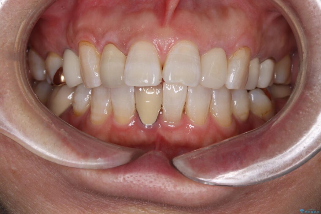
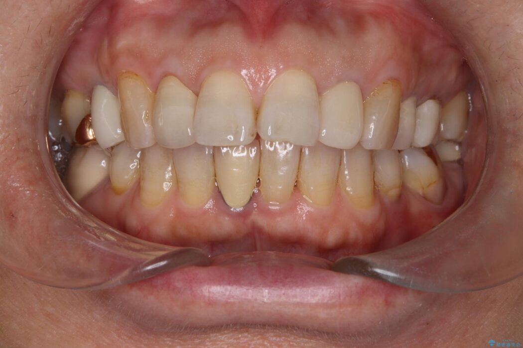
セラミックやり替え前のオフィスホワイトニング
治療概要
- 患者様:60代女性
- 治療期間:1日
- 治療回数:1回
- 概算治療費:20,790円
※費用は治療当時の料金となります - 担当医:歯科衛生士
治療動機
被せ物のやり替え前に、現在の歯より白い歯にしたいとご希望の患者様です。
治療計画
オフィスホワイトニングの施術を行いました。
治療後について
歯の色味が明るくなり喜んでいただけました。
歯が白くなることで顔色も明るくなったようだとおっしゃっていました。
ホワイトニングの注意事項(リスク・副作用など)
- 知覚過敏が出ることがあります
- ホワイトバンドや白い斑点が出ることがあります
- クラウンやインレー等の補綴物には効果がありません
- ホワイトニングによる効果や持続期間には個人差があります
- 歯牙の状態によっては適応できないことがあります
- 保険適用外となります


