奥歯の痛みを解消!クラウンで長期的に歯を守る
治療概要
- 患者様:30代女性
- 治療期間:2ヶ月
- 治療回数:2~5回
- 概算治療費:30万円
※費用は治療当時の料金となります - 担当医:河口智英
治療動機
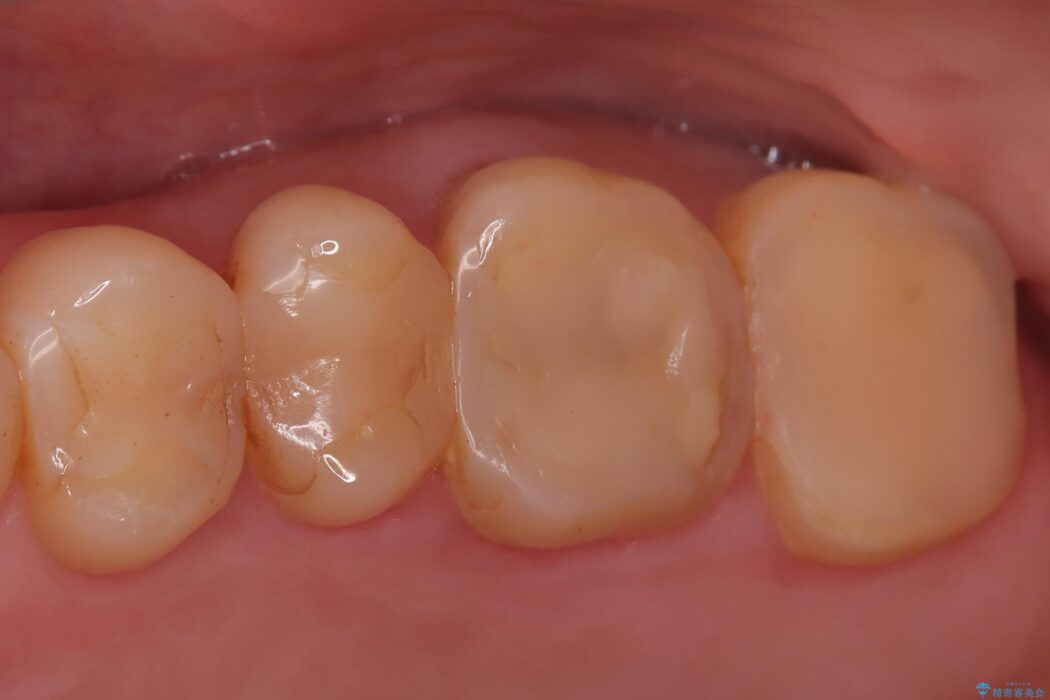
右上奥歯が痛むとご来院されました。
治療計画
精密検査の結果、虫歯が深く進行し、歯の神経(歯髄)にまで炎症が及んでいると診断。
このままでは痛みが治まらず、歯を失うリスクもあるため、まず痛みの原因である感染した神経を取り除く根管治療を提案しました。
根管治療によって歯の土台を整えた後、歯の破折を防ぎ長期的に機能させるため、クラウンを装着して修復する治療計画を立案しました。
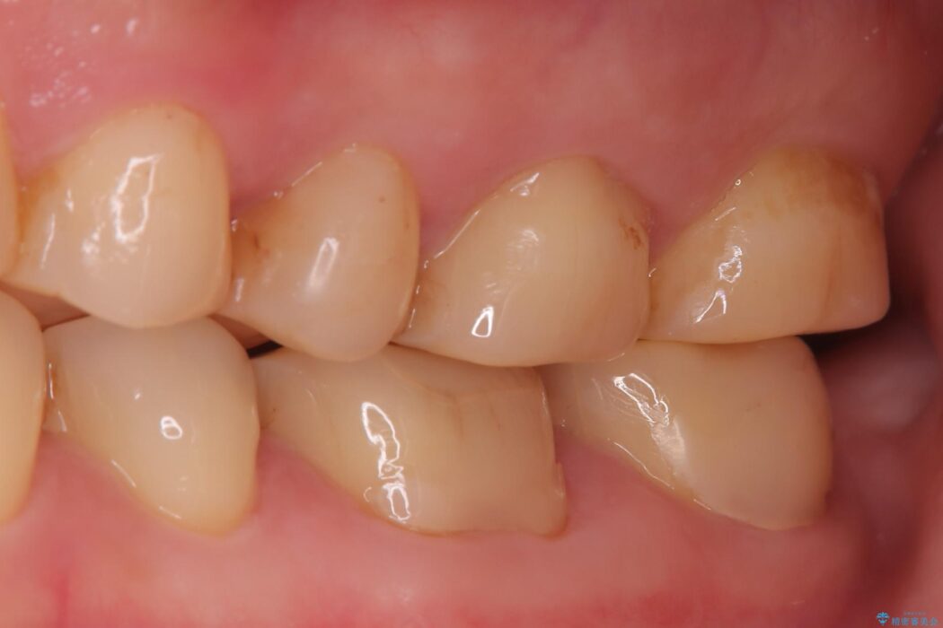
治療後について
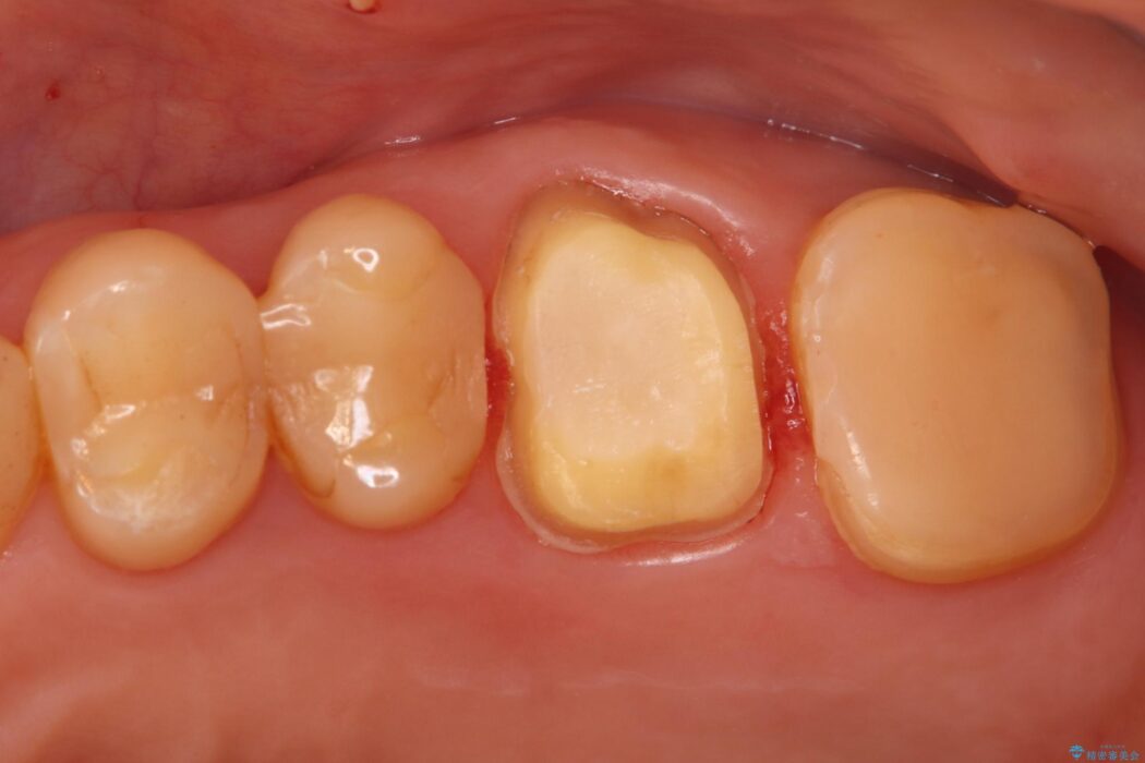
治療はまず、感染源を徹底的に除去する根管治療から開始しました。治療の精度を高めるため、ラバーダムや顕微鏡などを使用し、根管内を丁寧に清掃・消毒。これにより、痛みの原因を根本から取り除きました。
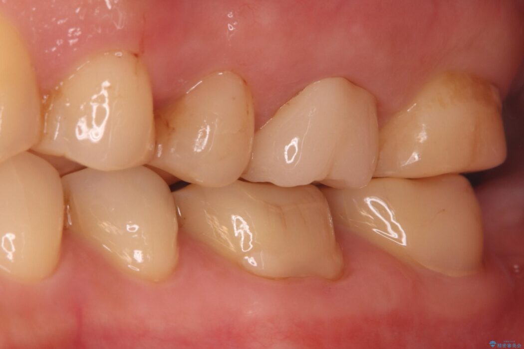
根管治療が完了し、歯の内部が清潔で安定した状態になった後、歯を保護し、強い咬合力に耐えられるようクラウンを装着しました。クラウンは、患者様の希望や咬み合わせの状態に応じて、機能性・審美性に優れた素材を選択し、精密に作製しました。
これにより、長年の痛みが解消されるとともに、修復した歯の強度と機能が回復。安心して食事を楽しめる奥歯を取り戻していただけました。
根管治療の注意事項(リスク・副作用など)
- 根管治療により類似の全ての症例の問題が解決するわけではなく、症例はあくまでも一例です
- 根管治療により痛みや腫れがひかない事や、術後に痛みや腫れが生じる事、治療によるファイル破折やパーフォレーションなどの偶発症、術後の歯根破折を生じる可能性もあります
- 自費診療(保険適用外)となります





