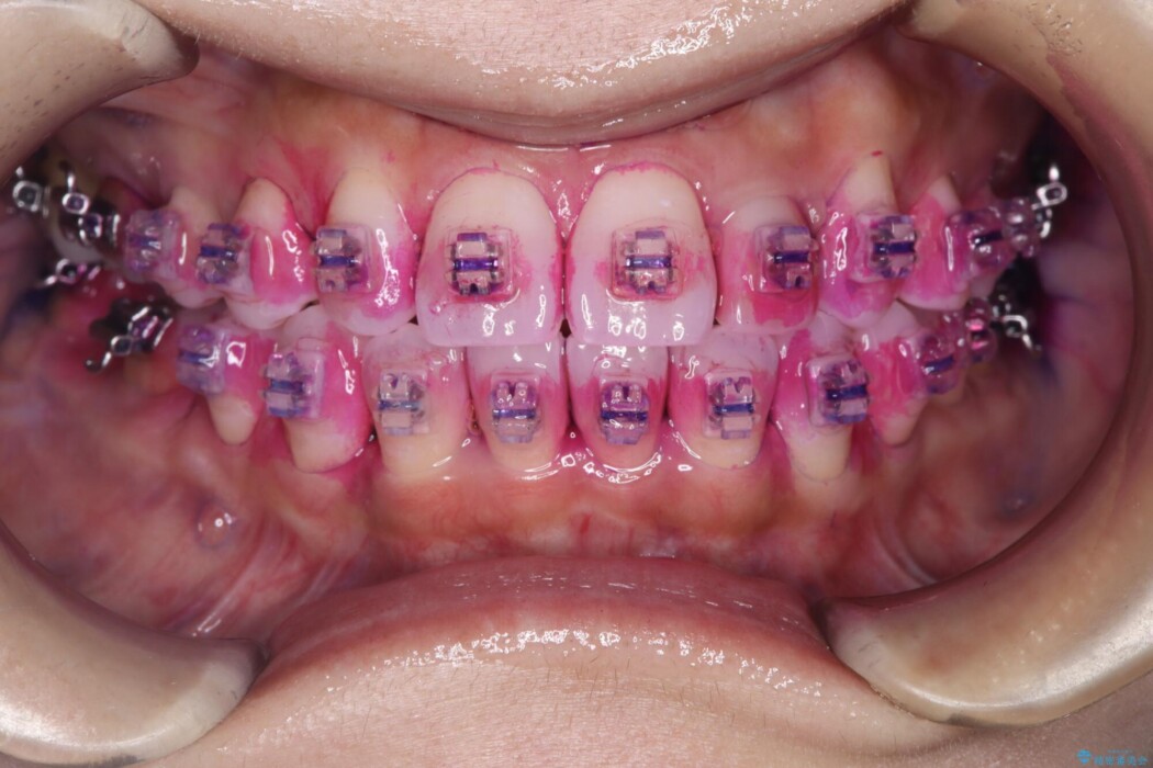
染め出しをしました。
着色は少ない口腔内でしたが、エアフローを行いました。
治療後について
エアフローは、着色やバイオフィルム(微生物の集まり)や・歯垢を除去するので歯本来の色に近づけるだけでなく、むし歯予防にもなります。
とてもお勧めしているクリーニングです。
PMTCの注意事項(リスク・副作用など)
- 歯を白くする目的の施術ではありません
- 保険適用外となります



