重度の歯のがたつきをインビザラインで改善
治療概要
- 患者様:20代女性
- 治療期間:3年
- 治療回数:30回以上
- 矯正装置:インビザライン
- 概算治療費:100万円
※費用は治療当時の料金となります - 担当医:河口智英
治療動機
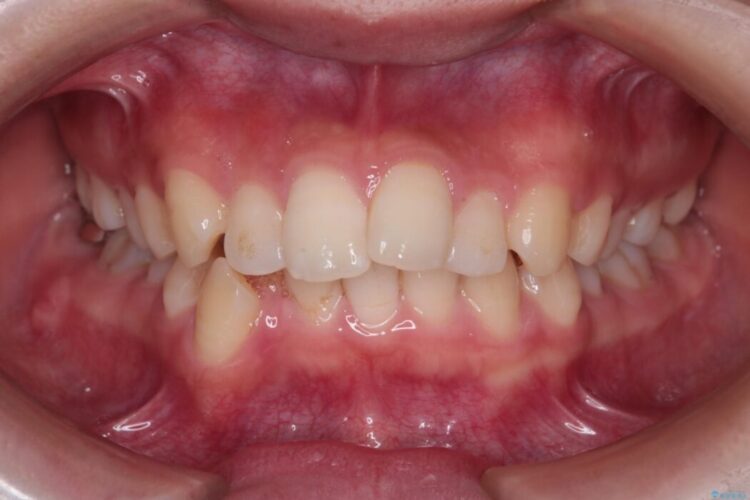
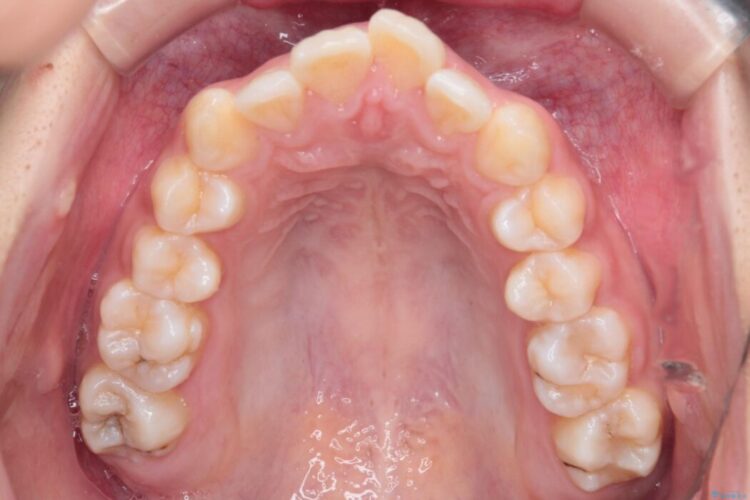
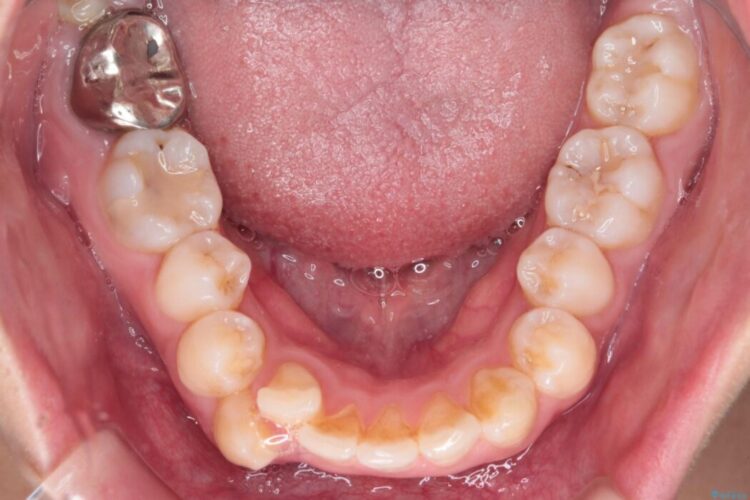
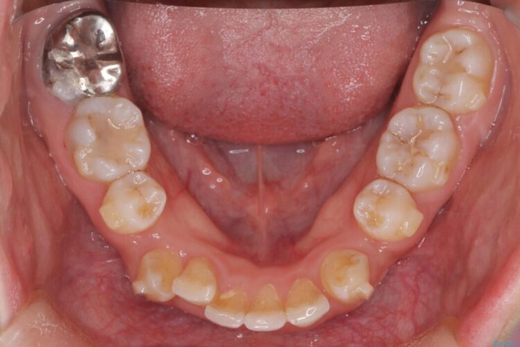
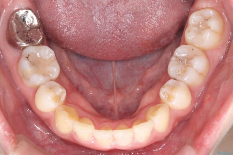
前歯から奥歯にかけて重度のがたつきを主訴にご来院された患者様です。
治療計画
スペースが大きく不足し、口元を引っ込める必要があったため、上下左右4本抜歯による矯正治療を計画。目立たないインビザライン装置で、審美的なゴールを目指します。
治療後について
長年の悩みだった重度の乱れが解消され、口元の突出感もすっきり改善。見た目も機能も安定した、理想的な歯並びを獲得していただけました。
マウスピース矯正の注意事項(リスク・副作用など)
- 口腔内・歯並びの状態によっては対応できない場合があります
- マウスピース型矯正装置の長時間装着(1日20時間以上)が必須です
- 治療計画通りに進めるためには、患者様の意志が重要になります
- 矯正治療後の保定が不十分だと後戻り(元の位置に戻ろうとする動き)をします
- 薬機法対象外の矯正歯科装置のため医薬品副作用被害救済制度の対象外となる場合があります
- 自費診療(保険適用外)となります









