ワイヤー矯正で口元を下げたい、下の歯の凹凸を無くしたい
治療概要
- 患者様:20代女性
- 治療期間:3年
- 治療回数:30回以上
- 矯正装置:審美装置
- 概算治療費:110万円
※費用は治療当時の料金となります - 担当医:町田睦月
治療動機
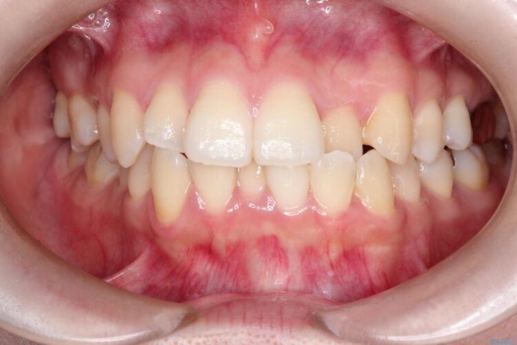
口元を下げて前突感を無くしたい、下の歯の凹凸も無くしたいとご来院された患者様です。
治療計画
アゴの骨格的なズレがあったため、歯の真ん中を完全に合わせることは不可能と説明。上下4本抜歯を行い、ワイヤー矯正で噛み合わせの大きな改善を目指しました。
治療後について
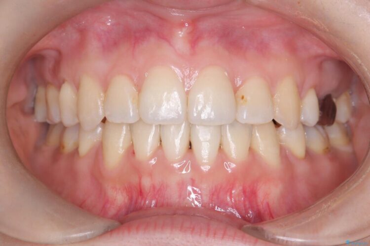
口元の突出感が改善され、大変ご満足いただけました。
ワイヤー矯正の注意事項(リスク・副作用など)
- 治療中は違和感や痛みが起こることがあります
- 症状により、抜歯が必要な場合があります
- 治療中は歯磨きがしにくくなるため、虫歯や歯周病になりやすくなります
- 矯正治療後の保定が不十分だと後戻り(元の位置に戻ろうとする動き)をします
- 自費診療(保険適用外)となります








