詰め物内部の虫歯治療、隠れた根管の発見
治療概要
- 患者様:30代女性
- 治療期間:2ヶ月
- 治療回数:2~5回
- 概算治療費:40万円
※費用は治療当時の料金となります - 担当医:河口智英
治療動機
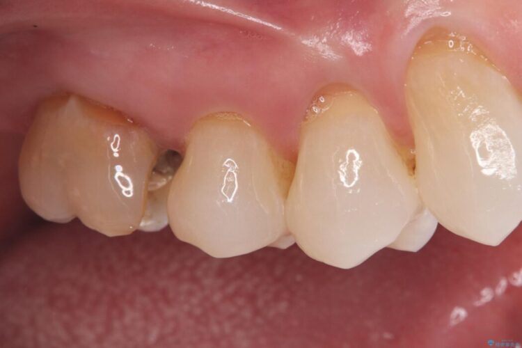
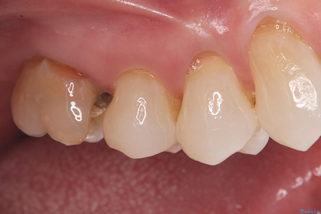
奥歯の詰め物が取れたとご来院された患者様です。
治療計画
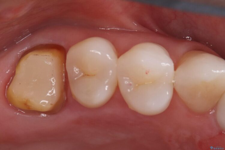
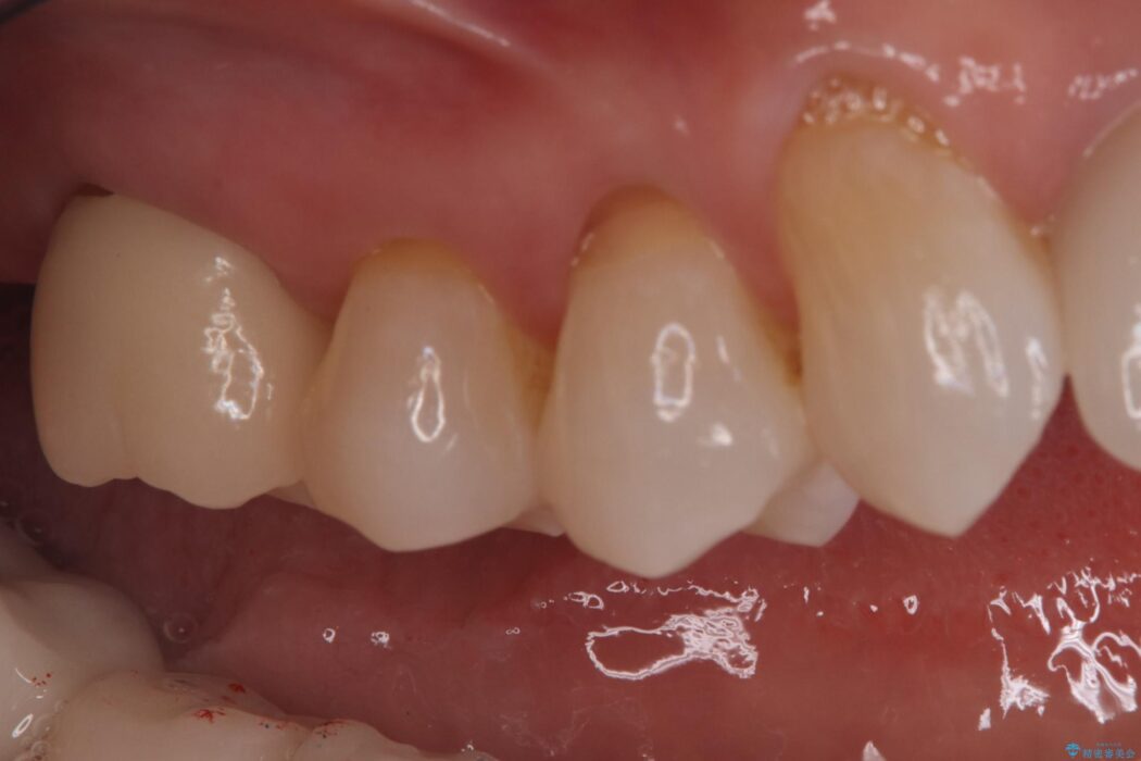
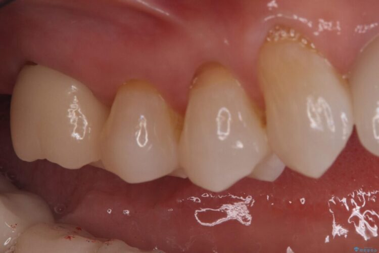
レントゲンおよび視診の結果、詰め物が外れた内部で虫歯が再発しており、根の先にも炎症が見られたため、再根管治療(根の再治療)が必要と診断しました。 特に上顎の大きな奥歯(第一大臼歯)は、通常の根管以外に「MB2」と呼ばれる隠れた根管が存在することが多く、これが未処置のままだと再発の原因となります。そこで、歯科用顕微鏡(マイクロスコープ)を用いて徹底的に内部を清掃し、その後、強度と審美性に優れたオールセラミッククラウンで修復する計画を立案しました。
治療後について
マイクロスコープを使用し、根管内を強拡大して観察したところ、従来の治療では見逃されていた根管「MB2」を発見しました。この未処置だった根管内の汚れを徹底的に除去・消毒することで、痛みの再発リスクを減らしました。
セラミック治療の注意事項(リスク・副作用など)
- 天然歯を削ります
- 硬い素材は天然歯を傷つけてしまう場合があります
- かみ合わせや歯ぎしりが強すぎる方はセラミックが割れてしまう可能性があります
- 自費診療(保険適用外治療)となります
根管治療の注意事項(リスク・副作用など)
- 根管治療により類似の全ての症例の問題が解決するわけではなく、症例はあくまでも一例です
- 根管治療により痛みや腫れがひかない事や、術後に痛みや腫れが生じる事、治療によるファイル破折やパーフォレーションなどの偶発症、術後の歯根破折を生じる可能性もあります
- 自費診療(保険適用外)となります








