奥歯の痛み、顕微鏡を使用した精密根管治療で解消
治療概要
- 患者様:40代女性
- 治療期間:1ヶ月
- 治療回数:2~5回
- 概算治療費:30万円
※費用は治療当時の料金となります - 担当医:河口智英
治療動機
2日ほど歯の痛みが続いているとご来院された患者様です。
治療計画
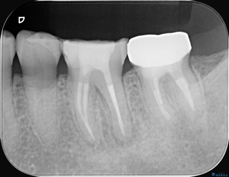
診察の結果、不可逆性歯髄炎(歯の神経の重度の炎症)と診断。
レントゲンを確認すると、歯髄腔が狭くなり根管が石灰化している難症例でした。
患者様の大切な歯を残すため、歯科用顕微鏡を用いた精密根管治療を行うことで、狭く、見えにくい根管を正確に探し出し、治療を完了させる計画を立案しました。
治療後について
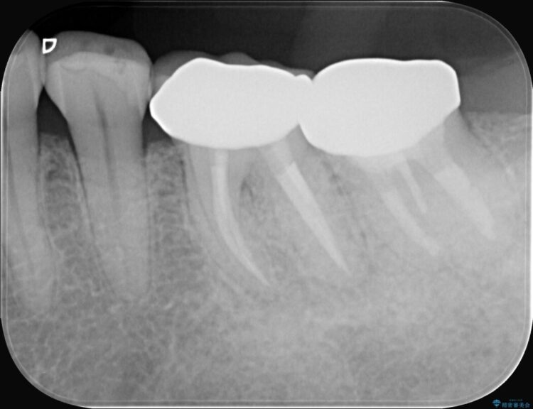
今回の治療は、特に難易度の高い石灰化した根管が対象でした。
まず、治療中の細菌感染を防ぐためにラバーダムを使用。次に、歯科用顕微鏡で治療部位を何十倍にも拡大しながら、狭窄した根管の入り口を探し、慎重に拡大・清掃を行いました。顕微鏡を用いることで、肉眼では不可能だった根管内部の細かい構造を確認しながら、感染源を徹底的に除去することができました。これにより、難症例の奥歯でも再発リスクを抑えた適切な処置を行うことができ、治療後に痛みは解消。大切な歯を長期間にわたり保存することができました。
セラミック治療の注意事項(リスク・副作用など)
- 天然歯を削ります
- 硬い素材は天然歯を傷つけてしまう場合があります
- かみ合わせや歯ぎしりが強すぎる方はセラミックが割れてしまう可能性があります
- 自費診療(保険適用外治療)となります
根管治療の注意事項(リスク・副作用など)
- 根管治療により類似の全ての症例の問題が解決するわけではなく、症例はあくまでも一例です
- 根管治療により痛みや腫れがひかない事や、術後に痛みや腫れが生じる事、治療によるファイル破折やパーフォレーションなどの偶発症、術後の歯根破折を生じる可能性もあります
- 自費診療(保険適用外)となります








