【歯牙移植】抜歯と言われた奥歯に親知らずを移植
治療概要
- 患者様:20代女性
- 治療期間:2ヶ月
- 治療回数:2~5回
- 概算治療費:11万円
※費用は治療当時の料金となります - 担当医:町田睦月
治療動機
左下6番の周辺に痛みを感じ、他院で診てもらったが抜歯と言われてしまった。ネットで見た「歯牙移植」ができる医院を探している。
治療計画
左下6番の周りに大きく透過像(影)を認め、再根管治療後の予後が良くない可能性が高く、当院でも抜歯が適応となる状態だと判断しました。
欠損部に対しインプラント治療や歯牙移植(左下の親知らずの移植)、ブリッジを提案し、歯牙移植を行うこととなりました。
治療後について
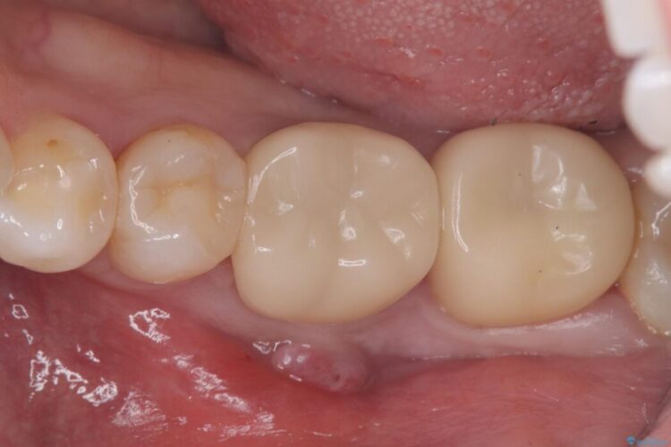
保存が難しい左下6番を抜歯し、左下8番(親知らず)を抜歯窩に移植しました。歯牙移植後の動揺防止のため暫間固定を行っています。
また移植後2週間経過時点で根管処置が必要となります。
骨との定着を確認し、今後矯正治療を行う予定のためレジン冠をセットしています。
根管治療の注意事項(リスク・副作用など)
- 根管治療により類似の全ての症例の問題が解決するわけではなく、症例はあくまでも一例です
- 根管治療により痛みや腫れがひかない事や、術後に痛みや腫れが生じる事、治療によるファイル破折やパーフォレーションなどの偶発症、術後の歯根破折を生じる可能性もあります
- 自費診療(保険適用外)となります
自家歯牙移植の注意事項(リスク・副作用など)
- 外科手術のため、術後に痛みや腫れ、違和感を伴います
- 適応範囲に制限があります(健康な親知らず・移植歯が必要など)
- 移植歯が生着しない可能性があります
- 予後が不安定で歯によっては長く持たない可能性があります





