歯の痛みがあるとき、すぐに歯医者に行くべきか?
歯の痛みを感じたとき、「痛みを我慢して様子を見ようか、それともすぐに歯医者に行くべきか?」という悩みを持ったことがあると思います。これは多くの方に共通するものです。
歯の痛みは、さまざまな原因によって引き起こされるため、その痛みのタイプや強さに応じた適切な対応が求められます。今回は、痛みが生じた際にどのように行動すべきかを解説します。
歯の痛みの原因
歯の痛みは主に以下の原因で発生します。
虫歯(う蝕)
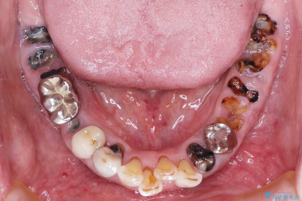
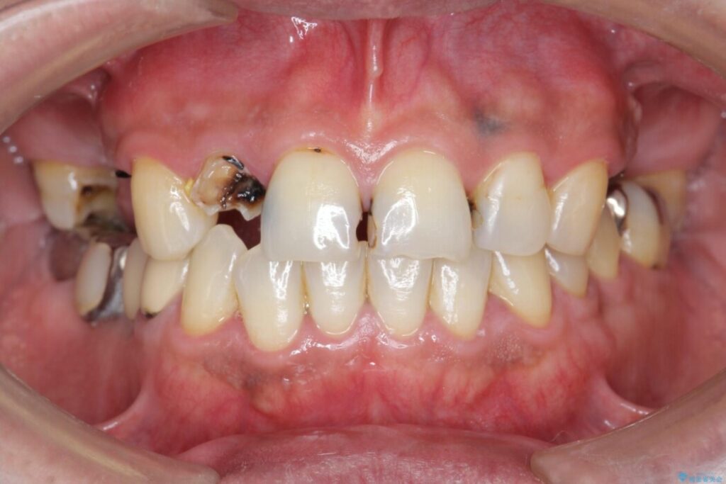
虫歯が進行すると、歯のエナメル質が溶け、内部の象牙質にまで達して神経が刺激され、激しい痛みが生じます。これを放置すると、歯髄(歯の神経)に炎症が起こり、「歯髄炎」に進行することがあります。最終的には歯を抜かなければならない場合もあります。
歯周病(歯肉炎、歯周炎)
歯周病は歯茎の炎症が原因で痛みを引き起こすことがあります。特に歯周炎が進行すると、歯茎が退縮し、歯を支える骨が溶けることによって歯がぐらつき、痛みを感じることがあります。
歯根膜炎(歯根尖周囲炎)
歯の根元に感染が広がり、歯根膜に炎症が生じることで痛みが生じます。歯根に膿がたまると、さらに痛みが強くなります。
知覚過敏
冷たいものや熱いものが歯に触れると痛みを感じることがあります。これは、歯のエナメル質が薄くなり、象牙質が露出している場合に起こります。
痛みが強い場合はすぐに受診を

特に以下のような症状がある場合は、速やかに歯科を受診することをおすすめします。
- 激しい痛み
夜間に痛みが強くなることが多い歯髄炎の場合、治療を遅らせると歯髄壊死を引き起こすことがあります。 - 膿が出る
膿が歯茎から出る場合は、歯根の先に膿がたまっている可能性があり、治療が急務です。 - 顔が腫れる
顔が腫れる症状は、歯周囲の感染症が広がっている証拠です。これが進行すると、感染が血流に乗って全身に広がる恐れもあります(敗血症)。
軽度の痛みの場合は様子を見ることも可能
軽い痛みやしばらくすると治まる場合は、以下のような自己管理で様子を見ることも可能です。ただし、次のような条件が揃った場合に限ります。
- 一時的な痛み
食事中や温冷刺激に対する一時的な痛みであれば、虫歯の初期段階や知覚過敏が原因の可能性があります。市販の歯磨き粉やフッ素ジェルを使用し、痛みが続かない場合は時間をおいて再度確認することができます。 - 腫れがない
痛みだけで腫れや膿がない場合は、急を要するものではない可能性があります。
早期の治療が重要
歯の痛みが軽度の場合でも、放置することで病状が進行することがよくあります。特に虫歯や歯周病などの疾患は、早期に治療より治療期間を短くすることができます。
虫歯を放置するとどうなるか?


虫歯(う蝕)は、エナメル質が侵されてから徐牙々に進行します。初期段階では痛みを感じることが少ないため、見逃されがちですが、放置すると次第に象牙質にまで達し、やがて歯髄(神経)に感染が広がります。歯髄炎が発症すると、強い痛みや膿が発生し、最終的には歯髄壊死を引き起こす可能性もあります。歯髄壊死を起こすと、歯を抜かないといけなくなる場合もあるため、治療が遅れるほど歯を失うリスクが高まります。
さらに、虫歯が深刻化することで歯根に感染が広がり、歯根膜炎や歯周炎といった、歯を支える周囲の組織に炎症が及ぶこともあります。これにより、歯がぐらつき、最終的に歯を失うことがあるのです。
早期の治療は、虫歯を適切に治療することで、歯の保存が可能になります。また、進行した虫歯を治療するには、より高額で複雑な治療が必要になるため、早期に治療することが経済的にも非常に効果的です。
虫歯を放置せず、早期に治療することが、歯の健康を守るためには不可欠です。 痛みがなくても定期的な検診を受けることが、虫歯を予防し、深刻な問題を避けるために重要です。
まとめ
歯の痛みがある場合、痛みの強さや伴う症状によって、受診のタイミングが決まります。激しい痛みや膿、顔の腫れがある場合は速やかに歯科を受診し、軽度な痛みであれば様子を見ることも可能ですが、放置は避けた方が良いでしょう。いずれにせよ、痛みを感じた際は自己判断を避け、早期の受診を心がけることが、歯の健康を守るためには最も重要です。
銀座しらゆり歯科では、経験豊富な歯科医師が在籍しているので、安心して治療の相談をしていただけます。
一回の通院で診療時間を長めに取り複数の歯を同時に治療するため、歯医者が苦手な方や忙しくて時間が無い方でも、保険診療の歯科医院と比べると圧倒的にスピーディに治療を終えることが可能な通院回数の少ない短期集中治療を行っております。
また当院は総合歯科治療を掲げており、他の治療が必要になった場合でもスムーズな治療計画を実施いたします。
虫歯治療についてご不明な点や不安なことがございましたら、お気軽にご相談ください。

