強い痛みと腫れを伴う「曲がった根っこ」を精密根管治療
治療概要
- 患者様:40代女性
- 治療期間:2ヶ月
- 治療回数:2~5回
- 概算治療費:30万円
※費用は治療当時の料金となります - 担当医:河口智英
治療動機
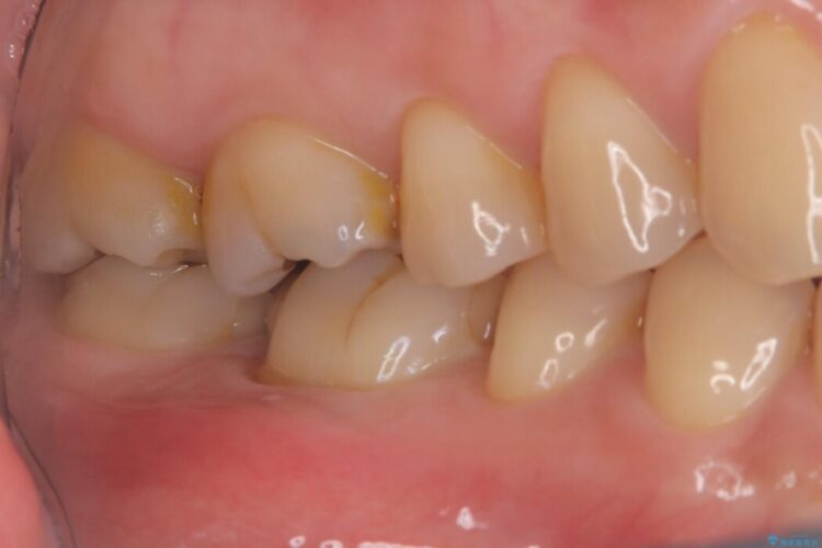
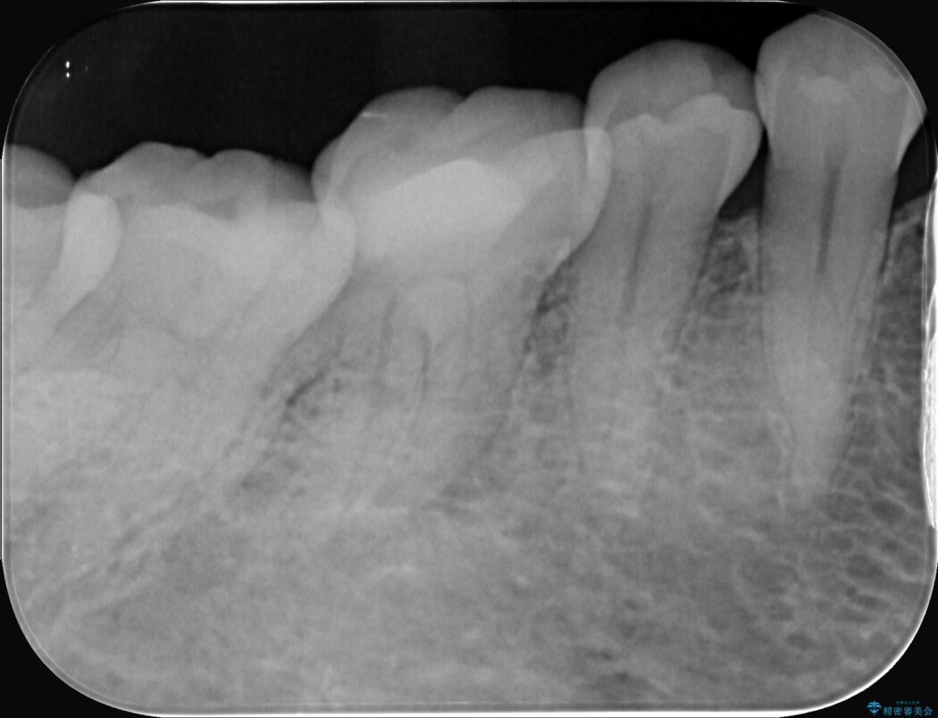
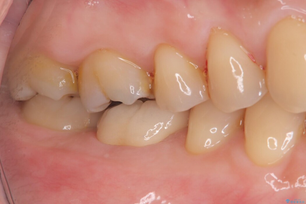
右下奥歯(6番)の激しい痛みと、歯ぐきの腫れを主訴にご来院されました。
治療計画
精密検査の結果、根の先に大きな病変が認められますが、根管内が狭窄し湾曲しているため、非常に難易度の高いケースです。
通常の治療器具では奥まで届かず、そのままでは再発や抜歯になるリスクが高いため、マイクロスコープを使用して根の奥まで精密に清掃・殺菌し、歯を残すための治療計画を立てました。
治療後について
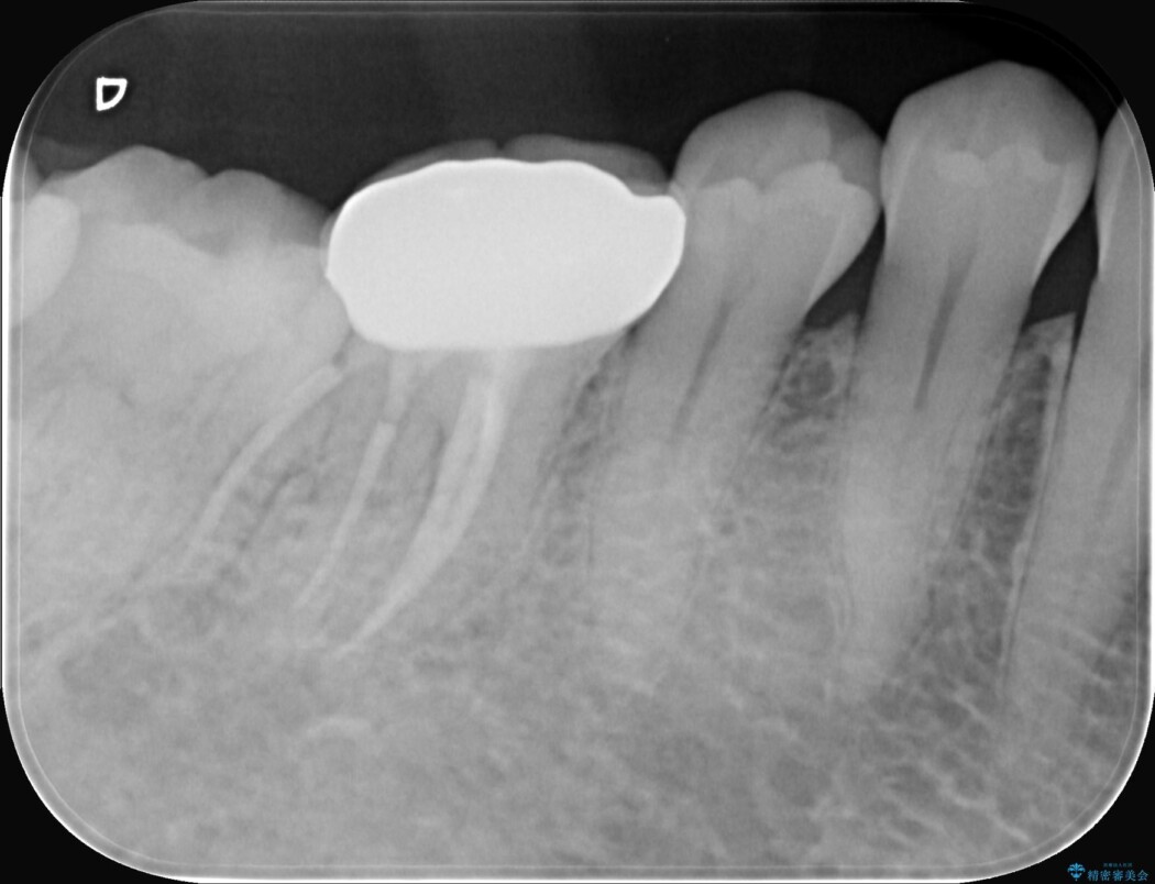
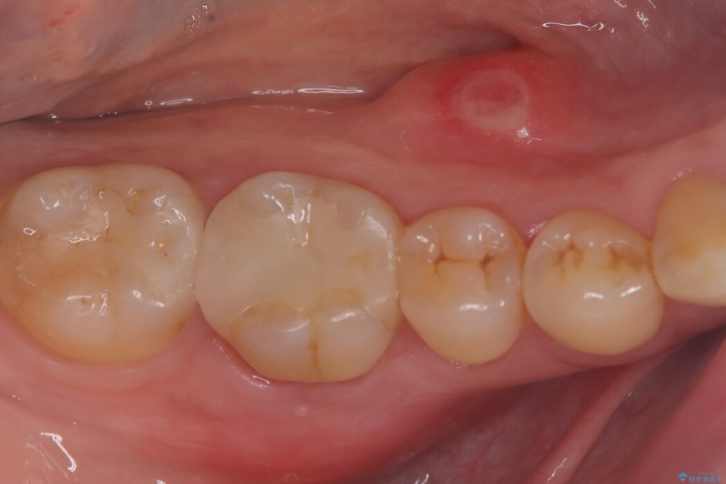
治療では、マイクロスコープで根の中を大きく拡大し、非常に細くなっていた神経の通り道を慎重に見つけ出しました。
次に、根のカーブに沿ってしなやかに曲がるニッケルチタンファイルを使い、根の先まで徹底的に洗浄・殺菌を行いました。汚れを完全に取り除いた後、隙間なくお薬を詰めて密閉しています。
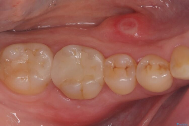
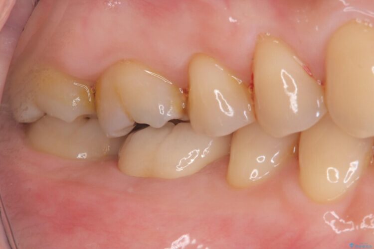
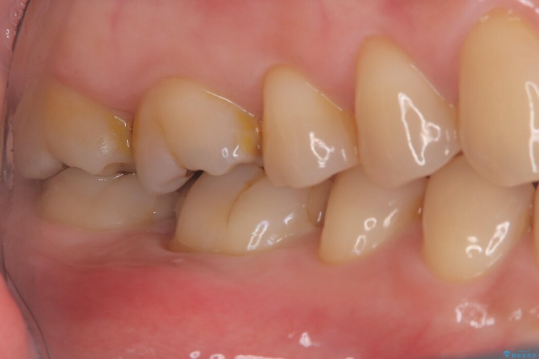
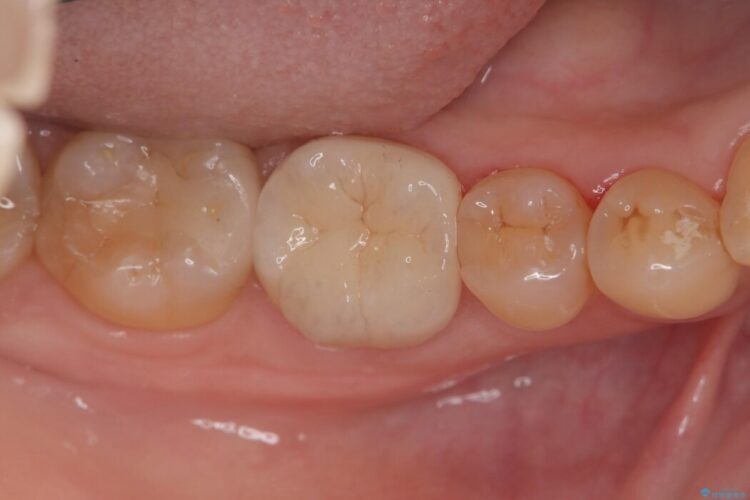
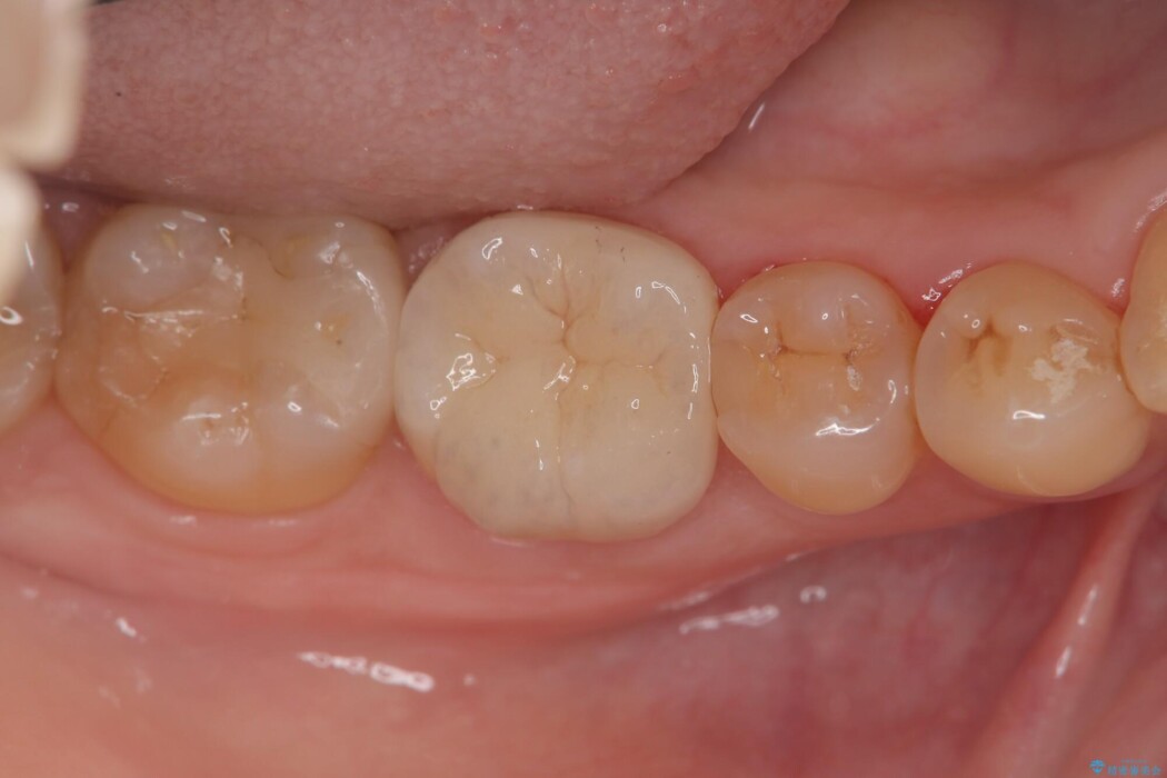
術後の経過は非常に良く、あんなに大きかった膿の袋は消え、健康な骨が再生しているのが確認できました。痛みや腫れも消えて抜歯を免れ、現在は被せ物を入れてしっかりお食事を楽しんでいただけるようになっています。
根管治療の注意事項(リスク・副作用など)
- 根管治療により類似の全ての症例の問題が解決するわけではなく、症例はあくまでも一例です
- 根管治療により痛みや腫れがひかない事や、術後に痛みや腫れが生じる事、治療によるファイル破折やパーフォレーションなどの偶発症、術後の歯根破折を生じる可能性もあります
- 自費診療(保険適用外)となります












