冷たいもので奥歯が痛む。精密根管治療とオールセラミッククラウン
治療概要
- 患者様:30代男性
- 治療期間:2ヶ月
- 治療回数:2~5回
- 概算治療費:35.5万円【精密根管治療(イニシャルケース,大臼歯):12.2万円、ファイバーコア:2.2万円、仮歯:1.1万円、オールセラミッククラウン(エクセレント):20万円】
※費用は治療当時の料金となります - 担当医:河口智英
治療動機
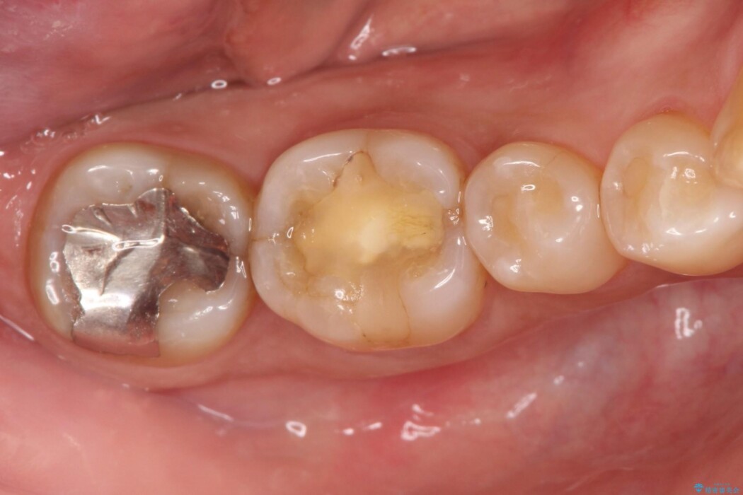
1週間前から冷たいものを口に入れると強い痛みを感じるためにご来院されました。
治療計画
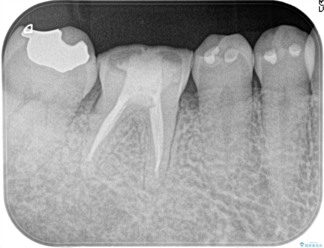
歯の内部にある神経(歯髄)の炎症を調べる検査を行い、痛みの原因となる歯を特定しました。
その結果、歯髄の炎症が進行し、痛みが生じる状態(症候性不可逆性歯髄炎)であると診断したため、精密根管治療の提案をしました。
治療後について
歯髄炎の治療は、歯髄を除去する根管治療と、歯の形や機能を回復させる被せ物(クラウン)の治療が必要です。
根管治療後の最終補綴物(クラウン)の精度は予後に大きく影響します。
セラミック治療の注意事項(リスク・副作用など)
- 天然歯を削ります
- 硬い素材は天然歯を傷つけてしまう場合があります
- かみ合わせや歯ぎしりが強すぎる方はセラミックが割れてしまう可能性があります
- 自費診療(保険適用外治療)となります
根管治療の注意事項(リスク・副作用など)
- 根管治療により類似の全ての症例の問題が解決するわけではなく、症例はあくまでも一例です
- 根管治療により痛みや腫れがひかない事や、術後に痛みや腫れが生じる事、治療によるファイル破折やパーフォレーションなどの偶発症、術後の歯根破折を生じる可能性もあります
- 自費診療(保険適用外)となります















