無料相談予約

PMTCの症例

エアーフロークリーニング

治療概要

  • 患者様:40代男性
  • 治療期間:1日
  • 治療回数:1回
  • 概算治療費:13200円
    ※費用は治療当時の料金となります
  • 担当医:歯科衛生士

治療動機

前歯の着色が目立つとご来院されました。

治療後について

定期的なメンテナンスについても説明しました。
患者様も、他に気になっていた古い詰め物も再治療できたらと、とてもご満足していただけました。

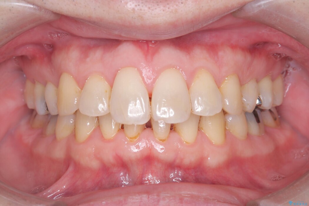
治療前
  • エアーフロークリーニング 治療前画像
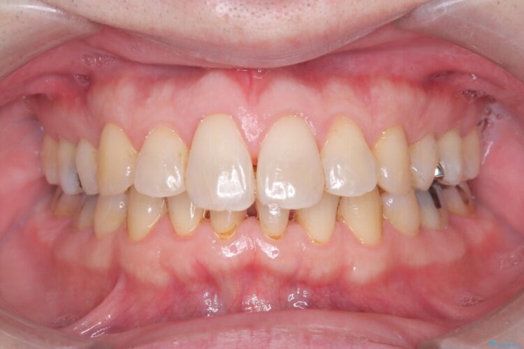
治療途中
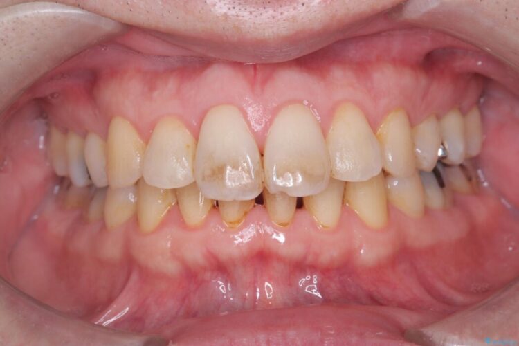
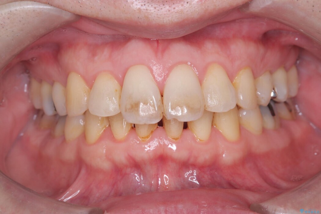
治療後
  • エアーフロークリーニング 治療後画像

PMTCの注意事項(リスク・副作用など)

  • 歯を白くする目的の施術ではありません
  • 保険適用外となります

関連する他の症例

パウダー噴射でしつこい色素沈着やプラークを除去 治療前
パウダー噴射でしつこい色素沈着やプラークを除去
矯正治療中のエアフロークリーニング 治療前
矯正治療中のエアフロークリーニング
エアフロークリーニングですっきり清潔 治療前
エアフロークリーニングですっきり清潔